Stingray Envenomation
History of present illness:
A 49-year-old male presented with a chief complaint of left hand pain after a stingray sting. The patient reported that he was swimming in the ocean in Huntington Beach, California, approximately two hours prior to arrival when a stingray stung him on his left hand. The pain was severe, constant, worse with palpation and was associated with hand numbness.
Significant findings:
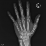
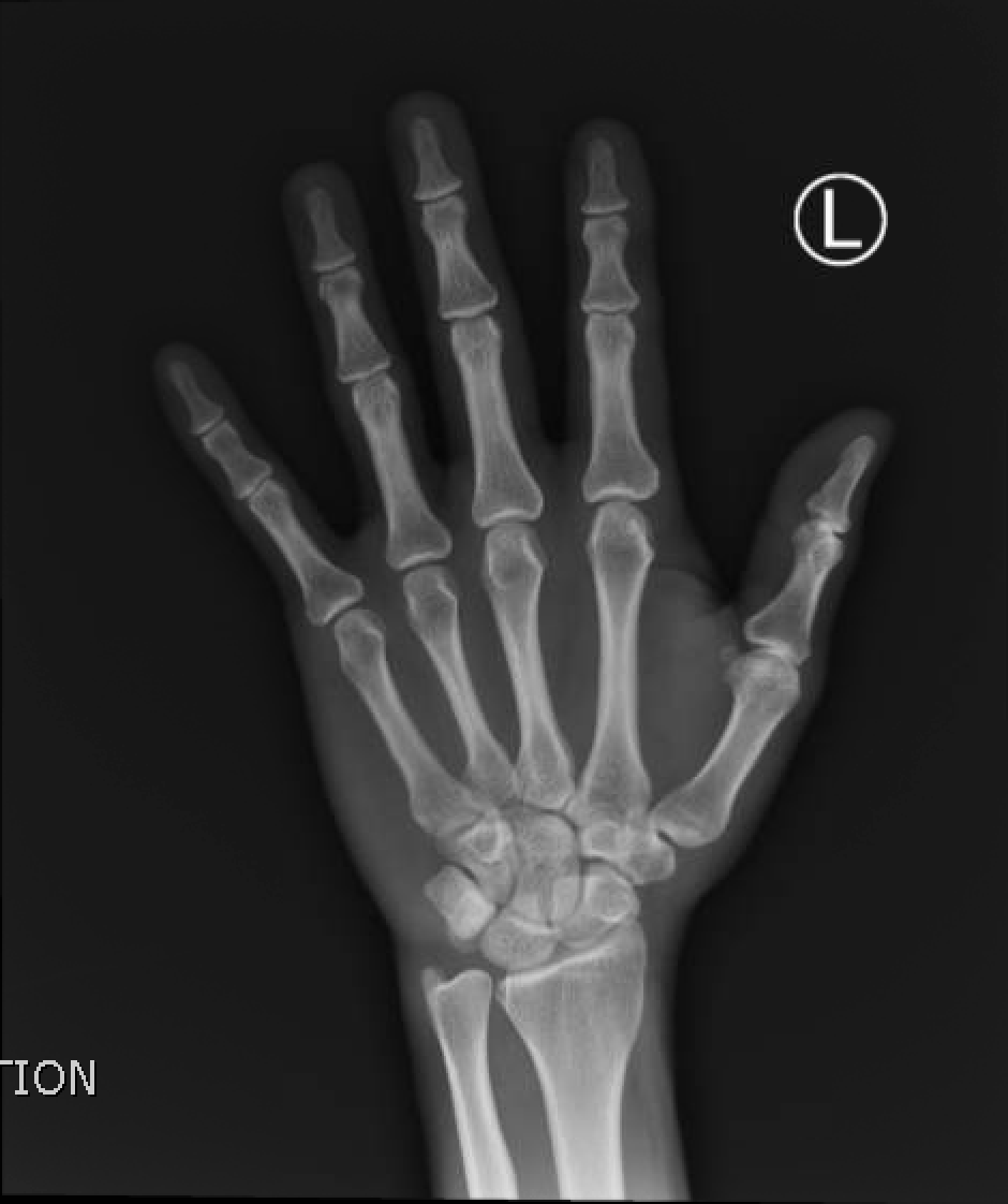
Physical exam revealed a 3cm laceration to the ulnar side of the dorsum of the left hand with minimal hand swelling. There was no exposed tendon or bone, the hand was neurovascularly intact and had full strength. A small barb was visualized and removed from the injury site. Radiograph of the left hand confirmed that there was no remaining barb (see normal x-ray).
Discussion:
Stingrays are bottom-dwelling fish with a flat body and a tail with barbed stingers with 2 venom-containing grooves. They are normally not aggressive towards humans; however, when frightened, they can reflexively sting in self-defense. Stingray stings account for thousands of injuries each year.1 These envenomations are very painful, yet are uncommonly associated with systemic symptoms. The puncture wounds often have retained foreign bodies from the spine, range from superficial to deep, and are frequently contaminated.1 Workup commonly includes imaging to evaluate for retained barbs. Treatment includes submerging the wound in hot water for 90 minutes, copious irrigation, removal of barbs if present, tetanus booster and commonly antibiotics to cover for skin flora/vibrio species.2 The venom contains amino acids and toxic fractions including phosphodiesterases, 5′-nucleotidases, and serotonin. Once deposited into the wound and exposed to heat, the venom deteriorates rapidly, as it is highly unstable and very heat labile.3 Prognosis is good, with rare complications including infection, and healing can be expected within 1-2 weeks.4
For this patient, the hand was soaked in hot water, which improved the patient’s pain. The wound was irrigated. The patient received a tetanus booster and was discharged home on Doxycycline and Keflex.
Topics:
Stingray envenomation, marine injuries, environmental exposures, hand injuries.
References:
- Devlin JJ, Knoop K. Trauma and envenomation from marine fauna. In: Tintinalli’s Emergency Medicine Manual. 8th New York, NY: McGraw-Hill; 2016:1383-1389.
- O’Malley GF, O’Malley RN, Pham O, Randolph F. Retained stingray barb and the importance of imaging. Wilderness Environ Med. 2015;26(3):375-379. doi: 10.1016/j.wem.2015.03.006
- Evans RJ, Davies RS. Stingray injury. J Accid Emerg Med. 1996;13(3):224-225.
- Clark RF, Girard RH, Rao D, Ly BT, Davis DP. Stingray envenomation: a retrospective review of clinical presentation and treatment in 119 cases. J Emerg Med. 2007;33(1):33-37. doi: 10.1016/j.jemermed.2007.03.043
- Perkins RA, Morgan SS. Poisoning, envenomation, and trauma from marine creatures. Am Fam Physician. 2004;69(4):885-890.





