JETem
  • Home
  • About
    • Aim and Scope
    • Our Team
    • Editorial Board
    • FAQ
  • Issues
    • Current Issue
    • Ahead of Print
    • Past Issues
  • Visual EM
    • Latest Visual EM
    • Search Visual EM
    • Thumbnail Library
  • For Authors
    • Instructions for Authors
    • Submit to JETem
    • Photo Consent
    • Policies
      • Peer Review Policy
      • Copyright Policy
      • Editorial Policy, Ethics and Responsibilities
      • Conflicts of Interest & Informed Consent
      • Open Access Policy
  • For Reviewers
    • Instructions for JETem Reviewers
    • Interested in Being a JETem Reviewer?
  • Topic
    • Abdominal/Gastroenterology
    • Administration
    • Board Review
    • Cardiology/Vascular
    • Certifying Exam Cases
      • Clinical Decision-Making
      • Prioritization
      • Communication
      • Procedure & Ultrasound
    • Clinical Informatics, Telehealth and Technology
    • Dermatology
    • EMS
    • Endocrine
    • ENT
    • Faculty Development
    • Genitourinary
    • Geriatrics
    • Hematology/Oncology
    • Infectious Disease
    • Miscellaneous (stats, etc)
    • Neurology
    • Ob/Gyn
    • Ophthalmology
    • Orthopedics
    • Pediatrics
    • Pharmacology
    • Procedures
    • Psychiatry
    • Renal/Electrolytes
    • Respiratory
    • Social Determinants of Health
    • Toxicology
    • Trauma
    • Ultrasound
    • Urology
    • Wellness
    • Wilderness
  • Modality
    • Certifying Exam Practice Cases
      • Clinical Care Cases
      • Communication & Procedural Cases
      • Old School Oral Board Cases
    • Curricula
    • Innovations
    • Lectures
    • Podcasts
    • Simulation
    • Small Group Learning
    • Team Based Learning (TBL)
    • Visual EM
  • Contact Us

Pseudogout and Calcium Pyrophosphate Disease

Andrew Williamson, MD*

*Kaiser Permanente—San Diego, Department of Emergency Medicine, San Diego, CA

Correspondence should be addressed to Andrew Williamson at awill3123@gmail.com

DOI: https://doi.org/10.21980/J8QG66Issue 2:1
OrthopedicsVisual EM
[mrp_rating_result]
Creative Commons images
Creative Commons images
Creative Commons images
Creative Commons images
Creative Commons images
Creative Commons images

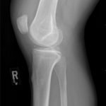
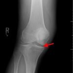
History of present illness:

A 53-year-old male presented with worsening right knee pain and swelling over the past 48 hours. He denied recent trauma to the knee, history of IV drug use, and recent illness. He had no history of diabetes, immunodeficiency, chronic steroids, rheumatologic disease, or knee replacement. He described the pain as sharp, non-radiating, and worse with movement. He was unable to walk due to pain.

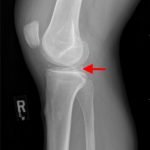
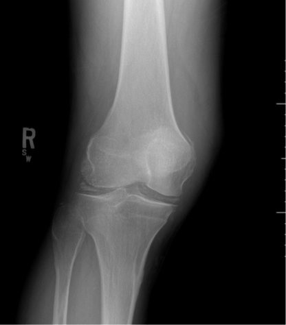
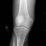
Significant findings:

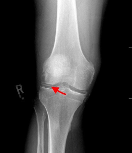
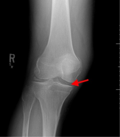
Radiographs of the knee showed multiple radio-dense lines paralleling the articular surface (see red arrows) consistent with calcium pyrophosphate crystal deposition within the joint often seen in calcium pyrophosphate disease (CPPD) also known as pseudogout.

Discussion:

Patients commonly present to the emergency department with non-traumatic joint pain. Arthrocentesis is an important diagnostic tool to evaluate for septic arthritis, gout, or pseudogout. Arthrocentesis can demonstrate crystals or abnormal cell count, gram stain, and culture.[1] In the evaluation of joint pain, plain films are usually obtained to evaluate for fracture, dislocation, effusion, or secondary signs of infection. In this case the classic x-ray supported the diagnosis of CPPD.2 The patient was found to have positively birefringent rhomboid shaped crystals consistent with pseudogout on arthrocentesis. Gram stain and culture were both negative. The patient was discharged with NSAIDs and had significant improvement in symptoms upon follow up with primary care physician in 3 days.

Topics:

Pseudogout, calcium pyrophosphate disease, non-traumatic joint pain, orthopedics, positively birefringent rhomboid crystals, arthrocentesis.

References:

  1. Sholter DE. Synovial fluid analysis. In: Post T, ed. Waltham, Mass.: UpToDate; 2016. https://www.uptodate.com/contents/synovial-fluid-analysis. Updated January 18, 2016. Accessed November 10, 2016.
  2. Beutler A, Rothfuss S, Clayburne G, Sieck M, Schumacher HR Jr. Calcium pyrophosphate dihydrate crystal deposition in synovium. Relationship to collagen fibers and chondrometaplasia. Arthritis Rheum. 1993;36(5):704-715.
Icon

Pseudogout and Calcium Pyrophosphate Disease - Case Report

1 file(s) 352 KB
Download
Icon

Pseudogout and Calcium Pyrophosphate Disease - Images

1 file(s) 313 KB
Download
Issue 2:1X-Ray

Reviews:

[mrp_rating_entry_details_list layout="inline" show_rating_items="false"][mrp_rating_form]
Creative Commons images

ST Elevation in aVR with Coexistent Multilead ST...

02 Jan, 17
Creative Commons images

Irreducible Traumatic Posterior Shoulder...

02 Jan, 17

JETem is an online, open access, peer-reviewed, journal-repository for EM educators. We are PMC Indexed.

Most Viewed

  • Enhancing Emergency Medicine Resident Education: A Weekly Education Series to Augment Electrocardiogram Education
  • Development and Design of a Pediatric Case-Based Virtual Escape Room on Acute Iron Toxicity
  • Pre-Clinical Case Competition to Assess Confidence in Responding to Select Out-Of-Hospital Medical Emergencies
  • Pediatric Difficult Airway Simulation Day
  • Cards Against Pulmonology

Visit Our Collaborators

 

 

Creative Commons Licence
This work is licensed under a Creative Commons Attribution 4.0 International License.

About

Education

Learners should benefit from active learning. JETem accepts submissions of team-based learning, small group learning, simulation, podcasts, lectures, innovations, curricula, question sets, and visualEM.

Scholarship

We believe educators should advance through the scholarship of their educational work. JETem gives educators the opportunity to publish scholarly academic work so that it may be widely distributed, thereby increasing the significance of their results.

Links

  • Home
  • Aim and Scope
  • Current Issue
  • For Reviewers
  • Instructions for Authors
  • Contact Us

Newsletter

Sign up to receive updates from JETem regarding newly published issues and findings.

Copyright Creative Commons Attribution 4.0 International