Traumatic Diaphragmatic Rupture – A Case Report
ABSTRACT:
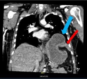
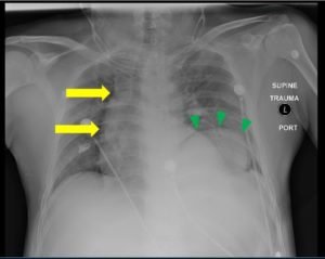
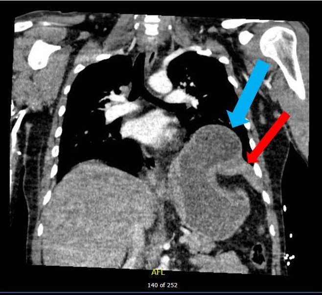
Although uncommon, traumatic diaphragmatic rupture (TDR) from blunt force injury is difficult to diagnose and can lead to serious complications if left untreated. Associated symptoms are often non-specific, which can make detection of the injury difficult. Here we present a case report of a patient who suffered a left-sided TDR after blunt trauma. Upon arrival at the emergency department, the patient denied pain but had tenderness to palpation over the epigastrium. A chest X-ray showed an elevated diaphragm on the left with mediastinal shift to the right, and a diagnosis of TDR with stomach herniation was confirmed by computed tomography (CT). The patient was admitted to surgery for reduction and repair and later discharged in good condition. This case report highlights the importance of suspecting TDR in high energy injury mechanisms presenting to the emergency department.
Topics:
Traumatic diaphragmatic hernia, trauma, blunt trauma.




