Ventriculoperitoneal Shunt Migration
History of present illness:
A 40-year-old female presented to our emergency department (ED) with left upper abdominal pain and flank pain. The pain had begun suddenly two hours prior when she was reaching into a freezer to get a bag of frozen vegetables. She described the pain as sharp, constant, severe, and worse with movements and breathing. The pain radiated to the left shoulder. On review of systems, the patient had mild dyspnea and nausea. She denied fever, chills, headache, vision changes, vomiting, or urinary symptoms. Her medical history was notable for obstructive sleep apnea, gastroesophageal reflux disease, arthritis, fibromyalgia, depression, obesity, and idiopathic intracranial hypertension. For the latter, she had a VP (ventriculoperitoneal) shunt placed 14 years prior to this visit. She had a history of two shunt revisions, the most recent 30 days before this ED visit.
Significant findings:
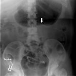
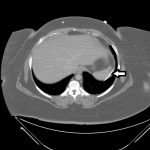
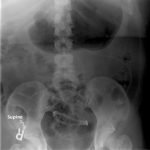
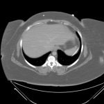
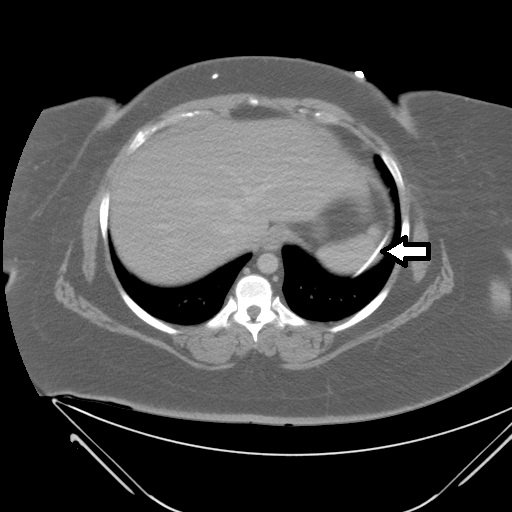
An immediate post-op abdominal x-ray performed after the patient’s VP shunt revision 30 days prior to this ED visit reveals the VP shunt tip in the mid abdomen. A CT of the abdomen performed on the day of the ED visit reveals the VP shunt tip interposed between the spleen and the diaphragm.
Discussion:
VP shunts have been reported to migrate to varied locations in the thorax and abdomen. Incidence of abdominal complications of VP shunt placement ranges from 10%-30%, and can include pseudocyst formation, migration, peritonitis, cerebral spinal fluid ascites, infection, and viscus perforation. Incidence of distal shunt migration is reported as 10%, and most previously reported cases occurred in pediatric patients.1 A recent retrospective review cited BMI greater than thirty and previous shunt procedure as risk factors for distal shunt migration.2 The patient in the case presented had a BMI of 59 and 3 previous shunt procedures.
Topics:
Ventriculoperitoneal shunt, VP shunt, migration.
References:
- Kanojia R, Sinha S, Rawat J, Wakhlu A, Kureel S, Tandon R. Unusual ventriculoperitoneal shunt extrusion: experience with 5 cases and review of the literature.Pediatr Neurosurg. 2008;44:49-51.
- Abode-Iyamah KO, Khanna R, Rasmussen ZD, Flouty O, Dahdaleh NS, Greenlee J, et al. Risk factors associated with distal catheter migration following ventriculoperitoneal shunt placement. J Clin Neurosci.2016;25:46-49. doi: 10.1016/j.jocn.2015.07.022






