JETem
  • Home
  • About
    • Aim and Scope
    • Our Team
    • Editorial Board
    • FAQ
  • Issues
    • Current Issue
    • Ahead of Print
    • Past Issues
  • Visual EM
    • Latest Visual EM
    • Search Visual EM
    • Thumbnail Library
  • For Authors
    • Instructions for Authors
    • Submit to JETem
    • Photo Consent
    • Policies
      • Peer Review Policy
      • Copyright Policy
      • Editorial Policy, Ethics and Responsibilities
      • Conflicts of Interest & Informed Consent
      • Open Access Policy
  • For Reviewers
    • Instructions for JETem Reviewers
    • Interested in Being a JETem Reviewer?
  • Topic
    • Abdominal/Gastroenterology
    • Administration
    • Board Review
    • Cardiology/Vascular
    • Certifying Exam Cases
      • Clinical Decision-Making
      • Prioritization
      • Communication
      • Procedure & Ultrasound
    • Clinical Informatics, Telehealth and Technology
    • Dermatology
    • EMS
    • Endocrine
    • ENT
    • Faculty Development
    • Genitourinary
    • Geriatrics
    • Hematology/Oncology
    • Infectious Disease
    • Miscellaneous (stats, etc)
    • Neurology
    • Ob/Gyn
    • Ophthalmology
    • Orthopedics
    • Pediatrics
    • Pharmacology
    • Procedures
    • Psychiatry
    • Renal/Electrolytes
    • Respiratory
    • Social Determinants of Health
    • Toxicology
    • Trauma
    • Ultrasound
    • Urology
    • Wellness
    • Wilderness
  • Modality
    • Certifying Exam Practice Cases
      • Clinical Care Cases
      • Communication & Procedural Cases
      • Old School Oral Board Cases
    • Curricula
    • Innovations
    • Lectures
    • Podcasts
    • Simulation
    • Small Group Learning
    • Team Based Learning (TBL)
    • Visual EM
  • Contact Us

Irreducible Traumatic Posterior Shoulder Dislocation

Blake Collier, DO* and Christopher Trigger, MD*

*Lakeland Health, Department of Emergency Medicine, St Joseph, MI

Correspondence should be addressed to Blake Collier at blcollier@lakelandhealth.org

DOI: https://doi.org/10.21980/J8V884Issue 2:1
OrthopedicsVisual EM
[mrp_rating_result]
Creative Commons images
Creative Commons images
Creative Commons images
Creative Commons images
Creative Commons images
Creative Commons images

History of present illness:

A 22-year-old male presented to the Emergency Department complaining of right shoulder pain after a motocross accident. He was traveling at approximately 10 mph around a turn when he lost control and was thrown over the handlebars, landing directly on his right shoulder.  On arrival, he was holding his arm in adduction and internal rotation.  An area of swelling was noted over his anterior shoulder. He was unable to abduct his shoulder. No humeral gapping was noted. He had normal neuro-vascular status distal to the injury.

Significant findings:

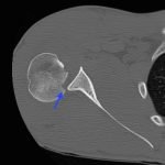
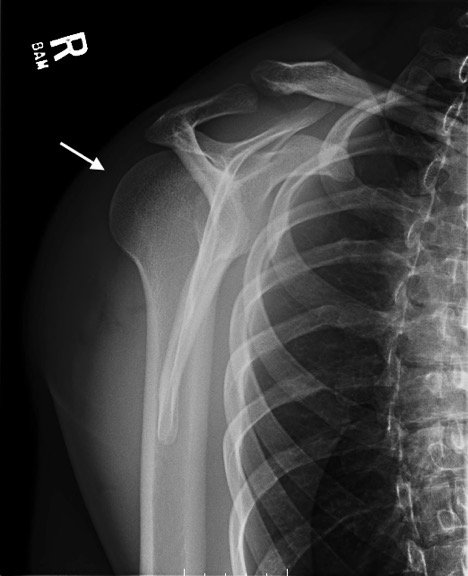
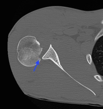
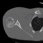
Radiographs demonstrated posterior displacement of the humeral head on the “Y” view (see white arrow) and widening of the glenohumeral joint space on anterior-posterior view (see red arrow). The findings were consistent with posterior dislocation and a Hill-Sachs type deformity.  Sedation was performed and reduction was attempted using external rotation, traction counter-traction. An immediate “pop” was felt during the procedure. Post-procedure radiographs revealed a persistent posterior subluxation with interlocking at posterior glenoid. CT revealed posterior dislocation with acute depressed impaction deformity medial to the biceps groove with the humeral head perched on the posterior glenoid, interlocked at reverse Hill-Sachs deformity (see blue arrow).

