Right Upper Quadrant Pain in a World Explorer
ABSTRACT:
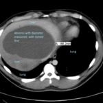
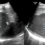
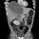
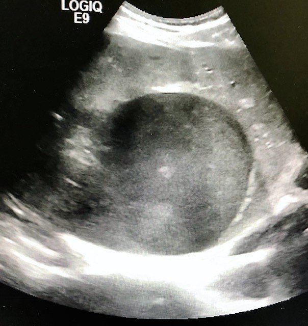
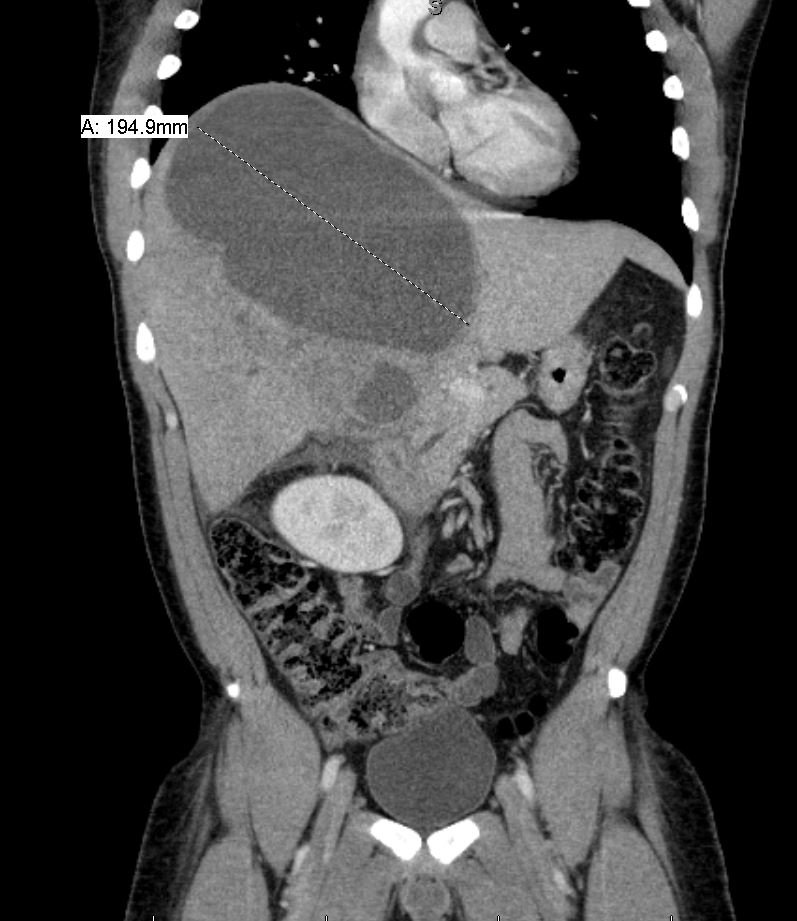
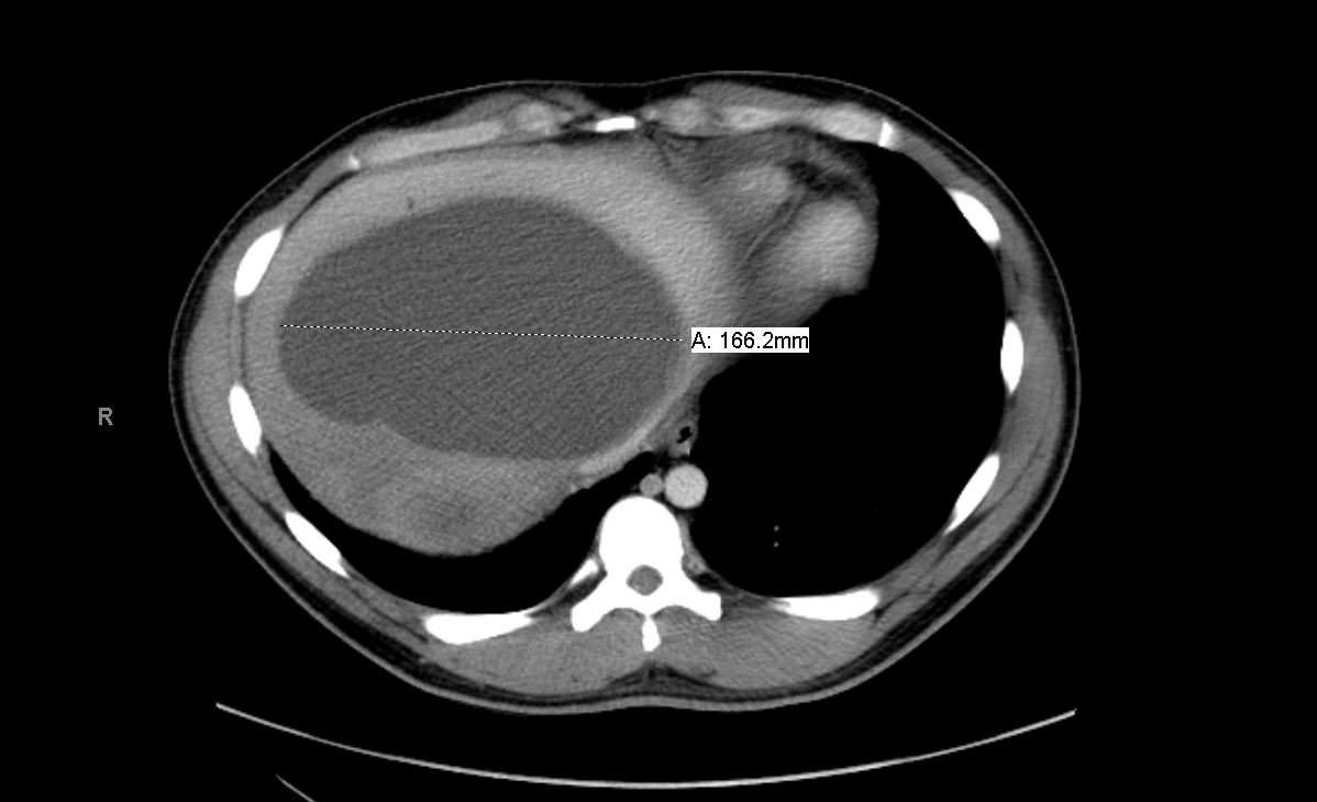
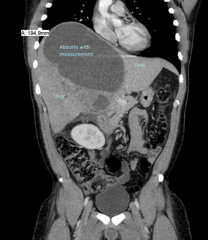
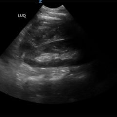
Although rare in the developed world, amebic infections are common worldwide and represent a challenging and often overlooked diagnosis. In this case, an amebic liver abscess was discovered in a 29-year-old male who presented to the emergency department (ED) complaining of right upper quadrant abdominal pain, weight loss, non-bilious/non-bloody vomiting, and diarrhea for three months. He recently traveled to India and Mexico. Point-of-care ultrasound discovered a liver mass and computed tomography (CT) confirmed the presence of a liver abscess. The case highlights the usefulness of ultrasound as an initial diagnostic tool, the importance of careful travel history in patients with suspected infectious diseases, and the initial provision of broad-spectrum coverage for bacterial and amebic pathogens for liver abscesses until the pathogen has been identified.
Topics:
Amebic liver abscess, bedside ultrasound, travel medicine, infectious disease









