Electronic Cigarette or Vaping-Associated Lung Injury Case Report
ABSTRACT:
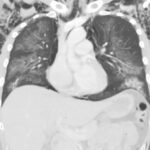
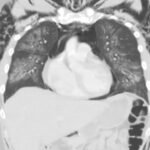
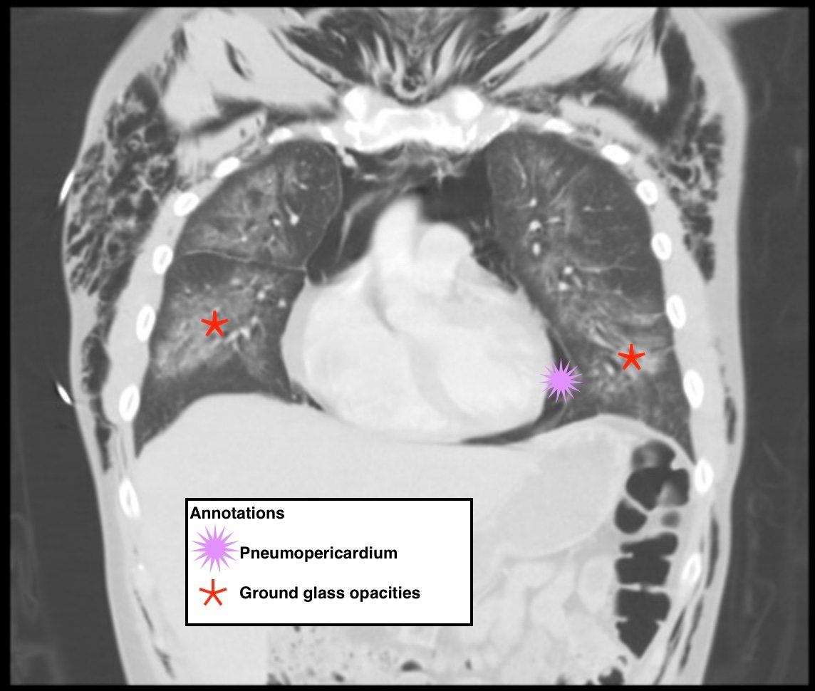
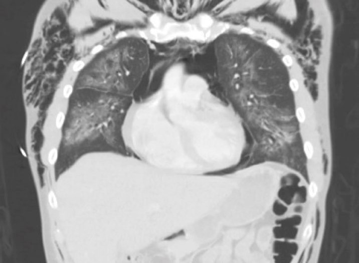
Electronic cigarette (e-cigarette) or vaping associated lung injury (EVALI) cases have increased with the popularity of e-cigarettes in the mostly young, healthy population. Some common symptoms associated with EVALI include shortness of breath and chest pain, and the most common diagnostic imaging findings are organizing pneumonia and diffuse alveolar damage seen on computed tomography (CT). Pneumomediastinum is a known sequela of EVALI.1 In the setting of pneumomediastinum in EVALI, EVALI is a diagnosis of exclusion, so other sources of pneumomediastinum need to be evaluated. EVALI has diverse presentations, and this case is a unique representation of a disease process that is becoming more commonplace with the increase in popularity of vaping. It is important to be aware of the clinical symptoms of EVALI, which can be nonspecific and can include gastrointestinal symptoms along with respiratory symptoms. It is equally important to recognize the diverse image findings of EVALI, which can include subcutaneous emphysema and pneumomediastinum. In this case, pneumomediastinum is seen in EVALI, and the patient was successfully treated with empiric antibiotic coverage, steroids, and conservative measures—making sure to limit any coughing or increases in intrathoracic pressure that can cause worsening of pneumomediastinum.
Topics:
EVALI, vaping, pneumomediastinum, E-cigarette, ground-glass opacity.






