Fournier Gangrene
History of present illness:
A 35-year-old male with a history of diabetes mellitus presented to the emergency department in septic shock with hypotension, tachycardia, and labs notable for leukocytosis, glucose of 357, and lactate of 3. The patient was complaining of a draining right buttock abscess for five days, with perineal and scrotum pain and swelling for the past two days.
Significant findings:
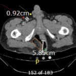
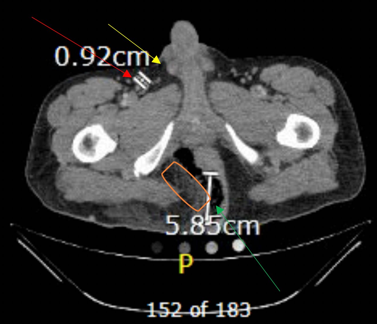
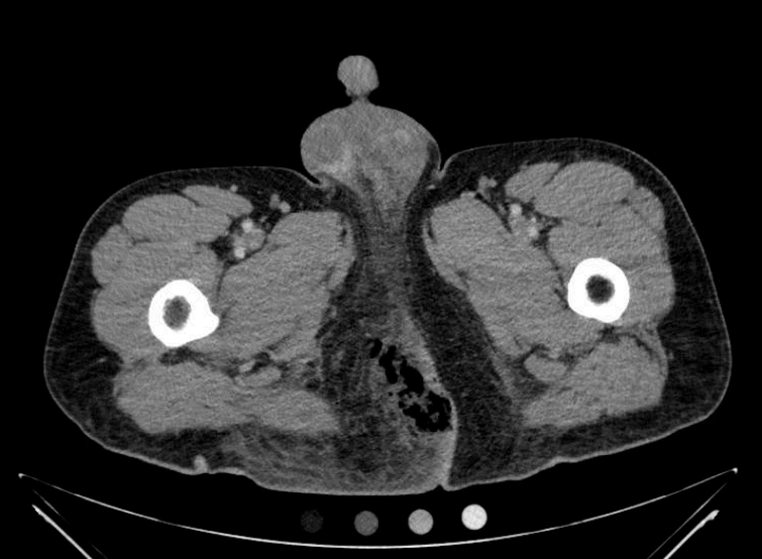
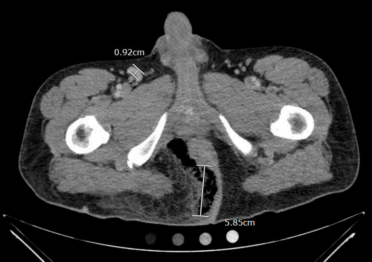
The computed tomography (CT) of the abdomen and pelvis revealed significant subcutaneous gas tracking along the perineum and right gluteal region (orange outline) into the scrotum with associated scrotal edema (yellow arrow) and subcutaneous inflammatory fat stranding of 0.92 cm (red arrow) consistent with Fournier’s gangrene. There is early fluid loculation along the right medial gluteal cleft of 5.85 cm (green arrow) without a sizeable drainable abscess seen.
Discussion:
Fournier gangrene is typically seen in diabetic men aged 50-70. Other factors that predispose to Fournier’s is immunosuppression and alcoholism.1 The most common organisms isolated are Proteus, Klebsiella, Streptococcus,Staphylococcus, and E. coli.1 As seen in our patient, the most common source of spread is via perianal infections which are seen in 19%-50% of patients.2 Fournier gangrene can be life-threatening with a mortality rate ranging between 15%-50%.3 The classic exam finding of crepitus is only seen in 19%-64% of cases.4 Thus, while the diagnosis is often made clinically, further diagnosis with CT is preferred because it can show the source of infection and path of spread.5 CT is the modality of choice over ultrasound because it can detect fluid collections in the deep fascial planes, whereas direct pressure on the perineum with ultrasound is often not tolerated and cannot detect the small pockets of gas in tissues that CT does in patients with Fournier gangrene.5
Fournier gangrene patients must undergo surgical debridement, and adequate debridement positively impacts outcomes.6 This patient was diagnosed with Fournier’s gangrene and admitted to the emergency general surgery service for emergent debridement of the perianal and gluteal abscess.
Topics:
Fournier gangrene, CT, perianal abscess.
References:
- Uppot RN, Levy HM, Patel PH. Case 54: Fournier gangrene. Radiology. 2003;226(1):115-117. doi: 10.1148/radiol.2261010714
- Morpurgo E, Galandiuk S. Fournier’s gangrene. Surg Clin North Am.2002;82(6):1213-1224. doi: 10.1016/S0039-6109(02)00058-0
- Levenson RB, Singh AK, Novelline RA. Fournier gangrene: role of imaging. Radiographics. 2008;28(2):519-528. doi: 10.1148/rg.282075048
- Kube E, Stawicki S, Bahner D. Ultrasound in the diagnosis of Fournier’s gangrene. Int J Crit Ill Inj Sci. 2012;2(2):104-106. doi: 10.4103/2229-5151.97276
- Avery LL, Scheinfeld MH. Imaging of penile and scrotal emergencies. Radiographics. 2013;33(3):721-740. doi: 10.1148/rg.333125158
- Vick R, Carson CC 3rd. Fournier’s disease. Urol Clin North Am.1999;(26):841-849. doi: 10.1016/s0094-0143(05)70224-X






