JETem
  • Home
  • About
    • Aim and Scope
    • Our Team
    • Editorial Board
    • FAQ
  • Issues
    • Current Issue
    • Ahead of Print
    • Past Issues
  • Visual EM
    • Latest Visual EM
    • Search Visual EM
    • Thumbnail Library
  • For Authors
    • Instructions for Authors
    • Submit to JETem
    • Photo Consent
    • Policies
      • Peer Review Policy
      • Copyright Policy
      • Editorial Policy, Ethics and Responsibilities
      • Conflicts of Interest & Informed Consent
      • Open Access Policy
  • For Reviewers
    • Instructions for JETem Reviewers
    • Interested in Being a JETem Reviewer?
  • Topic
    • Abdominal/Gastroenterology
    • Administration
    • Board Review
    • Cardiology/Vascular
    • Certifying Exam Cases
      • Clinical Decision-Making
      • Prioritization
      • Communication
      • Procedure & Ultrasound
    • Clinical Informatics, Telehealth and Technology
    • Dermatology
    • EMS
    • Endocrine
    • ENT
    • Faculty Development
    • Genitourinary
    • Geriatrics
    • Hematology/Oncology
    • Infectious Disease
    • Miscellaneous (stats, etc)
    • Neurology
    • Ob/Gyn
    • Ophthalmology
    • Orthopedics
    • Pediatrics
    • Pharmacology
    • Procedures
    • Psychiatry
    • Renal/Electrolytes
    • Respiratory
    • Social Determinants of Health
    • Toxicology
    • Trauma
    • Ultrasound
    • Urology
    • Wellness
    • Wilderness
  • Modality
    • Certifying Exam Practice Cases
      • Clinical Care Cases
      • Communication & Procedural Cases
      • Old School Oral Board Cases
    • Curricula
    • Innovations
    • Lectures
    • Podcasts
    • Simulation
    • Small Group Learning
    • Team Based Learning (TBL)
    • Visual EM
  • Contact Us

Imaging Findings of Small Bowel – Diverticulitis: A Case Report

Albert Zhou, MD*, Sarah Bella, DO*, and Amy Patwa, DO*

*Atlantic Health System, Morristown Medical Center, Morristown, NJ

Correspondence should be addressed to Albert Zhou, MD albert.zhou.md@gmail.com

DOI: https://doi.org/10.21980/J8F078 Issue 8:1
Abdominal/GastroenterologyVisual EM
[mrp_rating_result]
Creative Commons images
Creative Commons images
Creative Commons images
Creative Commons images
Creative Commons images
Creative Commons images
Creative Commons images
Creative Commons images

ABSTRACT:

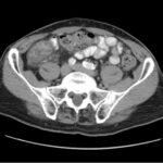
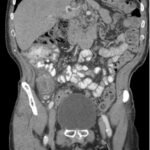
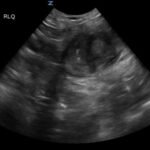
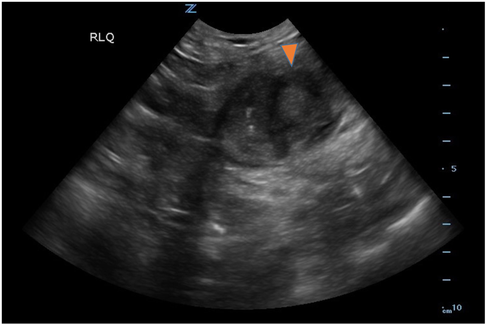
Small bowel diverticulitis is an uncommon subset of acute diverticulitis and can mimic many other intra-abdominal processes. As a result, imaging modalities such as ultrasound and computed tomography (CT) scan are especially important for timely recognition of diverticulitis and can expedite diagnosis and treatment and reduce complications. In the case described in this report, an 81-year-old male with history of esophageal cancer and recurrent diverticulitis with history of multiple bowel resections presented to the emergency department (ED) with right lower quadrant abdominal pain and constipation. Findings on ultrasound were suggestive of diverticulitis, and findings on CT of the abdomen and pelvis showed ileitis with phlegmon and micro-abscess suspicious for small bowel diverticulitis. ED providers should familiarize themselves with ultrasound findings of diverticulitis and be aware that diverticulitis can also present in the small bowel. Treatment of small bowel diverticulitis is similar to colonic diverticulitis.

Topics:

Ileitis, small bowel diverticulitis, abdominal ultrasound.

Icon

Small Bowel Diverticulitis - Manuscript

1 file(s) 1.35 MB
Download
Icon

Small Bowel Diverticulitis - Images

1 file(s) 2.81 MB
Download
CTIssue 8:1Ultrasound

Reviews:

[mrp_rating_entry_details_list layout="inline" show_rating_items="false"][mrp_rating_form]
Creative Commons images

Aortic Dissection Case Report

16 Jan, 23
Creative Commons images

The Continued Rise of Syphilis: A Case Report to...

16 Jan, 23

JETem is an online, open access, peer-reviewed, journal-repository for EM educators. We are PMC Indexed.

Most Viewed

  • Enhancing Emergency Medicine Resident Education: A Weekly Education Series to Augment Electrocardiogram Education
  • Development and Design of a Pediatric Case-Based Virtual Escape Room on Acute Iron Toxicity
  • Pre-Clinical Case Competition to Assess Confidence in Responding to Select Out-Of-Hospital Medical Emergencies
  • Pediatric Difficult Airway Simulation Day
  • Cards Against Pulmonology

Visit Our Collaborators

 

 

Creative Commons Licence
This work is licensed under a Creative Commons Attribution 4.0 International License.

About

Education

Learners should benefit from active learning. JETem accepts submissions of team-based learning, small group learning, simulation, podcasts, lectures, innovations, curricula, question sets, and visualEM.

Scholarship

We believe educators should advance through the scholarship of their educational work. JETem gives educators the opportunity to publish scholarly academic work so that it may be widely distributed, thereby increasing the significance of their results.

Links

  • Home
  • Aim and Scope
  • Current Issue
  • For Reviewers
  • Instructions for Authors
  • Contact Us

Newsletter

Sign up to receive updates from JETem regarding newly published issues and findings.

Copyright Creative Commons Attribution 4.0 International