Ascending Thoracic Aortic Dissection: A Case Report of Rapid Detection Via Emergency Echocardiography with Suprasternal Notch Views
ABSTRACT:
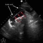
Aortic dissection is a life-threatening, time-sensitive emergency. Conventional diagnostic imaging modalities such as computed tomography (CT) can be time-consuming to obtain, and require that the patient leave the emergency department (ED); as such, they are unsuitable for unstable patients. Emergency focused transthoracic echocardiography (ETTE) is commonly performed in the ED as part of the evaluation of a patient presenting with chest pain, but the suprasternal notch view (SSNV) is much less well-known and infrequently included in this assessment.
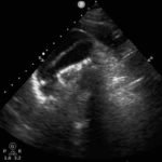
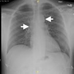
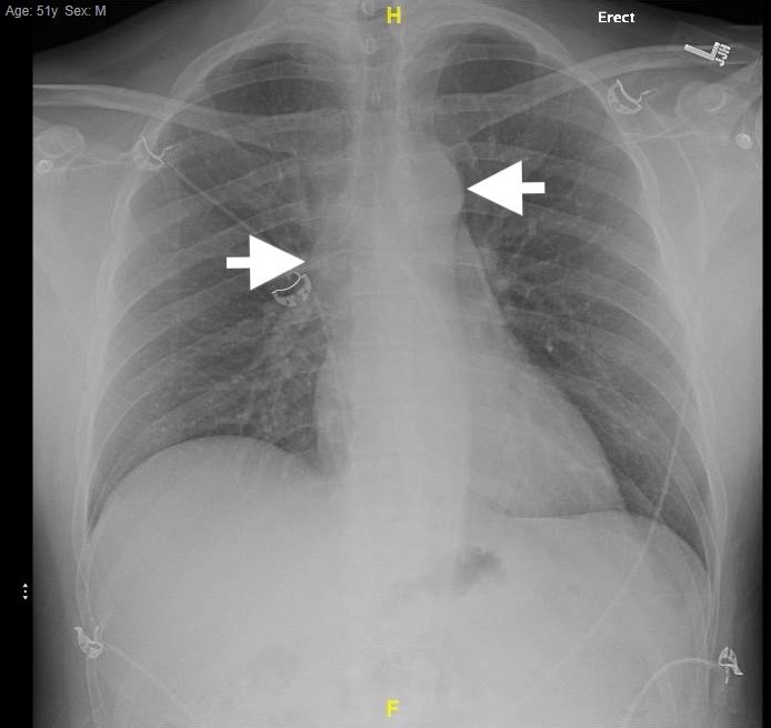
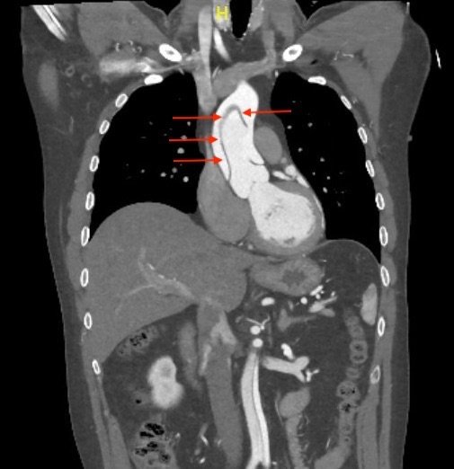
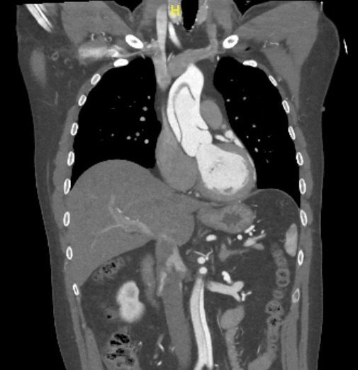
We present a case of a 51-year-old previously healthy man who presented to the ED complaining of chest pain that had resolved prior to arrival, and a mild headache. His vital signs were notable for hypotension, but physical exam was unremarkable. Chest x-ray revealed a borderline widened mediastinum. A standard ETTE was within normal limits, but additional SSNV demonstrated a dissection flap in the aortic arch. The patient was taken to the operating room for surgical repair 75 minutes after the ED ultrasound was performed; the operation was successful, and the patient was discharged to home post-operatively with good outcome.
Standard ETTE has limited ability to visualize the ascending aorta and aortic arch. Addition of SSNV allows visualization of these structures and may improve diagnostic accuracy and time to diagnosis of proximal aortic dissection.
Topics:
Aortic dissection, emergency echocardiography, point-of-care ultrasound, POCUS, emergency ultrasound, suprasternal notch view.








