Open Book Pelvic Fracture
History of present illness:
A 31-year-old male was brought in by paramedics status post high-speed motorcycle collision. The patient was tachycardic and hypotensive with an initial Glascow coma scale (GCS) of 11. He required immediate blood transfusion and intubation. The patient had multiple traumatic injuries including a deformity to the left thigh and an unstable pelvis. He had palpable distal pulses, and grossly normal sensation and motor function to his bilateral lower extremities.
Significant findings:
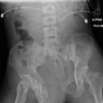
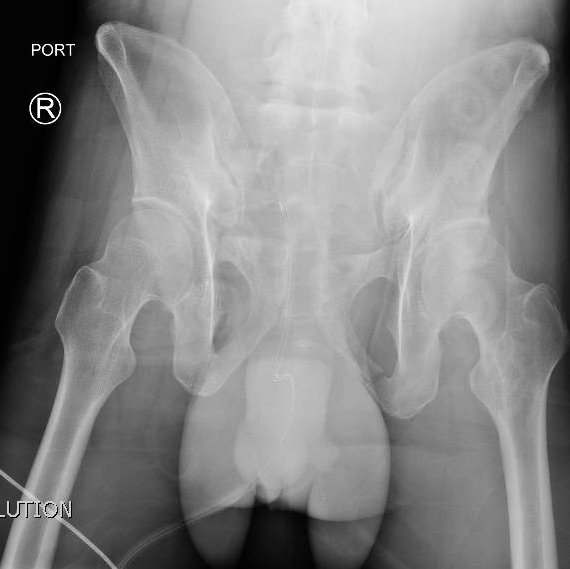
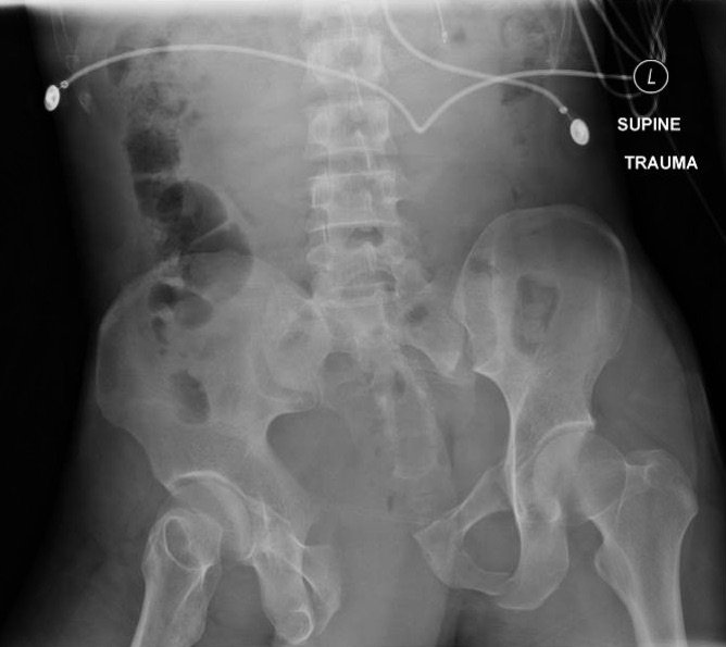
The initial radiograph of the pelvis shows an open-book pelvic fracture deformity with pubic symphyseal dislocation, left greater than right sacroiliac diastases, and fractures of the left superior and inferior pubic rami, right inferior pubic ramus, and left acetabular anterior column. The additional inlet and outlet radiographs of the pelvis after application of a pelvic binder also show an open book fracture with significant improvement of the widened pubic symphysis.
Discussion:
Severe pelvic injuries, including open book dislocations, have a high mortality rate of 10.4%.1,2 The mechanism is commonly a motor vehicle collision or fall from a significant height.3 Open book dislocations of the pubic symphysis are rare, representing 0.3–8.2% of all fractures,4,5 and can lead to fatal complications through vascular, abdominal, and nervous injuries.6 In severe pelvic traumas, pelvic binders must be applied as soon as possible to reduce bleeding by realigning fracture surfaces and provide stabilization of unstable fractures.7,8 Open book dislocation can be identified via plain anteroposterior pelvis radiographs.9 Definitive treatment of open book dislocations are highly individualized and come secondary to controlling hemorrhagic bleeding. The most common method is open reduction and internal fixation (ORIF) although in some cases, external fixation can be sufficient to stabilize the pelvis.10 Our patient was admitted for multiple traumatic injuries and underwent closed reduction and percutaneous fixation of posterior pelvic ring, including bilateral sacroiliac joints, and ORIF of the pubic symphysis.
Topics:
Open book pelvis, pelvic fracture, unstable pelvis, pubic symphyseal dislocation, radiograph, trauma.
References:
- Sharpe JP, Magnotti LJ, Gobbell WC, Huang X, Perez EA, Fabian TC, et al. Impact of early operative pelvic fixation on long-term self-reported outcome following severe pelvic fracture. J Trauma Acute Care Surg. 2007;82(3):444-450. doi: 10.1097/TA.0000000000001346
- Rommens PM, Gercek E, Hansen M, Hessmann MH. Mortality, morbidity and functional outcome after open book and lateral compression lesions of the pelvic ring. A retrospective analysis of 100 type B pelvic ring lesions according to Tile’s classification. Unfallchirurg. 2003;106(7):542-549. doi: 10.1007/s00113-003-0619-4
- Bonner TJ, Eardley WG, Newell N, Masouros S, Matthews JJ, Gibb I, et al. Accurate placement of a pelvic binder improves reduction of unstable fractures of the pelvic ring. J Bone Joint Surg Br. 2011;93(11):1524-1528. doi: 10.1302/0301-620X.93B11.27023
- Gänsslen A, Pohlemann T, Paul C, Lobenhoffer P, Tscherne H. Epidemiology of pelvic ring injuries. Injury. 1996;27(1):S-A13-20. doi: 10.1016/S0020-1383(96)90106-0
- Van Loon P, Kuhn S, Hofmann A, Hessmann MH, Rommens PM. Radiological analysis, operative management and functional outcome of open book pelvic lesions: A 13-year cohort study. Injury. 2011;42(10):1012-1019. doi: 10.1016/j.injury.2010.11.057
- Ghezala HB, Feriani N. A historic “open book fracture.” Pan African Medical J. 2016;24:9.
- Bottlang M, Simpson T, Sigg J, Krieg JC, Madey SM, Long WB. Noninvasive reduction of open-book pelvicfractures by circumferential compression. J Orthop Trauma. 2002;16(6):367-373.
- Croce MA, Magnotti LJ, Savage SA, Wood GW, Fabian TC. Emergent pelvic fixation in patients with exsanguinating pelvic fractures. J Am Coll Surg. 2007;204(5):935-939; discussion 940-942. doi: 10.1016/j.jamcollsurg.2007.01.059
- Qureshi A, McGee A, Cooper JP, Porter KM. Reduction of the posterior pelvic ring by non-invasive stabilization: a report of two cases. Emerg Med J. 2005;22(12):885-886. doi: 10.1136/emj.2004.015891
- Stahel PF, Mauffrey C, Smith R, McKean J, Hao J, Burlew CC, Moore EE. External fixation for acute pelvic ring injuries: Decision making and technical options. J Trauma Acute Care Surg. 2013;75(5):882-887. doi: 10.1097/TA.0b013e3182a9005f





