A Woman with Arm Spasms
History of present illness:
A 68-year-old female with diabetes, hypertension, and coronary artery disease presented to the emergency department with acute onset left arm spasms that woke her from sleep. The spasms were isolated to her left arm, lasted 20-30 seconds before self-resolving, and were only associated with mild weakness in her left hand. The patient’s neurological exam revealed mildly diminished strength in the left hand and was otherwise unremarkable.
Significant findings:
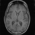
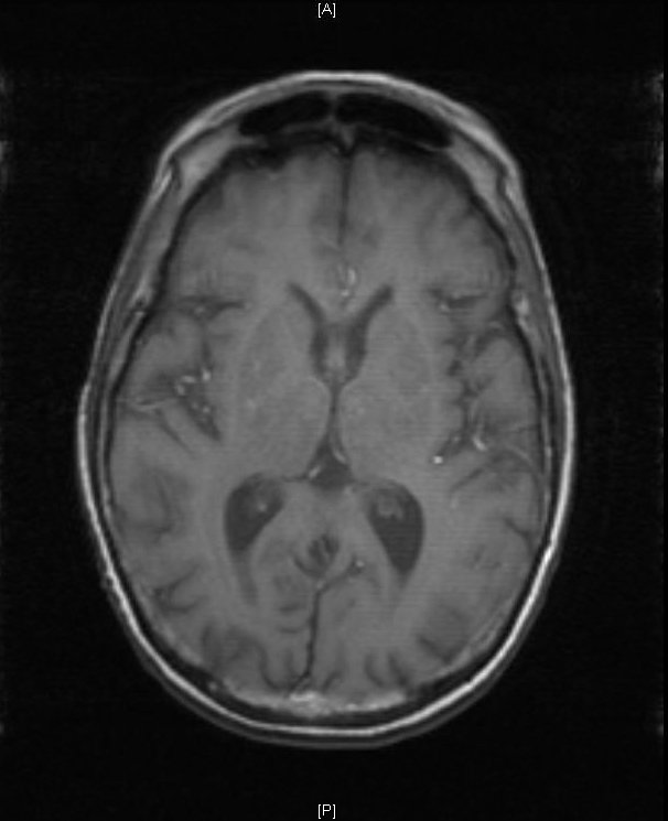
The patient had a witnessed episode of isolated left upper extremity jerking, shown in the video, during which she was completely awake and conversant. Lab results were significant for serum glucose of 1167 mg/dL, no anion gap, and negative serum/urine ketones. She had a computed tomography (CT) of the head that did not show any acute pathology, and underwent a brain magnetic resonance imaging (MRI) without any signs of stroke or other pathology, shown below.
Discussion:
Hyperglycemic hemichorea hemiballismus is a rare complication of hyperosmolar hyperglycemic non-ketotic syndrome (HHNS) and encompasses a range of non-patterned, involuntary movements on one side of the body.1 The pathophysiology is not fully understood, but one hypothesis suggests an increased inhibition of the subthalamic nucleus and reduction in GABA-ergic inhibition in the thalamus.2 The characteristic lesions seen on radiology include hyperdensities of the putamen, head of the caudate, and globus pallidus on CT and T1-weighted MRI contralateral to the side with symptoms, but these findings are not always seen (as in this case), nor are they specific for this disease process.3 The differential for these type of lesions also includes subacute hemorrhage, calcifications, and metal deposition.4 Most cases are benign and resolve with one to two days of normoglycemia; however, some patients can have persistent symptoms for months.2 Review of previous case reports revealed that this dyskinesia occurred more often among elderly diabetic patients but could also be an initial presentation of diabetes.5
This patient was given insulin and intravenous fluids with improvement in her glucose and decreased amplitude of the dyskinesia. The patient was admitted to optimize glucose control and discharged several days later with complete resolution of her symptoms.
Topics:
Hyperglycemic, hemichorea, hemiballismus.
References:
- Balasubramaniyam N, Palaniswamy C, Rajamani VK, Subbiah G, Nivas J, Selvaraj DR. Hyperosmolar hyperglycemic nonketotic syndrome presenting with hemichorea-hemiballismus: a case report. J Neuropsychiatry Clin Neurosci. 2011;23(3):E16-E17. doi: 10.1176/jnp.23.3.jnpe16
- Ifergane G, Masalha R, Herishanu YO. Transient hemichorea/hemiballismus associated with new onset hyperglycemia. Can J Neurol Sci. 2001;28(4):365-368.
- Battisti C, Forte F, Rubenni E, et al. Two cases of hemichorea-hemiballism with nonketotic hyperglycemia: a new point of view. Neurol Sci. 2009;30(3):179-183. doi: 10.1007/s10072-009-0039-5
- Zaitout Z. CT and MRI findings in the basal ganglia in non-ketotic hyperglycemia associated hemichorea and hemi-ballismus (HC-HB). Neuroradiology. 2012;54:1119-1120. https://doi.org/10.1007/s00234-012-1021-0
- Lin JJ, Lin GY, Shih C, Shen WC. Presentation of striatal hyperintensity on T1-weighted MRI in patients with hemiballism-hemichorea caused by non-ketotic hyperglycemia: report of seven new cases and a review of literature. J Neurol. 2001;248(9):750-755.