Discussion:

Posterior shoulder dislocations are rare and represent only 2% of all shoulder dislocations.  Posterior shoulder dislocations are missed on initial diagnosis in more than 60% of cases.1 Posterior shoulder dislocations result from axial loading of the adducted and internally rotated shoulder, violent muscle contractions (resulting from seizures or electrocution), a direct posterior force applied to the anterior shoulder.1 Physical findings include decreased anterior prominence of the humeral head, increased palpable posterior prominence of the humeral head below the acromion, increased palpable prominence of the coracoid, marked limitation of abduction, and complete absence of external rotation with a fixed internal rotation deformity.2 Lesions commonly associated with traumatic posterior subluxation/dislocation are the reverse Hill-Sachs,3 a posterior labral detachment, glenohumeral ligament lesions,4 rotator cuff tears or posterior bony fractures.1 In order to make an accurate diagnosis it is important to obtain adequate x-ray imaging, including a “Y” view.2 Anteroposterior x-rays may show widening of the glenohumeral joint resembling a “light bulb” shape of the humeral head. However, definitive diagnosis is made by the “Y” view which shows the humeral head displaced posteriorly and no longer covering the glenoid fossa6. Irreducible acute posterior dislocation of the shoulder is extremely rare5 and only one other case has been reported in the literature.7

Topics:

Posterior shoulder, reverse Hill-Sachs, irreducible, ortho, orthopedics, shoulder dislocation.

References:

  1. Rouleau DM, Hebert-Davies J. Incidence of associated injury in posterior shoulder dislocation: systematic review of the literature. J Orthop Trauma. 2012;26(4):246-251. doi: 10.1097/BOT.0b013e3182243909
  2. Li HH, Liu SQ, Peng H. A neglected posterior fracture dislocation of the shoulder with ipsilateral distal humeral shaft fracture. J Emerg Med. 2011;41(2):154-156. doi: 10.1016/j.jemermed.2008.01.031
  3. McLaughlin HL. Posterior dislocation of the shoulder. J Bone Joint Surg Am. 1952;24-A(3):584-590.
  4. Ames JB, Millett PJ. Combined posterior osseous Bankart lesionand posterior humeral avulsion of the glenohumeral ligaments: a case report and pathoanatomic subtyping of “floating” posterior inferior glenohumeral ligament lesions. J Bone Joint Surg Am. 2011;93:e118(1)–(4). doi: 10.2106/JBJS.K.00010
  5. Allard JC, Bancroft J. Irreducible posterior dislocation of the shoulder: MR and CT findings. J Comput Assist Tomogr. 1991;15(4):694-696. doi: 10.17795/soj-4023
  6. Mimura T, Mori K, Matsusue Y, Tanaka N, Nishi Y, Kobayashi M. Closed reduction for traumatic posterior dislocation of the shoulder using the ‘lever principle’: two case reports and a review of the literature. J Orthop Surg (Hong Kong). 2006;14(3):336-339. doi: 10.1177/230949900601400321
  7. Elmali N, Taşdemir Z, Sağlam F, Gülabi D, Baysal Ö. One-stage surgical treatment of neglected simultaneous bilateral locked posterior dislocation of shoulder: a case report and literature review. Eklem Hastalik Cerrahisi. 2015;26(3):175-180. doi: 10.5606/ehc.2015.36
Icon

Irreducible Traumatic Posterior Shoulder Dislocation - Case Report

1 file(s) 488 KB
Download
Icon

Irreducible Traumatic Posterior Shoulder Dislocation – Images

1 file(s) 7.12 MB
Download
Issue 2:1X-Ray

Reviews:

[mrp_rating_entry_details_list layout="inline" show_rating_items="false"][mrp_rating_form]
Creative Commons images

Pseudogout and Calcium Pyrophosphate Disease

02 Jan, 17
Creative Commons images

Pulmonary Embolism: Diagnosis by Computerized...

02 Jan, 17

JETem is an online, open access, peer-reviewed, journal-repository for EM educators. We are PMC Indexed.

Most Viewed

  • Enhancing Emergency Medicine Resident Education: A Weekly Education Series to Augment Electrocardiogram Education
  • Development and Design of a Pediatric Case-Based Virtual Escape Room on Acute Iron Toxicity
  • Pre-Clinical Case Competition to Assess Confidence in Responding to Select Out-Of-Hospital Medical Emergencies
  • Pediatric Difficult Airway Simulation Day
  • Cards Against Pulmonology

Visit Our Collaborators

 

 

Creative Commons Licence
This work is licensed under a Creative Commons Attribution 4.0 International License.

About

Education

Learners should benefit from active learning. JETem accepts submissions of team-based learning, small group learning, simulation, podcasts, lectures, innovations, curricula, question sets, and visualEM.

Scholarship

We believe educators should advance through the scholarship of their educational work. JETem gives educators the opportunity to publish scholarly academic work so that it may be widely distributed, thereby increasing the significance of their results.

Links

  • Home
  • Aim and Scope
  • Current Issue
  • For Reviewers
  • Instructions for Authors
  • Contact Us

Newsletter

Sign up to receive updates from JETem regarding newly published issues and findings.

Copyright Creative Commons Attribution 4.0 International