A Case of Acute Cholecystitis
History of present illness:
A 46-year-old female with a history of an aortic arch repair secondary to invasive aspergillosis in addition to a known history of gallstones presented to the emergency department with two days of right upper quadrant pain, fever, nausea and vomiting.
Significant findings:
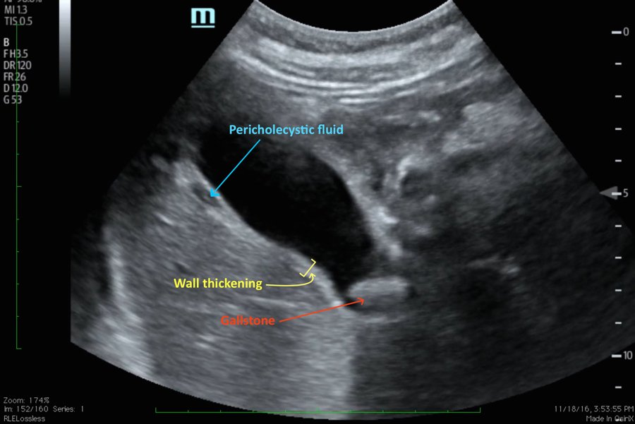
The patient’s vital signs were significant for tachycardia. Physical exam was notable for a positive Murphy’s sign. Initial labs were significant for leukocytosis with an elevated alkaline phosphatase. Bedside point-of-care ultrasound revealed a distended gallbladder, thickened gallbladder wall, pericholecystic fluid, and a stone in the neck of the gallbladder indicative of acute cholecystitis.
Discussion:
Gallstones are quite prevalent in western countries and typically cause intermittent abdominal pain in the right upper quadrant that is worse after eating, known as biliary colic.1 Patients with acute cholecystitis typically present with pain similar to biliary colic, and often endorsing anorexia, nausea, vomiting, low-grade fever and leukocytosis.2 Ultrasonography is the first line test for diagnosing acute cholecystitis because it is sensitive, specific, rapid, inexpensive, and without adverse effects. A sonographic Murphy’s sign, specific tenderness of the gallbladder noted during the ultrasound examination, has a sensitivity of 88% and a specificity of 80% for acute cholecystitis.3 No visualization of the biliary tract on nuclear imaging (hepatobiliary iminodiacetic acid or HIDA) is also diagnostic if the initial bedside ultrasound is equivocal.3 Once the diagnosis is established, the patient should be given nothing by mouth (NPO), antiemetics can be given for nausea and vomiting, parenteral analgesics for pain, and empiric antibiotics should be started if the patient has systemic signs of infection. Patients with acute cholecystitis should be admitted to the hospital and undergo emergent surgical consultation with the aim of surgical intervention within 24 hours.4
In this case, the patient was deemed a poor surgical candidate given her history of invasive aspergillosis and previous aortic arch repair; thus the patient underwent cholecystostomy tube placement by interventional radiology. On insertion of the cholecystostomy tube, frank purulent material was drained.
Topics:
Cholecystitis, gallbladder, gallstone, POCUS, RUQ pain.
References:
- Greenberger NJ, Paumgartner G. Diseases of the gallbladder and bile ducts. In: Kasper D, Fauci A, Hauser S, Longo D, Jameson J, Loscalzo J. eds. Harrison’s Principles of Internal Medicine. 19thed. New York, NY: McGraw-Hill; 2015.
- Caddy GR, Tham TC. Gallstone disease: symptoms, diagnosis and endoscopic management of common bile duct stones. Best Pract Res Clin Gastroenterol. 2006;20(6):1085-101. doi: 1016/j.bpg.2006.03.002
- Summers SM, Scruggs W, Menchine MD, Lahham S, Anderson C, Amr O, et al. A prospective evaluation of emergency department bedside ultrasonography for the detection of acute cholecystitis. Ann Emerg Med 2010 ;56(2):123–125. doi: 10.1016/j.annemergmed.2010.01.014
- Johner A, Raymakers A, Wiseman S. Cost utility of early versus delayed laparoscopic cholecystectomy for acute cholecystitis. Surg Endosc.2013; 27(1):256–262. doi: 10.1007/s00464-012-2430-1



