JETem
  • Home
  • About
    • Aim and Scope
    • Our Team
    • Editorial Board
    • FAQ
  • Issues
    • Current Issue
    • Ahead of Print
    • Past Issues
  • Visual EM
    • Latest Visual EM
    • Search Visual EM
    • Thumbnail Library
  • For Authors
    • Instructions for Authors
    • Submit to JETem
    • Photo Consent
    • Policies
      • Peer Review Policy
      • Copyright Policy
      • Editorial Policy, Ethics and Responsibilities
      • Conflicts of Interest & Informed Consent
      • Open Access Policy
  • For Reviewers
    • Instructions for JETem Reviewers
    • Interested in Being a JETem Reviewer?
  • Topic
    • Abdominal/Gastroenterology
    • Administration
    • Board Review
    • Cardiology/Vascular
    • Certifying Exam Cases
      • Clinical Decision-Making
      • Prioritization
      • Communication
      • Procedure & Ultrasound
    • Clinical Informatics, Telehealth and Technology
    • Dermatology
    • EMS
    • Endocrine
    • ENT
    • Faculty Development
    • Genitourinary
    • Geriatrics
    • Hematology/Oncology
    • Infectious Disease
    • Miscellaneous (stats, etc)
    • Neurology
    • Ob/Gyn
    • Ophthalmology
    • Orthopedics
    • Pediatrics
    • Pharmacology
    • Procedures
    • Psychiatry
    • Renal/Electrolytes
    • Respiratory
    • Social Determinants of Health
    • Toxicology
    • Trauma
    • Ultrasound
    • Urology
    • Wellness
    • Wilderness
  • Modality
    • Certifying Exam Practice Cases
      • Clinical Care Cases
      • Communication & Procedural Cases
      • Old School Oral Board Cases
    • Curricula
    • Innovations
    • Lectures
    • Podcasts
    • Simulation
    • Small Group Learning
    • Team Based Learning (TBL)
    • Visual EM
  • Contact Us

Videos

Creative Commons images

A Case Report of Epiglottitis in an Adult Patient

Savannah Tan, BS*, Kyle Dornhofer, MD*, Allen Yang, MD*, Shadi Lahham, MD, MS*  and Lindsey C Spiegelman, MD*

DOI: https://doi.org/10.21980/J8QM09 Issue 7:1[mrp_rating_result]
At the time of presentation to the ED, laboratory results were significant for leukocytosis to 11.8 x 109 white blood cells/L and a partial pressure of carbon dioxide of 52 mmHg on venous blood gas. Computed tomography (CT) of the soft tissue of the neck with contrast showed edematous swelling of the epiglottis and aryepiglottic fold with internal foci of gas (blue arrow) and partial effacement of the laryngopharyngeal airway and scattered cervical lymph nodes bilaterally (Figure 1). Findings were consistent with epiglottitis containing nonspecific air. Additionally, the pathognomonic “thumbprint sign” (yellow arrow) was found on lateral x-ray of the neck (Figure 2). The CT findings as shown in figure 3 illustrate lateral view of the swelling of the epiglottis, gas, and blockage of the airway.
ENTVisual EM
Creative Commons images

A Woman with Arm Spasms

Anita Mudan, MD* and Wilma Chan, MD, EdM*

DOI: https://doi.org/10.21980/J8VP88Issue 4:2[mrp_rating_result]
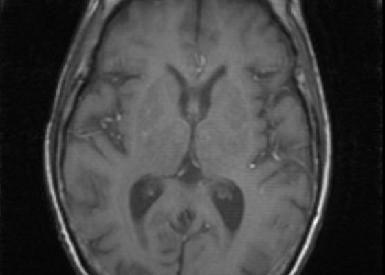
The patient had a witnessed episode of isolated left upper extremity jerking, shown in the video, during which she was completely awake and conversant.  Lab results were significant for serum glucose of 1167 mg/dL, no anion gap, and negative serum/urine ketones. She had a computed tomography (CT) of the head that did not show any acute pathology, and underwent a brain magnetic resonance imaging (MRI) without any signs of stroke or other pathology, shown below.
Renal/ElectrolytesNeurologyVisual EM
Ectopic Still JETem 2016

