Computed Tomography and Ultrasound Diagnosis of Spontaneous Subcapsular Renal Hematoma
History of present illness:
A 58-year-old female with history of thrombotic disorder presented to emergency department (ED) with constant, sharp pain in her lower abdomen radiating to her back for the past day. She denied nausea, vomiting, changes in bowel habits, or recent abdominal trauma. The patient had been recently transitioned from warfarin to enoxaparin after having a shoulder surgery one week prior to her presentation. On exam, the patient was tachycardic, hypotensive, and pale. She had significant abdominal tenderness to the left upper and lower quadrants, and left flank. Her initial hemoglobin (Hbg) was 8.9 g/dL, but dropped to 6.1 g/dL during her ED course, requiring emergent blood transfusion.
Significant findings:
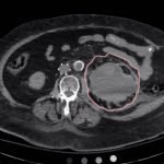
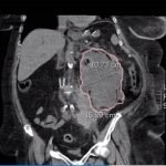
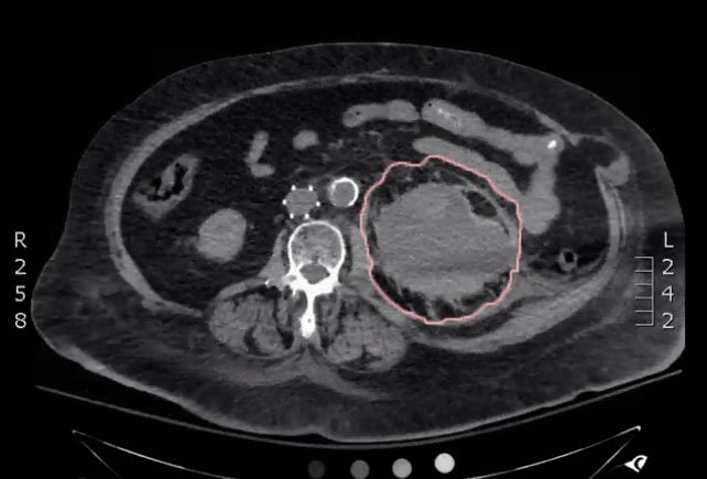
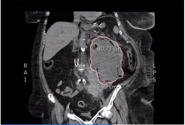
Bedside ultrasound was performed and demonstrated a hypoechoic area within the left kidney (images not shown). The non-contrast computed tomography (CT) of the abdomen and pelvis shows a significantly enlarged left kidney and a region of high-attenuation encapsulating the left kidney, concerning for acute hemorrhage.
Discussion:
The cause for spontaneous subcapsular renal hematoma (SPH) is not entirely clear.1 It may mimic acute appendicitis or a dissecting aneurysm.2 The use of ultrasound in the emergency setting can detect SPH; however, CT is preferred because it can distinguish between a renal mass, abscess, or collection of blood.3 Most SPH cases are associated with renal tumors, and radical nephrectomy is recommended.4 When the etiology cannot be determined, conservative management may be appropriate.5 The use of anticoagulant and antiplatelet medications may be a predisposing factor, since their usage has been implicated in cases of SPH in the past.4,6 This patient was evaluated by interventional radiology, but she was not a candidate for embolization due to a significant contrast allergy. She was therefore admitted to general surgery and underwent exploratory laparotomy. A left-sided adrenal mass was discovered with retroperitoneal and splenic hemorrhages, necessitating splenectomy and left adrenalectomy.
Topics:
Spontaneous perirenal hematoma, spontaneous subcapsular hematoma, anticoagulation, computerized tomography, CT, ultrasound.
References:
- Phillips CK, Lepor H. Spontaneous retroperitoneal hemorrhage caused by segmental arterial mediolysis. Rev Urol. 2006;8(1):36-40.
- Orr WA, Gillenwater JY. Hypernephroma presenting as an acute abdomen. Surgery. 1971;70(5):656-60.
- Lai S and Spanger M. Role of computed tomography in perirenal haematoma; a pictorial review. Internet J Radiol. 2012;14(1):1-9.
- Toutziaris C, Spyridon K, Leonidas L, Koptsis M, Sardaridis F, Ioannidis S. Spontaneous subcapsular renal hematoma in a patient being treated with dual antiplatelet therapy: a case report. International Journal of Case Reports and Images.2012;3(12):43–45. doi: 10.5348/ijcri-2012-12-236-CR-10
- Bosniak MA. Spontaneous subcapsular and perirenal hematomas. Radiology. 1989;172(3):601–2.doi: 10.1148/radiology.172.3.2772165
- Greco M, Buttice S, Benedetto F, Spinelli F, Traxer O, Tefik T, et al. Spontaneous subcapsular renal hematoma: strange case in an anticoagulated patient with HWMH after aortic and iliac endovascular stenting procedure. Case Rep Urol. 2016:2573476. doi: 10.1155/2016/2573476





