A Case Report of Aortic Dissection Involving the Aortic Root, Left Common Carotid Artery, and Iliac Arteries
ABSTRACT:
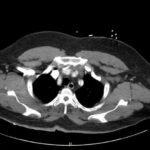
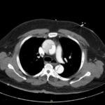
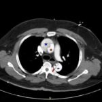
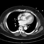
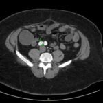
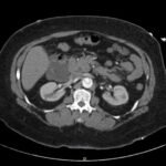
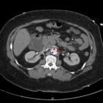
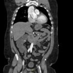
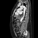
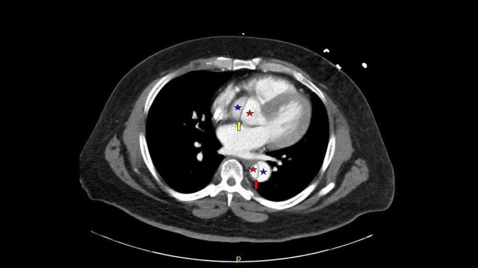
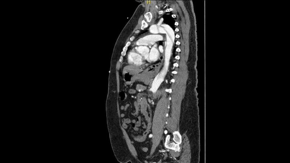
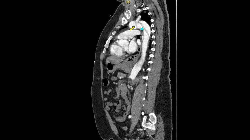
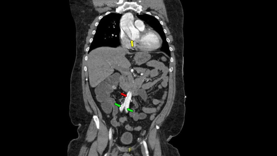
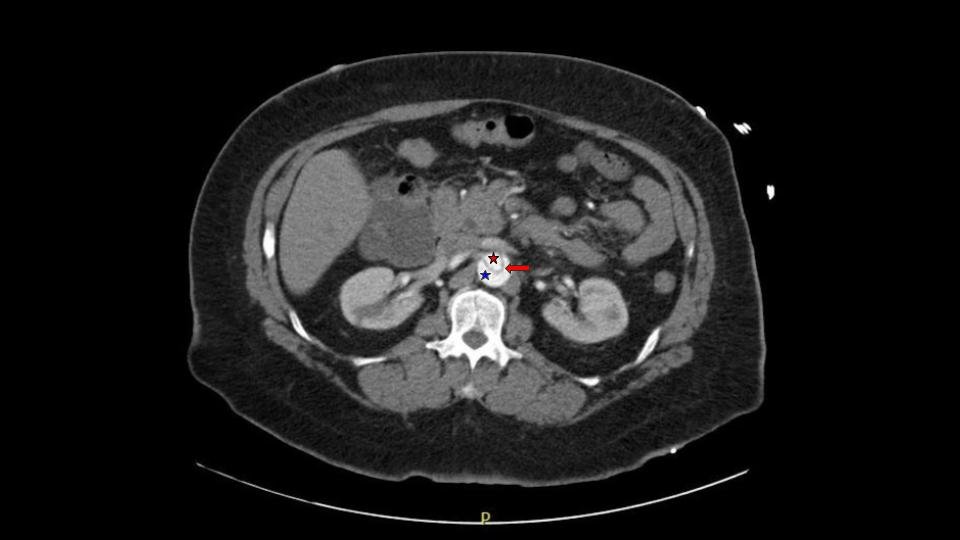
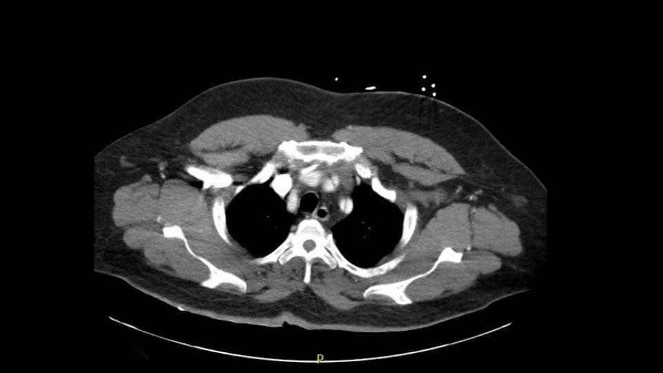
Acute aortic dissection is a life-threatening event caused by separation of the aortic layers that requires prompt management and surgical consultation. We present the case of a 53-year-old male who developed acute, severe chest pain radiating to his back at a community hospital and was transferred to a tertiary center for definitive surgical management. The patient’s aortic dissection was diagnosed via computed tomography angiography. He was started on rate-control and blood pressure medications, and was admitted emergently to the operating room. Emergency physicians should obtain immediate surgical consultation, promptly start medications for rate and blood pressure control, and administer analgesia in order to stabilize their patient and decrease the shear forces that would further propagate an aortic dissection.
Topics:
Aortic dissection, cardiothoracic surgery, vascular surgery, hypertensive emergency, aorta.
















