JETem
  • Home
  • About
    • Aim and Scope
    • Our Team
    • Editorial Board
    • FAQ
  • Issues
    • Current Issue
    • Ahead of Print
    • Past Issues
  • Visual EM
    • Latest Visual EM
    • Search Visual EM
    • Thumbnail Library
  • For Authors
    • Instructions for Authors
    • Submit to JETem
    • Photo Consent
    • Policies
      • Peer Review Policy
      • Copyright Policy
      • Editorial Policy, Ethics and Responsibilities
      • Conflicts of Interest & Informed Consent
      • Open Access Policy
  • For Reviewers
    • Instructions for JETem Reviewers
    • Interested in Being a JETem Reviewer?
  • Topic
    • Abdominal/Gastroenterology
    • Administration
    • Board Review
    • Cardiology/Vascular
    • Certifying Exam Cases
      • Clinical Decision-Making
      • Prioritization
      • Communication
      • Procedure & Ultrasound
    • Clinical Informatics, Telehealth and Technology
    • Dermatology
    • EMS
    • Endocrine
    • ENT
    • Faculty Development
    • Genitourinary
    • Geriatrics
    • Hematology/Oncology
    • Infectious Disease
    • Miscellaneous (stats, etc)
    • Neurology
    • Ob/Gyn
    • Ophthalmology
    • Orthopedics
    • Pediatrics
    • Pharmacology
    • Procedures
    • Psychiatry
    • Renal/Electrolytes
    • Respiratory
    • Social Determinants of Health
    • Toxicology
    • Trauma
    • Ultrasound
    • Urology
    • Wellness
    • Wilderness
  • Modality
    • Certifying Exam Practice Cases
      • Clinical Care Cases
      • Communication & Procedural Cases
      • Old School Oral Board Cases
    • Curricula
    • Innovations
    • Lectures
    • Podcasts
    • Simulation
    • Small Group Learning
    • Team Based Learning (TBL)
    • Visual EM
  • Contact Us

Endocarditis

Sara Arastoo, BS* and Sari Lahham, MD, MBA*

*University of California, Irvine, Department of Emergency Medicine, Orange, CA

Correspondence should be addressed to Sari Lahham, MD, MBA at lahhams@uci.edu  

DOI: https://doi.org/10.21980/J8JP73Issue 3:4
Infectious DiseaseCardiology/VascularVisual EM
[mrp_rating_result]
Creative Commons images
Creative Commons images
Creative Commons images

History of present illness:

A 23-year-old male, with a history of end-stage renal disease (ESRD) secondary to nephrotic syndrome status post failed transplant, methicillin-resistant Staphylococcus aureus(MRSA), and intravenous drug abuse, presented to the emergency department with low back pain for two days. He also endorsed worsening chest pain and shortness of breath for two weeks. The patient’s pain had acutely worsened immediately prior to presentation. Vital signs were notable for tachycardia (heart rate 114) and tachypnea (respiratory rate 20). His physical exam revealed diffuse crackles bilaterally, paraspinal tenderness in the lumbar region, and skin pallor.

Significant findings:

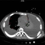
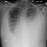
Upright frontal radiograph of the chest demonstrated large pleural effusion on the left and moderate pleural effusion on the right as shown by the visible menisci on both sides (red arrows) with diffuse bilateral nodular densities (yellow dotted lines), consistent with septic pulmonary emboli. Computed tomography (CT) of the chest demonstrated multiple scattered lung nodules bilaterally containing internal foci of air cavitation (green dotted lines).

Discussion:

Infective endocarditis (IE) is a relatively rare infection of the endocardial surface of the heart, heart valves, or an endocardial device that most commonly presents acutely with variable and often nonspecific symptoms.1,2  IE should be suspected in patients with risk factors including cardiac prosthetic materials, congenital heart defects, history of IE, male sex, age greater than 65, intravenous drug users, intravascular device, chronic hemodialysis.3-5 IE is most commonly caused by Staphylococcus aureus(31% of the time) followed by viridans group streptococci (17% of the time) in both drug abusers and non-drug abusers.2 The mitral valve and aortic valve are most commonly affected, 41% and 38% of the time respectively, in non-drug abusers while the tricuspid valve is affected 86% of the time in IV drug abusers.2,6

Though chest X-ray and CT may support the diagnosis, diagnosis is based on clinical symptoms, blood cultures from different venipuncture sites, and echocardiography, and is often guided by the modified Duke criteria, a commonly utilized diagnostic tool encompassing a range of IE manifestations that is sensitive for disease detection and has a high negative predictive value.1 If blood cultures are negative, valve histopathology and polymerase chain reaction (PCR) may be useful in diagnosis.7 Empiric therapy should be started after blood cultures are drawn aimed at the most common organisms, including methicillin resistant Staphylococcus aureus, to prevent complications until antibiotic sensitivities are determined.8

Topics:

Cardiology, endocarditis, infectious disease.

