Elderly female with acute abdominal pain presenting with Superior Mesenteric Artery Thrombus
History of present illness:
An 80-year-old female with history of hypertension and atrial fibrillation, presented with sudden onset of abdominal pain after eating at a restaurant. The patient denied any fever, vomiting or diarrhea. She admitted to being noncompliant with medications including warfarin. Initial vital signs were within normal limits. On exam, the patient was very uncomfortable and could not lay still in bed, even after multiple doses of intravenous narcotic pain medications. The patient had generalized abdominal tenderness without rebound or guarding. Labs revealed a white-blood-cell count of 13.8, lactic acid of 3.6, and international normalized ratio (INR) of 1.1, with normal renal function.
Significant findings:
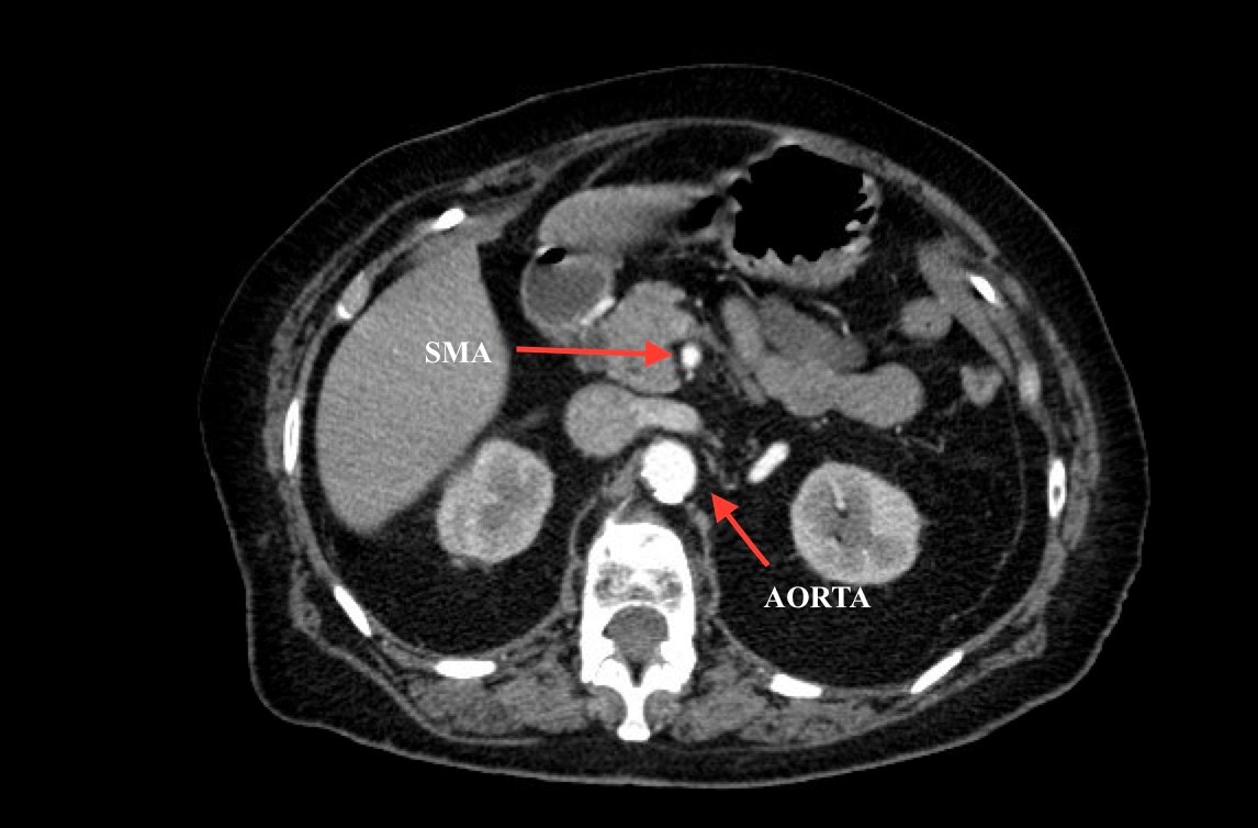
Computed tomography (CT) angiogram of the abdomen and pelvis revealed a superior mesenteric artery (SMA) thrombosis 5 cm from the origin off of the abdominal aorta. As seen in the sagittal view, there does not appear to be any contrast 5 cm past the origin of the SMA. On the axial views, you can trace the SMA until the point that there is no longer any contrast visible which indicates the start of the thrombus. The SMA does not appear to be reconstituted. There was normal flow to the celiac artery. (See annotated images).
