Facial Fracture Induced Periorbital Emphysema
History of present illness:
The patient is a 56-year-old male who presents with facial swelling after falling 3-4 feet from a ladder, landing on his face. He had with no immediate swelling, but reports significant facial and eyelid swelling immediately after blowing his nose. He denies any significant swelling to his eyelids. Denies changes in vision or significant eye pain.
Significant findings:
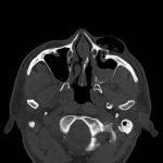
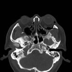
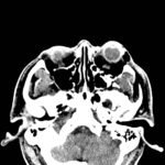
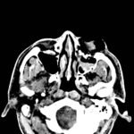
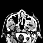
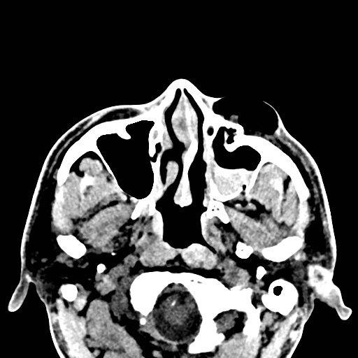
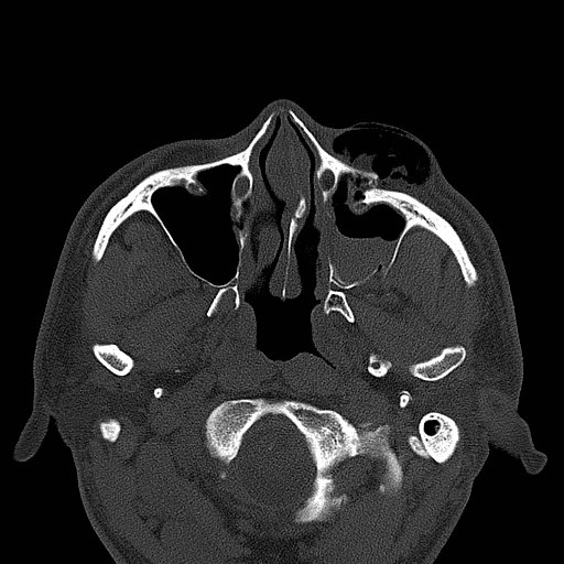
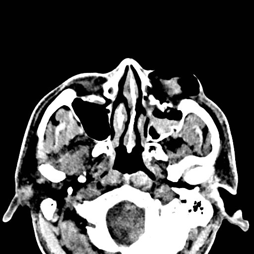
Physical exam showed marked left palpebral subcutaneous crepitus, as well as bulbar and palpebral conjunctival bulging. Visual acuity was normal with intact extraocular movements, and normal pupillary exam. Computed tomography (CT) imaging of the face was obtained and revealed multiple displaced fractures involving the left orbital floor and zygomatic arch associated with moderate periorbital and postseptal extraconal gas, resulting in orbital proptosis.
Discussion:
Zygomatic arch and orbital floor are amongst the most common facial fractures.1 Facial traumatic subcutaneous emphysema (TSE) is a well-documented complication,2-4 as is delayed occurrence of periorbital emphysema due to coughing, sneezing, and blowing nose.5-7 TSE has been an identified sequela in about 7% of all paranasal sinus fractures,4 and about 50% of all orbital wall fractures.8 The majority of these cases resolve spontaneously within 2 weeks and are typically managed non-operatively.4
Though complications are extremely rare, tension orbital emphysema leading to vision loss can occur. This is commonly due to directly elevating the intraocular pressure or the sinus fracture causing a one-way valve that increases periorbital pressure, with subsequently optic nerve or optic artery compromise.9-13 In these cases, prompt needle decompression and high-dose oral steroid may be indicated.9-11 Because the conjunctiva forms a continuous barrier, periorbital emphysema can manifest in global and palpebral conjunctival emphysema. This may ultimately lead to exposure keratopathy and subsequent inability to close the eyelids.16,17
It is recommended that patients with sinus or periorbital fractures should refrain from coughing, blowing nose, or forceful Valsalva and be prescribed antitussive medication and stool softeners.6,18
Topics:
Facial fracture, ENT, ear nose and throat, trauma, ophthalmology.
