JETem
  • Home
  • About
    • Aim and Scope
    • Our Team
    • Editorial Board
    • FAQ
  • Issues
    • Current Issue
    • Ahead of Print
    • Past Issues
  • Visual EM
    • Latest Visual EM
    • Search Visual EM
    • Thumbnail Library
  • For Authors
    • Instructions for Authors
    • Submit to JETem
    • Photo Consent
    • Policies
      • Peer Review Policy
      • Copyright Policy
      • Editorial Policy, Ethics and Responsibilities
      • Conflicts of Interest & Informed Consent
      • Open Access Policy
  • For Reviewers
    • Instructions for JETem Reviewers
    • Interested in Being a JETem Reviewer?
  • Topic
    • Abdominal/Gastroenterology
    • Administration
    • Board Review
    • Cardiology/Vascular
    • Certifying Exam Cases
      • Clinical Decision-Making
      • Prioritization
      • Communication
      • Procedure & Ultrasound
    • Clinical Informatics, Telehealth and Technology
    • Dermatology
    • EMS
    • Endocrine
    • ENT
    • Faculty Development
    • Genitourinary
    • Geriatrics
    • Hematology/Oncology
    • Infectious Disease
    • Miscellaneous (stats, etc)
    • Neurology
    • Ob/Gyn
    • Ophthalmology
    • Orthopedics
    • Pediatrics
    • Pharmacology
    • Procedures
    • Psychiatry
    • Renal/Electrolytes
    • Respiratory
    • Social Determinants of Health
    • Toxicology
    • Trauma
    • Ultrasound
    • Urology
    • Wellness
    • Wilderness
  • Modality
    • Certifying Exam Practice Cases
      • Clinical Care Cases
      • Communication & Procedural Cases
      • Old School Oral Board Cases
    • Curricula
    • Innovations
    • Lectures
    • Podcasts
    • Simulation
    • Small Group Learning
    • Team Based Learning (TBL)
    • Visual EM
  • Contact Us

Bilateral Hip Dislocation in Unrestrained Driver

Samer Assaf, MD* and Ghadi Ghanem*

*University of California, Irvine, Department of Emergency Medicine, Orange, CA

Correspondence should be addressed to Samer Assaf, MD at sassaf86@gmail.com

DOI: https://doi.org/10.21980/J8HD0C Issue 2:4
OrthopedicsVisual EM
[mrp_rating_result]
Creative Commons images
Creative Commons images
Creative Commons images
Creative Commons images

History of present illness:

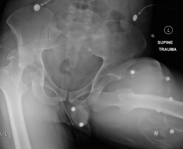
A 24-year-old male was brought in by paramedics status post motor vehicle collision into an electric pole and tree at high speed. The patient was an unrestrained driver who required extrication. The patient complained of left hip pain, left foot pain, and difficulty extending his bilateral lower extremities. He denied numbness or tingling to his lower extremities. The patient had normal vitals; his bilateral lower extremities were held in flexion at the hips, but otherwise had no obvious injuries. The patient’s pelvis was stable with palpable distal pulses and intact motor and sensory function of his distal lower extremities.

Significant findings:

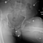
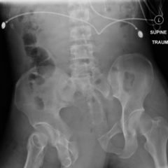
The initial radiograph of the pelvis revealed bilateral hip dislocations. Small bony fragments were noted in the right hip joint, suggestive of an underlying fracture. The sacroiliac joints and the pelvic ring were intact. In the emergency department, bilateral hip reductions were performed using the Captain Morgan technique.1 The post-reduction film showed reduction of the bilateral hip dislocations with extensive comminuted and displaced fractures of the right and left acetabula.

Discussion:

Bilateral hip dislocations are extremely rare, occurring in only 1% of all hip dislocations,2 and require immense force, typically occurring in MVCs (74%).3-7 Associated injuries include fracture of the acetabulum or femoral head, sciatic nerve damage, and obstruction of the blood supply to the femoral head.8 X-ray imaging and CT scans are used to assess the injury and to detect intra-articular fragments.3 Definitive treatment is achieved by closed reduction if possible; otherwise open reduction is utilized.9 Post-reduction therapy includes a non-weight-bearing period of time. Complications include avascular necrosis of the femoral head, osteonecrosis, and posttraumatic arthritis, the occurrence of which can be decreased by early reduction.4,10-12 This patient underwent bilateral closed hip reductions in the ER in conjunction with orthopedic surgery and underwent operative management of his pelvic fractures at a later date.