Discussion:
This case involves a classic presentation of acute mesenteric ischemia, which is defined as the sudden onset of abdominal pain due to small intestinal hypo-perfusion secondary to reduction or complete occlusion of arterial blood flow to the intestines. The most common artery affected is the SMA. The main two reasons for this phenomenon are either due to an arterial embolus or from arterial thrombus from underlying atherosclerosis. The ratio of superior mesenteric embolus to thrombus has been shown to be 1.4:1.1 Embolism to the mesenteric arteries is most frequently from a thrombus that breaks off from the left atrium, left ventricle, or proximal aorta, as in this case from underlying atrial fibrillation that has not been properly anticoagulated. The embolus frequently lodges 3-10 cm distal to the origin of the SMA.2 Thrombosis of the mesenteric arteries is often secondary to a preexisting stenosis due to underlying history of atherosclerosis.
The classic presentation of acute mesenteric ischemia involves an elderly patient, with underlying history of atrial fibrillation or peripheral arterial disease, presenting with sudden abdominal pain that is out of proportion to physical exam. These patients typically have subtherapeutic INR, post-prandial abdominal discomfort, elevated lactic acid, leukocytosis, and at times metabolic acidosis. The recommended initial diagnostic test of choice is a CT angiogram of the abdomen and pelvis with a sensitivity of 93.3% and specificity of 95.9%.3 Early diagnosis and treatment contribute to the improvement of therapeutic results for acute SMA occlusion.4
Once diagnosis is made, treatment is multi-factorial. One should initiate fluid resuscitation immediately to maintain intravascular volume, give broad spectrum antibiotics for concern for sepsis secondary to bowel necrosis due to breakdown of the mucosal barrier, and initiate anticoagulation via unfractionated heparin. The next step is emergent vascular surgery consult for possible embolectomy, and if available, interventional radiology (IR) to undergo catheter-directed thrombolysis. The patient in this scenario underwent initial IR guided thrombolysis, without successful breakage of the clot. The patient subsequently underwent surgery for embolectomy with successful retrieval of the thrombus.
Topics:
Abdominal pain, mesenteric ischemia, superior mesenteric artery thrombosis, abdominal pain in elderly, atrial fibrillation, lactic acidosis.
References:
- Acosta S, Ogren M, Sternby NH, Bergqvist D, Björck, M. Clinical implications for the management of acute thromboembolic occlusion of the superior mesenteric artery: autopsy findings in 213 patients. Ann Surg. 2005;241(3):516-522. doi: 10.1097/01.sla.0000154269.52294.57.
- McKinsey JF, Gewertz BL. Acute mesenteric ischemia. Surg Clin North Am. 1997;77(2):307-318.
- Menke J. Diagnostic Accuracy of Multidetector CT in Acute Mesenteric Ischemia: Systematic Review and Meta-Analysis. Radiology. 2010;256(1):93-101. doi: 10.1148/radiol.10091938.
- Acosta-Merida MA, Marchena-Gomez J, Hemmersbach-Miller M, Roque-Castellano C, Hernandez-Romero JM. Identification of risk factors for perioperative mortality in acute mesenteric ischemia. World J Surg. 2006;30(8):1579–1585. doi: 10.1007/s00268-005-0560-5.