References:
- Ellis E, El-attar A, Moos KF. An analysis of 2,067 cases of zygomatico-orbital fracture. J Oral Maxillofac Surg.1985;43(6):417-428.
- Oliver AJ, Diaz EM, Helfrick JF. Air emphysema secondary to mandibular fracture: case report. J Oral Maxillofac Surg.1993;51(10):1143-1145.
- Zachariades N, Mezitis M. Emphysema and similar situations in and around the maxillo-facial region. Rev Stomatol Chir Maxillofac.1988;89(6):375-379.
- Brasileiro BF, Cortez AL, Asprino L, et al. Traumatic subcutaneous emphysema of the face associated with paranasal sinus fractures: a prospective study. J Oral Maxillofac Surg.2005;63(8):1080-1087. doi: 10.10/j.joms.2005.04.007.
- Roccia F, Griffa A, Nasi A, Baragiotta N. Severe subcutaneous emphysema and pneumomediastinum associated with minor maxillofacial trauma. J Craniofac Surg.2003;14(6):880-883.
- Makrides H, Lawton LD. Don’t blow it! Extensive subcutaneous emphysema of the neck caused by isolated facial injuries: a case report and review of the literature.J Emerg Med. 2017;52(3): e57-e59. doi: 10.1016/j.jemermed.2015.12.025.
- Taguchi Y, Sakakibara Y, Uchida K, Kishi H. Orbital emphysema following nose blowing as a sequel of a snowboard related head injury. Br J Sports Med.2004;38(5): E28. doi: 10.1136/bjsm.2003.007112.
- Lloyd GA. Orbital emphysema. Br J Radiol. 1966;39(468):933-938.
- Benharbit M, Karim A, Lazreq M, Mohcine Z. Le traitement urgent de l’emphysème orbitaire post-traumatique: à propos d’un cas [Emergency treatment of post-traumatic orbital emphysema: a case report]. J Fr Ophtalmol.2003;26(9):957-959.
- Linberg JV. Orbital emphysema complicated by acute central retinal artery occlusion: case report and treatment. Ann Ophthalmol.1982;14(8):747-749.
- Wood BJ, Mirvis SE, Shanmuganathan K. Tension pneumocephalus and tension orbital emphysema following blunt trauma. Ann Emerg Med.1996;28(4):446-449. doi: 10.1016/S0196-0644(96)70014-8.
- Jordan DR, White GL, Anderson RL, Thiese SM. Orbital emphysema: a potentially blinding complication following orbital fractures. Ann Emerg Med.1988;17(8):853-855. doi: 10.1016/S0196-0644(88)80571-7.
- Buckley MJ, Turvey TA, Schumann SP, Grimson BS. Orbital emphysema causing vision loss after a dental extraction. J Am Dent Assoc.1990;120(4):421-422, 424. doi: 10.14219/jada.archive.1990.0122.
- Fleishman JA, Beck RW, Hoffman RO. Orbital emphysema as an ophthalmologic emergency. Ophthalmology. 1984;91(11):1389-1391.
- Dobler AA, Nathenson AL, Cameron JD, Carpel ET, Janda AM, Pederson JE. A case of orbital emphysema as an ocular emergency. Retina. 1993;13(2):166-8.
- Bowling B. Kanski’s Clinical Ophthalmology. 8th ed. London, UK: Elsevier Limited; 2015:131-166.
- Ababneh OH. Orbital, subconjunctival, and subcutaneous emphysema after an orbital floor fracture. Clin Ophthalmol.2013; 7:1077-1079. doi: 10.2147/opth.s44649.
- Mohan B, Singh KP. Bilateral subcutaneous emphysema of the orbits following nose blowing. J Laryngol Otol.2001;115(4):319-320.






















