FAST Exam to Diagnose Subcapsular Renal Hematoma
ABSTRACT:
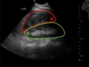
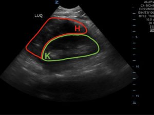
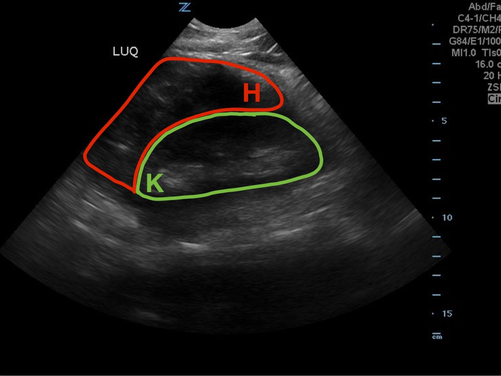
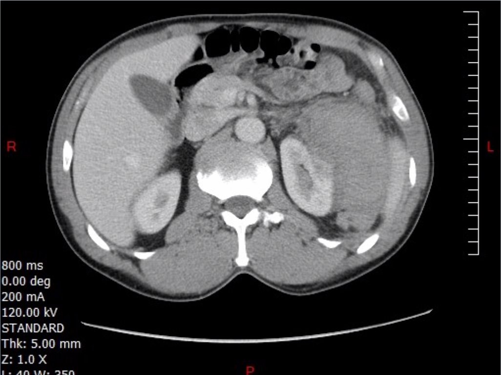
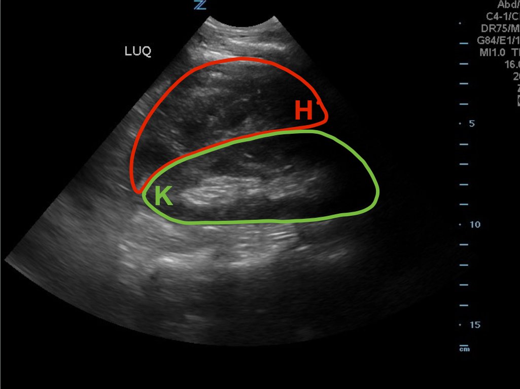
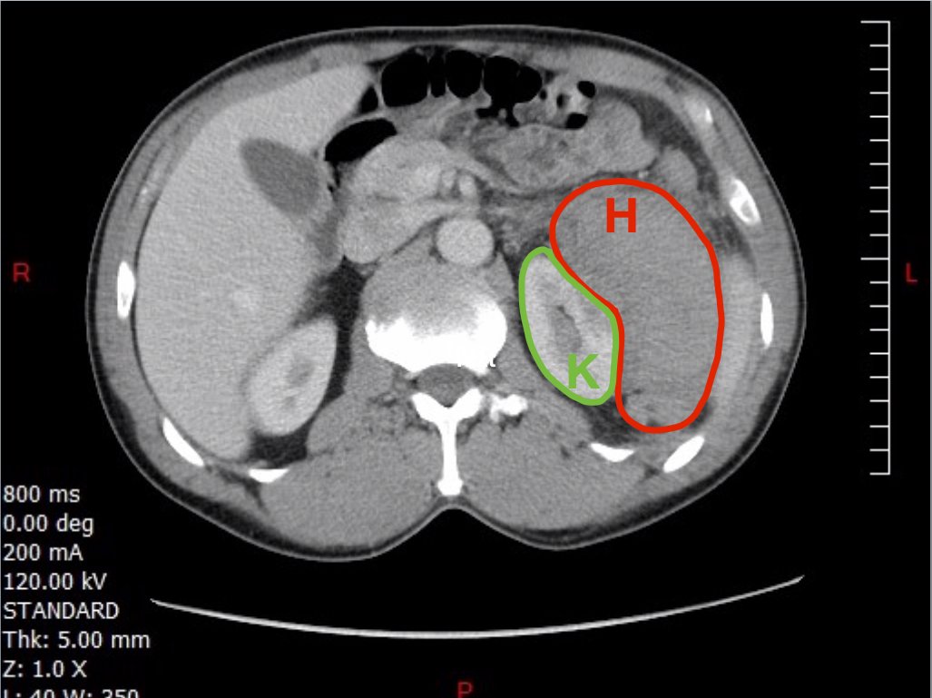
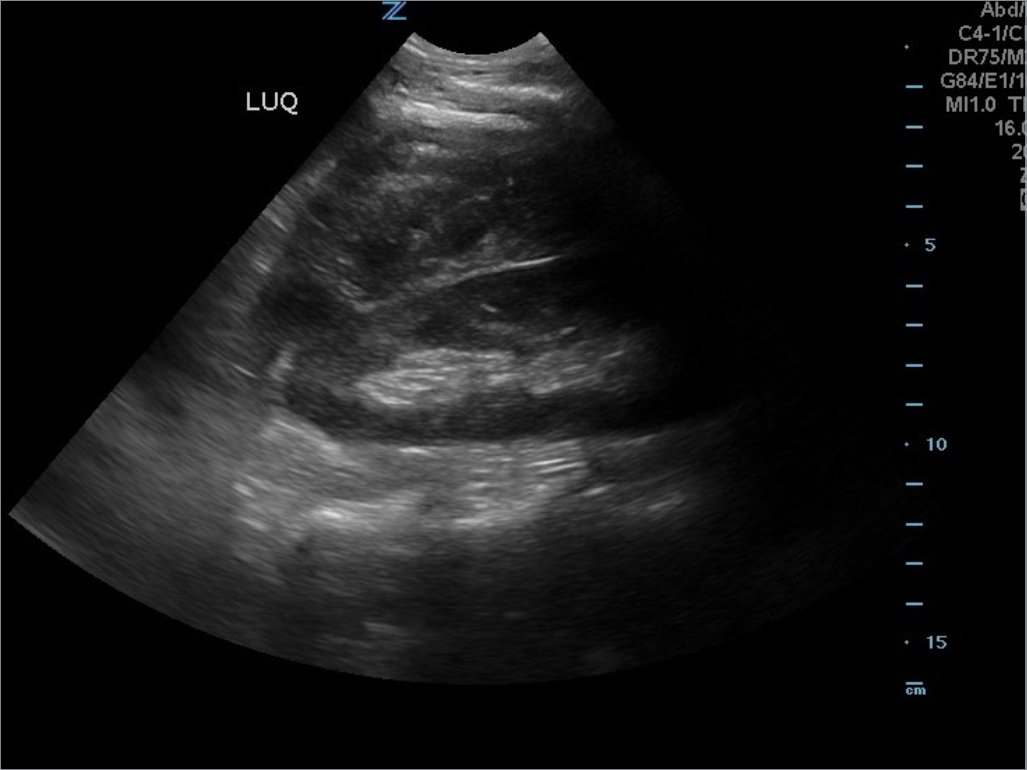
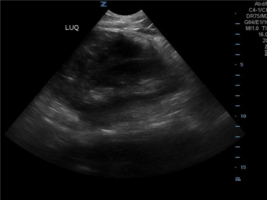
A 49-year-old male presents for evaluation of hematuria and left flank pain after mechanical fall down stairs four days ago. Point-of-care ultrasound (POCUS) focused assessment with sonography in trauma (FAST) exam demonstrated subcapsular renal hematoma. Once a subcapsular hematoma is recognized the provider should keep in mind that this condition may be managed conservatively in patients with two normally functioning kidneys, but may require urgent intervention if the patient is at risk for significant renal disease, such as a single kidney. The use of bedside ultrasound can expedite diagnosis and care for these patients, and allow proper consultants to be contacted early. Some consultants that may need to be consulted include nephrology, urology, and/or internal medicine. This case report emphasizes the utility of the FAST exam for patients presenting for non-acute trauma. The FAST exam can be utilized not only to identify free fluid in the abdomen and pelvis but also to visualize organs and the surrounding tissues for abnormalities after a trauma.
Topics:
Renal, ultrasound, subcapsular hematoma, trauma, FAST, point-of-care ultrasound, focused assessment with sonography in trauma.