Topics:

Posterior hip dislocation, dislocation reduction, pelvis, radiograph, trauma.

References:

  1. Hendey W, Avila A. The Captain Morgan technique for the reduction of the dislocated hip. Ann Emerg Med, 2011;58(6):536-540. doi: 10.1016/j.annemergmed.2011.07.010
  2. Janzen L, Munk L, Connell G, et al. Bilateral traumatic posterior hip dislocation: CT findings. Australas Radiol, 1995;35(3):264-265.
  3. Cobar A, Cahueque M, Bregni M, Altamirano M. An unusual case of traumatic bilateral hip dislocation without fracture. J Surg Case Rep. 2017(5):rjw180. doi: 10.1093/jscr/rjw180
  4. Buckwalter J, Westerlind B, Karam M. Asymmetric bilateral hip dislocations: a case report and historical review of the literature. Iowa Ortho J. 2015;35:70-91.
  5. Pietrafesa CA, Hoffman JR. Traumatic dislocation of the hip. JAMA. 1983;249(24):3342-3346. doi: 10.1001/jama.1983.03330480048029
  6. Sneath RJ, Morgan NP. Bilateral traumatic anterior dislocation of the hip joint. J Accid Emerg Med. 1997;14(6):391.
  7. Lima LC, Nascimento RA, de Almeida VMT, et al. Epidemiology of traumatic hip dislocation in patients treated in Ceará, Brazil. Acta Ortopedica Brasileira. 2014;22(3):151-154. doi: 10.1590/1413-78522014220300883
  8. Sanders S, Tejwani N, Egol KA. Traumatic hip dislocation – a review. Bull NYU Hosp Jt Dis. 2010;68(2):91-96.
  9. Lo B. Asymmetrical bilateral hip dislocation. West J Emerg Med. 2013;14(5):452. doi: 10.5811/westjem.2013.2.15968
  10. Hougaard K, Thomsen PB. Coxarthrosis following traumatic posterior dislocation of the hip. J Bone Joint Surg Am. 1987;69:679-683.
  11. Sahin, V, Karakaş, ES, Aksu S, Atihan D, Turk CY, Halici M. Traumatic dislocation and fracture-dislocation of the hip: a long-term follow-up study. J Trauma. 2003;54(3):520-529. doi: 10.1097/01.TA.0000020394.32496.52
  12. Abdulfattah Abdullah AS, Abdelhady A, Alhammoud A. Bilateral asymmetrical hip dislocation with one side obturator intra-pelvic dislocation. Int J Surg Case Rep. 2017;33:27-30. doi: 10.1016/j.ijscr.2017.02.012
Icon

Bilateral Posterior Hip Dislocation in an Unrestrained Driver - Case Report

1 file(s) 574 KB
Download
Icon

Bilateral Posterior Hip Dislocation in an Unrestrained Driver - Images

1 file(s) 649 KB
Download
Issue 2:4X-Ray

Reviews:

[mrp_rating_entry_details_list layout="inline" show_rating_items="false"][mrp_rating_form]
Creative Commons images

Open Book Pelvic Fracture

11 Oct, 17
Creative Commons images

Bedside Ultrasound for the Diagnosis of...

11 Oct, 17

JETem is an online, open access, peer-reviewed, journal-repository for EM educators. We are PMC Indexed.

Most Viewed

  • Enhancing Emergency Medicine Resident Education: A Weekly Education Series to Augment Electrocardiogram Education
  • Development and Design of a Pediatric Case-Based Virtual Escape Room on Acute Iron Toxicity
  • Pre-Clinical Case Competition to Assess Confidence in Responding to Select Out-Of-Hospital Medical Emergencies
  • Pediatric Difficult Airway Simulation Day
  • Cards Against Pulmonology

Visit Our Collaborators

 

 

Creative Commons Licence
This work is licensed under a Creative Commons Attribution 4.0 International License.

About

Education

Learners should benefit from active learning. JETem accepts submissions of team-based learning, small group learning, simulation, podcasts, lectures, innovations, curricula, question sets, and visualEM.

Scholarship

We believe educators should advance through the scholarship of their educational work. JETem gives educators the opportunity to publish scholarly academic work so that it may be widely distributed, thereby increasing the significance of their results.

Links

  • Home
  • Aim and Scope
  • Current Issue
  • For Reviewers
  • Instructions for Authors
  • Contact Us

Newsletter

Sign up to receive updates from JETem regarding newly published issues and findings.

Copyright Creative Commons Attribution 4.0 International