A Case of Community-Acquired Tuberculosis in an Infant Presenting with Pneumonia Refractory to Antibiotic Therapy
ABSTRACT:
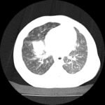
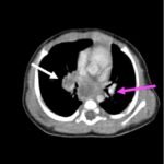
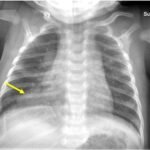
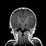
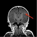
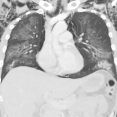
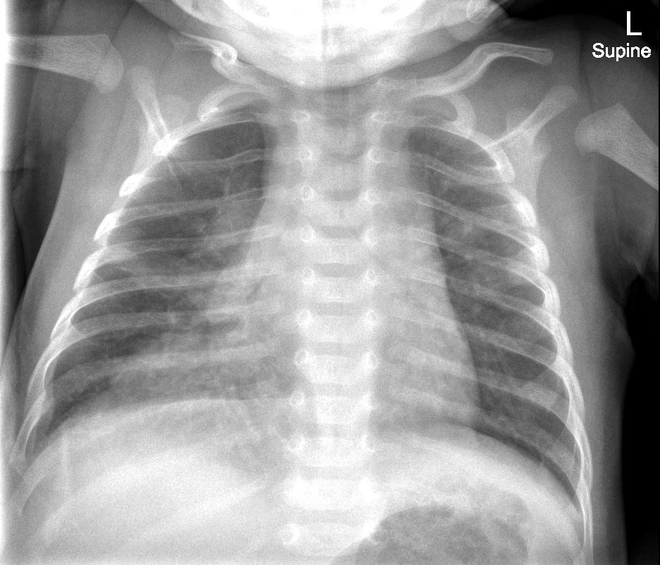
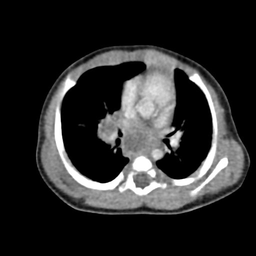
Infant tuberculosis (TB) is a rare but potentially deadly infection and difficult to diagnose, especially in infants who may present with non-specific symptoms. Here, we report a case of an United States-born term infant with community-acquired miliary TB and no confirmed TB exposure history. The patient initially presented with respiratory distress at seven weeks of life with chest radiograph showing a right lower lobe (RLL) infiltrate. After failing multiple courses of treatment for community-acquired pneumonia and developing growth faltering, the patient had imaging findings suggestive of TB infection with CNS involvement. The diagnosis of TB was confirmed by QuantiFERON and purified protein derivative (PPD). In infants who fail conventional treatment for bacterial pneumonia, the differential should be broadened to consider alternative etiologies. Additionally, brain imaging should be performed in cases of disseminated TB despite negative cerebrospinal fluid (CSF) studies since these patients are at high risk of central nervous system (CNS) involvement.
Topics:
Tuberculosis, pneumonia, pediatrics, growth faltering.















