JETem
  • Home
  • About
    • Aim and Scope
    • Our Team
    • Editorial Board
    • FAQ
  • Issues
    • Current Issue
    • Ahead of Print
    • Past Issues
  • Visual EM
    • Latest Visual EM
    • Search Visual EM
    • Thumbnail Library
  • For Authors
    • Instructions for Authors
    • Submit to JETem
    • Photo Consent
    • Policies
      • Peer Review Policy
      • Copyright Policy
      • Editorial Policy, Ethics and Responsibilities
      • Conflicts of Interest & Informed Consent
      • Open Access Policy
  • For Reviewers
    • Instructions for JETem Reviewers
    • Interested in Being a JETem Reviewer?
  • Topic
    • Abdominal/Gastroenterology
    • Administration
    • Board Review
    • Cardiology/Vascular
    • Certifying Exam Cases
      • Clinical Decision-Making
      • Prioritization
      • Communication
      • Procedure & Ultrasound
    • Clinical Informatics, Telehealth and Technology
    • Dermatology
    • EMS
    • Endocrine
    • ENT
    • Faculty Development
    • Genitourinary
    • Geriatrics
    • Hematology/Oncology
    • Infectious Disease
    • Miscellaneous (stats, etc)
    • Neurology
    • Ob/Gyn
    • Ophthalmology
    • Orthopedics
    • Pediatrics
    • Pharmacology
    • Procedures
    • Psychiatry
    • Renal/Electrolytes
    • Respiratory
    • Social Determinants of Health
    • Toxicology
    • Trauma
    • Ultrasound
    • Urology
    • Wellness
    • Wilderness
  • Modality
    • Certifying Exam Practice Cases
      • Clinical Care Cases
      • Communication & Procedural Cases
      • Old School Oral Board Cases
    • Curricula
    • Innovations
    • Lectures
    • Podcasts
    • Simulation
    • Small Group Learning
    • Team Based Learning (TBL)
    • Visual EM
  • Contact Us

Bedside Ultrasound for the Diagnosis of Small Bowel Obstruction

Alexander Anshus, BS* and Maili Alvarado, MD^

*University of California, Irvine, Department of Emergency Medicine, Orange, CA
^University of Arizona, University Medical Center Tucson, Department of Emergency Medicine, Tucson, AZ

Correspondence should be addressed to Maili Alvardo, MD at maili.alvarado@gmail.com

DOI: https://doi.org/10.21980/J86W6PIssue 2:4
Abdominal/GastroenterologyVisual EM
[mrp_rating_result]

History of present illness:

An elderly female with no history of prior abdominal surgeries presented to the emergency department (ED) with acute onset of abdominal pain and distention.  Upon arrival, she began having large volume bilious emesis. While waiting for a computed tomography (CT) scan of her abdomen and pelvis, a point of care ultrasound (POCUS) was performed which showed evidence of a small bowel obstruction (SBO). The patient had a nasogastric tube placed that put out over two liters of bilious contents. A subsequent CT scan confirmed the diagnosis of SBO from a left inguinal hernia and the patient was admitted to the surgical service. 

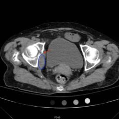
Significant findings:

The POCUS utilizing the low frequency curvilinear probe demonstrates fluid-filled, dilated bowel loops greater than 2.5cm with to-and-fro peristalsis, and thickened bowel walls greater than 3mm, concerning for SBO.

Discussion:

Gastrointestinal obstruction is a common diagnosis in the ED, accounting for approximately 15% of all ED visits for acute abdominal pain.1 SBO accounts for approximately 80% of all obstructions.2 In the diagnosis of SBO, studies show that abdominal x-rays have a sensitivity of 66-77% and specificity of 50-57%,3 CT scans have a sensitivity of 92% and specificity of 93%,4 and ultrasound has a sensitivity of 88% and specificity of 96%.5

While CT scan remains a widely accepted modality for diagnosing SBO, ultrasound is more cost effective, well tolerated, does not involve ionizing radiation, and can be done in a timely manner at the patient’s bedside. Ultrasound can also identify transition points as well as distinguish between functional and mechanical obstruction.6 In addition to SBO, ultrasound can be used to diagnose external hernias, intussusception, tumors, superior mesenteric artery (SMA) syndrome, foreign bodies, bezoars, and ascariasis.7  

Topics:

Small bowel obstruction, ultrasound, point of care ultrasound, POCUS.

References:

  1. Irvin TT. Abdominal pain: a surgical audit of 1190 emergency admissions. Br J Surg. 1989;76(11):1121-1125. doi: 10.1002/bjs.1800761105
  2. Markogiannakis H, Messaris E, Dardamanis D, et al. Acute mechanical bowel obstruction: clinical presentation, etiology, management and outcome. World J Gastroenterol. 2007;13(3):432-437. doi: 10.3748/wjg.v13.i3.432
  3. Shrake PD, Rex DK, Lappas JC, Maglinte DD. Radiographic evaluation of suspected small bowel obstruction. Am J Gastroenterol. 1991;86(2):175-178.
  4. Mallo RD, Salem L, Lalani T, Flum DR. Computed tomography diagnosis of ischemia and complete obstruction in small bowel obstruction: A systematic review. J Gastrointest Surg. 2005;9(5):690-694. doi: 10.1016/j.gassur.2004.10.006
  5. Ogata M, Mateer JR, Condon RE. Prospective evaluation of abdominal sonography for the diagnosis of bowel obstruction. Ann Surg. 1996;223(3):237-241.
  6. Truong S, Arlt G, Pfingsten F, Schumpelick V. Importance of sonography in diagnosis of ileus. A retrospective study of 459 patients. Chirurg. 1992;63(8):634-640.
  7. Wale A and Pilcher J. Current role of ultrasound in small bowel imaging. Semin Ultrasound CT MR. 2016;37(4):301-312. doi: 10.1053/j.sult.2016.03.001
Icon

Bedside Ultrasound SBO - Case Report

1 file(s) 384 KB
Download
Icon

Bedside Ultrasound for SBO - Images

1 file(s) 3.78 MB
Download
Issue 2:4Ultrasound

Reviews:

[mrp_rating_entry_details_list layout="inline" show_rating_items="false"][mrp_rating_form]

Chancre of Primary Syphilis

11 Oct, 17
Creative Commons images

Acetabular Fracture

11 Oct, 17

JETem is an online, open access, peer-reviewed, journal-repository for EM educators. We are PMC Indexed.

Most Viewed

  • Enhancing Emergency Medicine Resident Education: A Weekly Education Series to Augment Electrocardiogram Education
  • Development and Design of a Pediatric Case-Based Virtual Escape Room on Acute Iron Toxicity
  • Pre-Clinical Case Competition to Assess Confidence in Responding to Select Out-Of-Hospital Medical Emergencies
  • Pediatric Difficult Airway Simulation Day
  • Cards Against Pulmonology

Visit Our Collaborators

 

 

Creative Commons Licence
This work is licensed under a Creative Commons Attribution 4.0 International License.

About

Education

Learners should benefit from active learning. JETem accepts submissions of team-based learning, small group learning, simulation, podcasts, lectures, innovations, curricula, question sets, and visualEM.

Scholarship

We believe educators should advance through the scholarship of their educational work. JETem gives educators the opportunity to publish scholarly academic work so that it may be widely distributed, thereby increasing the significance of their results.

Links

  • Home
  • Aim and Scope
  • Current Issue
  • For Reviewers
  • Instructions for Authors
  • Contact Us

Newsletter

Sign up to receive updates from JETem regarding newly published issues and findings.

Copyright Creative Commons Attribution 4.0 International