References:

  1. Cahill TJ, Prendergast BD. Infective endocarditis. 2016; 387(10021):882-93. doi: 10.1016/S0140-6736(15)00067-7
  2. Murdoch DR, Corey GR, Hoen B, et al. Clinical presentation, etiology, and outcome of infective endocarditis in the 21st century: The International Collaboration on Endocarditis-Prospective Cohort Study. Arch intern Med. 2009; 169(5):463-73. doi: 10.1001/archinternmed.2008.603
  3. Kuijpers JM, Koolbergen DR, Groenink M, et al. Incidence, risk factors, and predictors of infective endocarditis in adult congenital heart disease: focus on the use of prosthetic material. Eur Heart J. 2017; 38(26):2048-56. doi: 10.1093/eurheartj/ehw591
  4. Durante-Mangoni E, Bradley S, Selton-Suty C, et al. Current features of infective endocarditis in elderly patients: Results of the international collaboration on endocarditis prospective cohort study. Arch Intern Med. 2008; 168(19):2095-2103. doi: 10.1001/archinte.168.19.2095
  5. Wurcel AG, Anderson JE, Chui KK, et al. Increasing infectious endocarditis admissions among young people who inject drugs. Open Forum Infect Dis. 2016; 3(3):ofw157. PubMed, doi: 10.1093/ofid/ofw157
  6. Murataza Y, Dawood MD, Faisal H, et al. Contemporary outcomes of operations for tricuspid valve endocarditis. Ann Thorac Surg. 2015; 99(2):539-46. doi: 10.1016/j.athoracsur.2014.08.069
  7. Lamas CC, Fournier PE, Zappa M, et al. Diagnosis of blood culture-negative endocarditis and clinical comparison between blood culture negative and blood culture positive cases. Infection. 2016; 44(4):459-66. doi: 10.1007/s15010-015-0863-x
  8. Baddour LM, Wilson WR, Bayer AS, et al. Infective endocarditis in adults: Diagnosis, antimicrobial therapy, and management of complications. 2015; 132:1435-86. doi: 10.1161/CIR.0000000000000296
Icon

Endocarditis - Case Report

1 file(s) 480 KB
Download
Icon

Endocarditis - Images

1 file(s) 26 MB
Download
CTIssue 3:4X-Ray

Reviews:

[mrp_rating_entry_details_list layout="inline" show_rating_items="false"][mrp_rating_form]
Creative Commons images

Facial Fracture Induced Periorbital Emphysema

28 Sep, 18
Creative Commons images

Talonavicular Dislocation

28 Sep, 18

JETem is an online, open access, peer-reviewed, journal-repository for EM educators. We are PMC Indexed.

Most Viewed

  • Enhancing Emergency Medicine Resident Education: A Weekly Education Series to Augment Electrocardiogram Education
  • Development and Design of a Pediatric Case-Based Virtual Escape Room on Acute Iron Toxicity
  • Pre-Clinical Case Competition to Assess Confidence in Responding to Select Out-Of-Hospital Medical Emergencies
  • Pediatric Difficult Airway Simulation Day
  • Cards Against Pulmonology

Visit Our Collaborators

 

 

Creative Commons Licence
This work is licensed under a Creative Commons Attribution 4.0 International License.

About

Education

Learners should benefit from active learning. JETem accepts submissions of team-based learning, small group learning, simulation, podcasts, lectures, innovations, curricula, question sets, and visualEM.

Scholarship

We believe educators should advance through the scholarship of their educational work. JETem gives educators the opportunity to publish scholarly academic work so that it may be widely distributed, thereby increasing the significance of their results.

Links

  • Home
  • Aim and Scope
  • Current Issue
  • For Reviewers
  • Instructions for Authors
  • Contact Us

Newsletter

Sign up to receive updates from JETem regarding newly published issues and findings.

Copyright Creative Commons Attribution 4.0 International