Ruptured Ectopic Pregnancy

Valentina Park, BS* and Shannon Toohey, MD, MA*

DOI: https://doi.org/10.21980/J8SG6TIssue 1:2[mrp_rating_result]
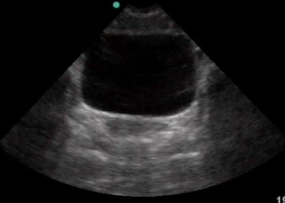
The patient’s serum beta-hCG was 5,637 mIU/mL. The transvaginal ultrasound showed an empty uterus with free fluid posteriorly in the pelvis and Pouch of Douglas (00:00). A 4.5 cm heterogeneous mass was visible in the left adnexa concerning for an ectopic pregnancy (00:10).
Ob/GynVisual EM
Creative Commons images

Atrial Myxoma

Alisa Wray, MD*

DOI: https://doi.org/10.21980/J87P45Issue 1:1[mrp_rating_result]
Bedside ultrasound revealed the presence of a left atrial mass that appeared to be tethered to the mitral valve. The mass was best viewed on ultrasound in the apical four-chamber window with the phased array probe placed over the patients’ point of maximal impact (PMI), with the patient in left lateral decubitus position.
UltrasoundCardiology/VascularVisual EM
Creative Commons images

Thompson Test in Achilles Tendon Rupture

Spencer Albertson* and Megan Boysen Osborn, MD, MHPE*

DOI: https://doi.org/10.21980/J8VC7SIssue 1:1[mrp_rating_result]
The left Achilles tendon had a defect on palpation, while the right Achilles tendon was intact. When squeezing the right (unaffected) calf, the ankle spontaneously plantar flexed, indicating a negative (normal) Thompson test. Upon squeeze of the left (affected) calf, the ankle did not plantar flex, signifying a positive (abnormal) Thompson test. The diagnosis of left Achilles tendon rupture was confirmed intraoperatively one week later.
OrthopedicsTraumaVisual EM
Creative Commons images

FAST Exam: Normal Suprapubic

[mrp_rating_result]
  Keywords: radiology, trauma, normal, suprapubic, FAST exam, videos, ultrasound, US
Trauma
Creative Commons images

FAST Exam: Normal Morrison’s Pouch

[mrp_rating_result]
Keywords: radiology, normal, renal, Morrison’s pouch, trauma, liver, ultrasound, video, FAST exam
Trauma

JETem is an online, open access, peer-reviewed, journal-repository for EM educators. We are PMC Indexed.

Most Viewed

  • Enhancing Emergency Medicine Resident Education: A Weekly Education Series to Augment Electrocardiogram Education
  • Development and Design of a Pediatric Case-Based Virtual Escape Room on Acute Iron Toxicity
  • Pre-Clinical Case Competition to Assess Confidence in Responding to Select Out-Of-Hospital Medical Emergencies
  • Pediatric Difficult Airway Simulation Day
  • Cards Against Pulmonology

Visit Our Collaborators

 

 

Creative Commons Licence
This work is licensed under a Creative Commons Attribution 4.0 International License.

About

Education

Learners should benefit from active learning. JETem accepts submissions of team-based learning, small group learning, simulation, podcasts, lectures, innovations, curricula, question sets, and visualEM.

Scholarship

We believe educators should advance through the scholarship of their educational work. JETem gives educators the opportunity to publish scholarly academic work so that it may be widely distributed, thereby increasing the significance of their results.

Links

  • Home
  • Aim and Scope
  • Current Issue
  • For Reviewers
  • Instructions for Authors
  • Contact Us

Newsletter

Sign up to receive updates from JETem regarding newly published issues and findings.

Copyright Creative Commons Attribution 4.0 International