Spontaneous Pneumothorax
History of present illness:
A 16-year-old male with asthma was brought to the emergency department by his parents for increasing right-sided chest pain associated with cough and mild dyspnea over the past week. Albuterol inhaler did not provide relief. He denied recent trauma, fever, sweats, and chills. The patient’s vitals and oxygen saturations were stable. Physical exam revealed a tall, slender body habitus with no signs of chest wall injuries. Bilateral breath sounds were present, but slightly diminished on the right. A chest radiograph was ordered to determine the etiology of the patient’s symptoms.
Significant findings:
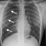
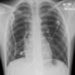
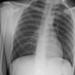
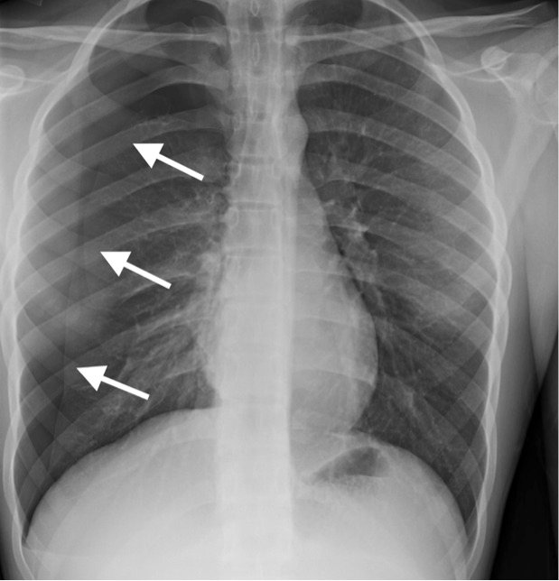
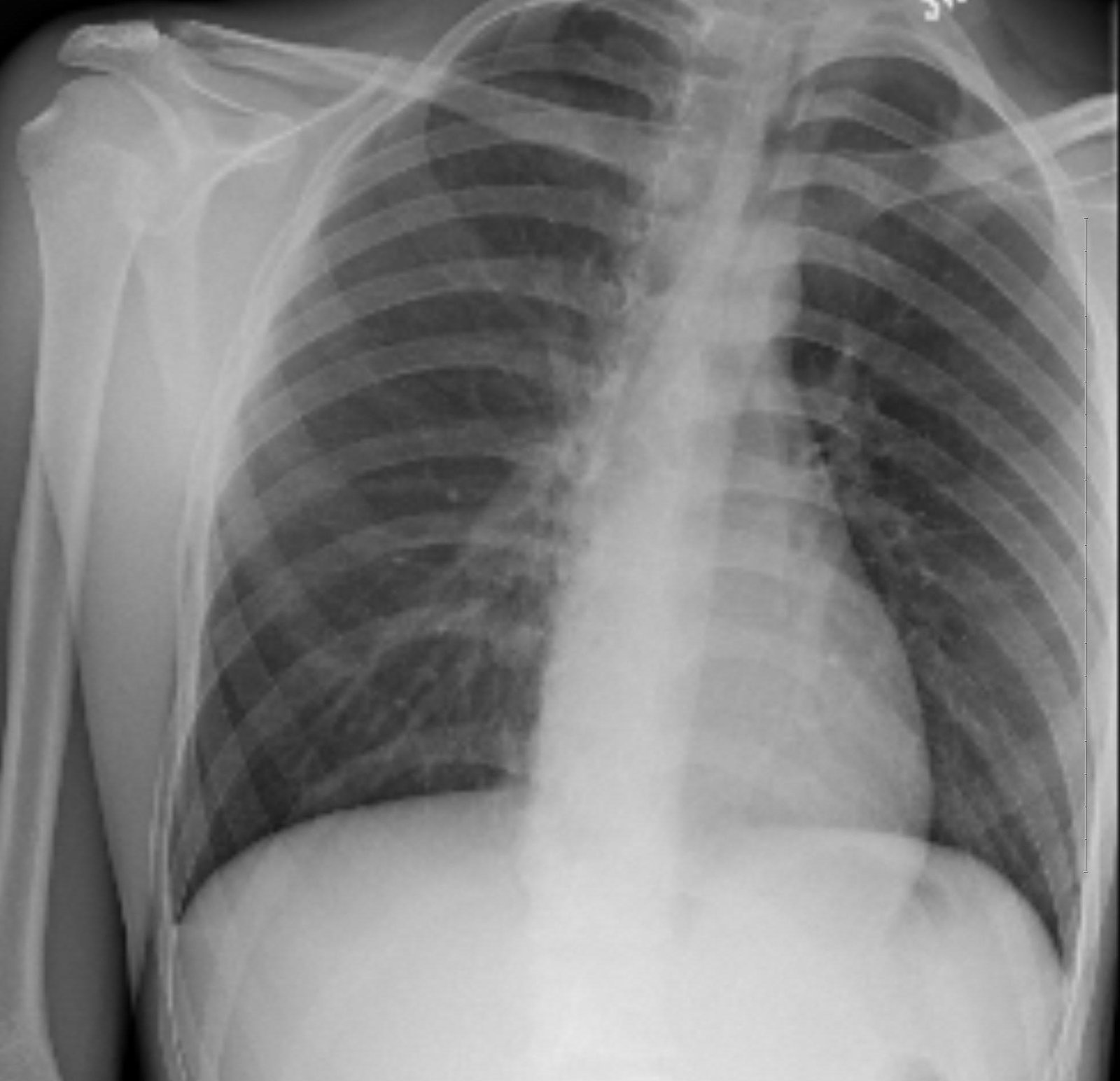
Initial chest radiograph showed a 50% right-sided pneumothorax with no mediastinal shift, which can be identified by the sharp line representing the pleural lung edge (see arrows) and lack of peripheral lung markings extending to the chest wall. While difficult to accurately estimate volume from a two-dimensional image, a 2 cm pneumothorax seen on chest radiograph correlates to approximately 50% volume.1 The patient underwent insertion of a pigtail pleural drain on the right and repeat chest radiograph showed resolution of previously seen pneumothorax. Ultimately the pigtail drain was removed and chest radiograph showed clear lung fields without evidence of residual pneumothorax or pleural effusion.
