Medial Subtalar Dislocation: A Case Report
ABSTRACT:
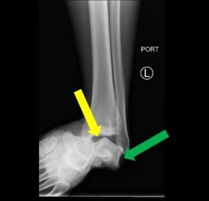
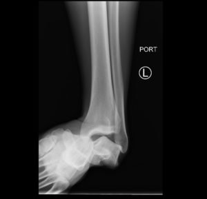
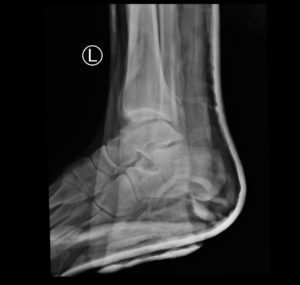
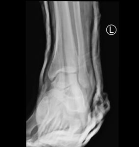
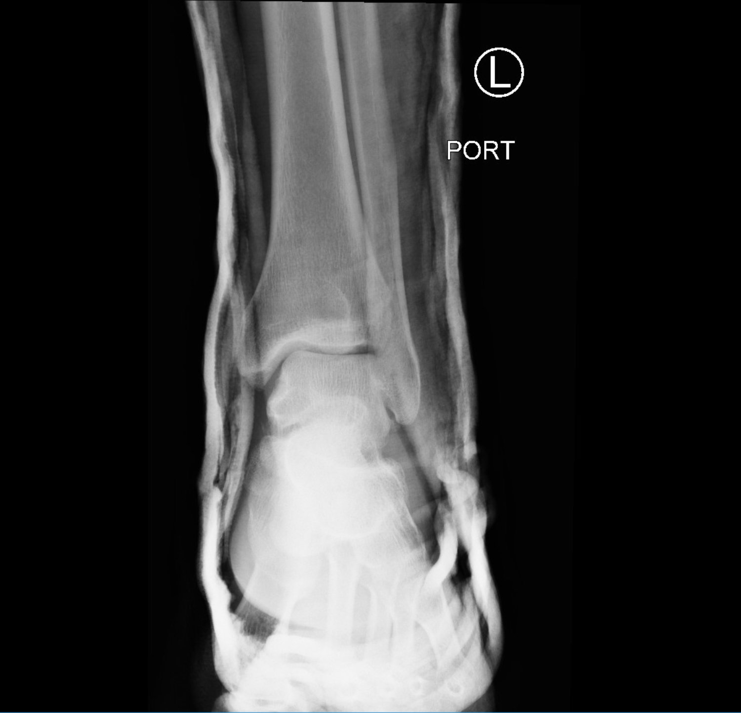
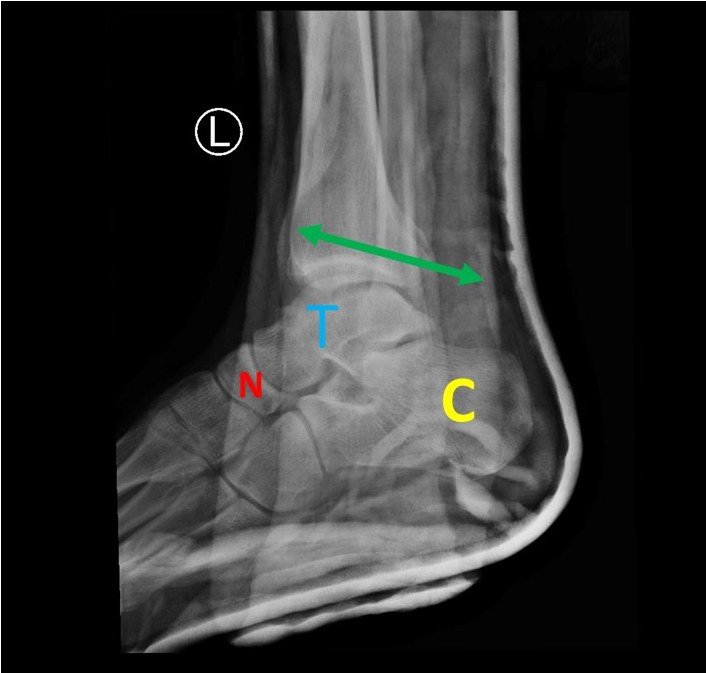
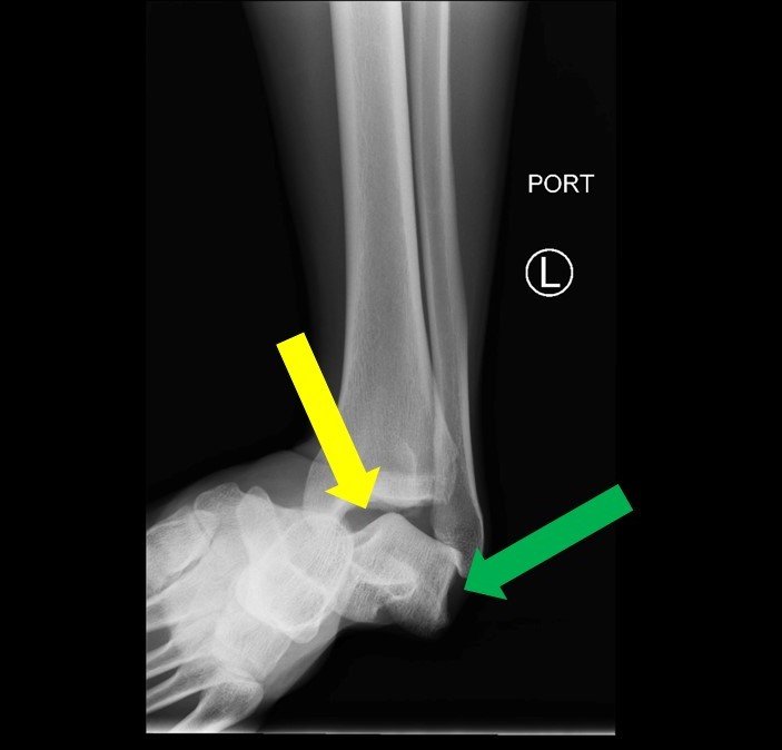
Subtalar dislocation is an unusual form of joint injury from high-energy trauma or athletic injuries. This case report describes a 22-year-old male who presented to the emergency department with left ankle pain after falling from his bicycle. Examination revealed significant deformity of the left foot and ankle. The foot pointed medially, and the bottom portions of the tibia and fibula were visible with the overlying skin intact. Radiographs confirmed left medial subtalar dislocation. There was no neurovascular compromise of the foot. The dislocation was successfully reduced under procedural sedation and the patient’s left leg was placed in a splint. He underwent post-reduction imaging and was instructed to remain non-weight-bearing and to follow up with orthopedics to discuss further management. The purpose of this report is to describe a case of a closed, medial subtalar dislocation and the approach to management.
Topics:
Subtalar dislocation, ankle dislocation, bicycle accident, x-ray.










