Ovarian Juvenile Granulosa Cell Tumor Case Report
ABSTRACT:
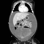
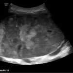
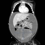
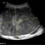
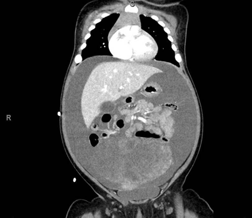
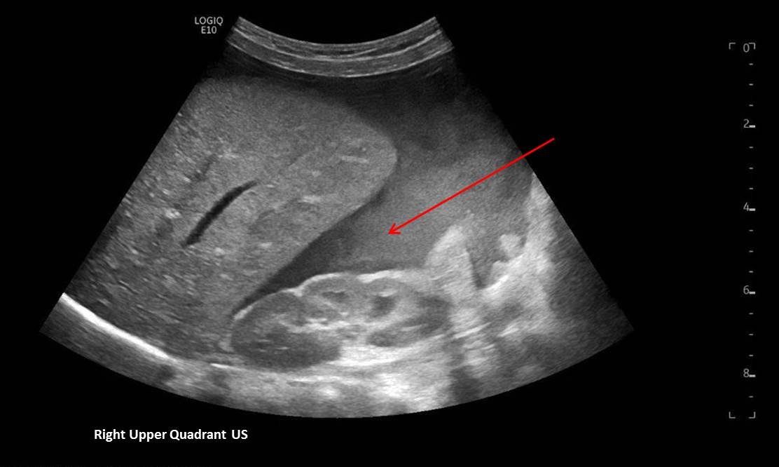
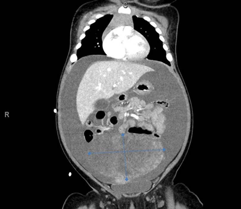
A 5-month-old female presented to the emergency department with worsening abdominal distention and postprandial emesis. Point-of-care ultrasound (POCUS) demonstrated extensive abdominal free fluid with a large, heterogeneous mass in the suprapubic region. This was confirmed on computed tomography (CT) of the abdomen and pelvis. The patient was urgently taken to the operating room for exploratory laparotomy where a ruptured tumor was discovered. The patient was eventually diagnosed with ovarian juvenile granulosa cell tumor. POCUS can be vital in guiding the recognition of rare pediatric conditions in the emergency department and should be considered in patients where there is concern for an acute abdomen.
Topics:
Abdominal pain, ascites, ovarian juvenile granulosa cell tumor, point-of-care ultrasound.