Discussion:
Pneumothorax is characterized by air between the lungs and the chest wall.2 Spontaneous pneumothorax (SP) occurs when the pneumothorax is not due to trauma or any discernable etiology. 3 SP is multifactorial and may be associated with subpleural blebs, bullae, and other connective tissue changes that predispose the lungs to leak air into the pleural space.4 SP can be further subdivided into primary (no history of underlying lung disease) or secondary (history of chronic obstructive pulmonary disease, tuberculosis, cystic fibrosis, lung malignancy, etc.).2 It is estimated that the incidence of SP among US pediatric patients is 4 per 100,000 males and 1.1 per 100,000 females per year.4 Risk factors for primary SP include male gender, tall and thin body habitus, and smoking.5 Considering this patient, asthma is a risk factor and morbidity and mortality can be increased when associated with SP; however, this is based primarily on case reports and further investigation is warranted.6
The diagnosis can be made clinically and confirmed with upright chest radiograph (sensitivity 50%, specificity 99%); however, studies suggest that ultrasound (sensitivity 91%, specificity 98%) may be superior in its ability to rule out SP.7 Patients with SP of any size and significant symptoms should undergo needle aspiration or chest drain placement, especially since tension pneumothorax is a potential complication of SP; however, some guidelines suggest that observation for small, primary SP without significant symptoms is acceptable.1,4 While there are recommendations to treat large pneumothoraces (>15% of the hemithorax) with a pigtail catheter (less than or equal to 14 French) or chest tube, there is some evidence that pigtail catheters perform just as well as large-bore chest tubes (20-28 French) in SP and may be associated with less pain.1,8 Even with proper management, patients should be counseled regarding the relatively high recurrence rate (16-52%).3
Topics:
Pneumothorax, thoracic, asthma, pleural drain, respiratory.
References:
- MacDuff A, Arnold A, Harvey J, Group BPDG. Management of spontaneous pneumothorax: British Thoracic Society Pleural Disease Guideline 2010. Thorax. 2010;65 Suppl 2:ii18-31. doi: 10.1136/thx.2010.136986
- Bintcliffe O, Maskell N. Spontaneous pneumothorax. BMJ. 2014;348:g2928.doi: 10.1136/bmj.g2928
- Sahn SA, Heffner JE. Spontaneous pneumothorax. N Engl J Med. 2000;342(12):868-874.doi: 10.1056/NEJM200003233421207
- Dotson K, Johnson LH. Pediatric spontaneous pneumothorax. Pediatr Emerg Care. 2012;28(7):715-720; quiz 721-713.doi: 10.1097/PEC.0b013e31825d2dd5
- Noh D, Lee S, Haam SJ, Paik HC, Lee DY. Recurrence of primary spontaneous pneumothorax in young adults and children. Interact Cardiovasc Thorac Surg. 2015;21(2):195-199.doi: 10.1093/icvts/ivv104
- Porpodis K, Zarogoulidis P, Spyratos D, Domvri K, Kiournis I, Angelis N, et al. Pneumothorax and asthma. J Thorac Dis. 2014;6 Suppl 1:S152-161.doi: 10.3978/j.issn.2072-1439.2014.03.05
- Raja AS, Jacobus CH. How accurate is ultrasonography for excluding pneumothorax? Ann Emerg Med. 2013;61(2):207-208.doi: 10.1016/j.annemergmed.2012.07.005
- Tsai WK, Chen W, Lee JC, Cheng WE, Chen CH, Hsu WH, et al. Pigtail catheters vs large-bore chest tubes for management of secondary spontaneous pneumothoraces in adults. Am J Emerg Med. 2006;24(7):795-800.doi: 10.1016/j.ajem.2006.04.006





