Diagnosis and Treatment of an Anterior Shoulder Dislocation with Bedside Ultrasound
History of present illness:
A 57-year-old female presented to the emergency department (ED) two hours after slipping in the mud and falling onto her outstretched right arm. She reported right shoulder pain which was worse with movement and limited range of motion of the joint. Examination revealed tenderness of her right anterior shoulder with a visible deformity. Distal pulses and sensation were intact. She had no history of prior injuries to the affected extremity.
Significant findings:
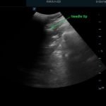
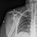
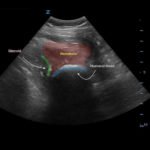
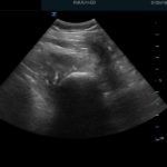
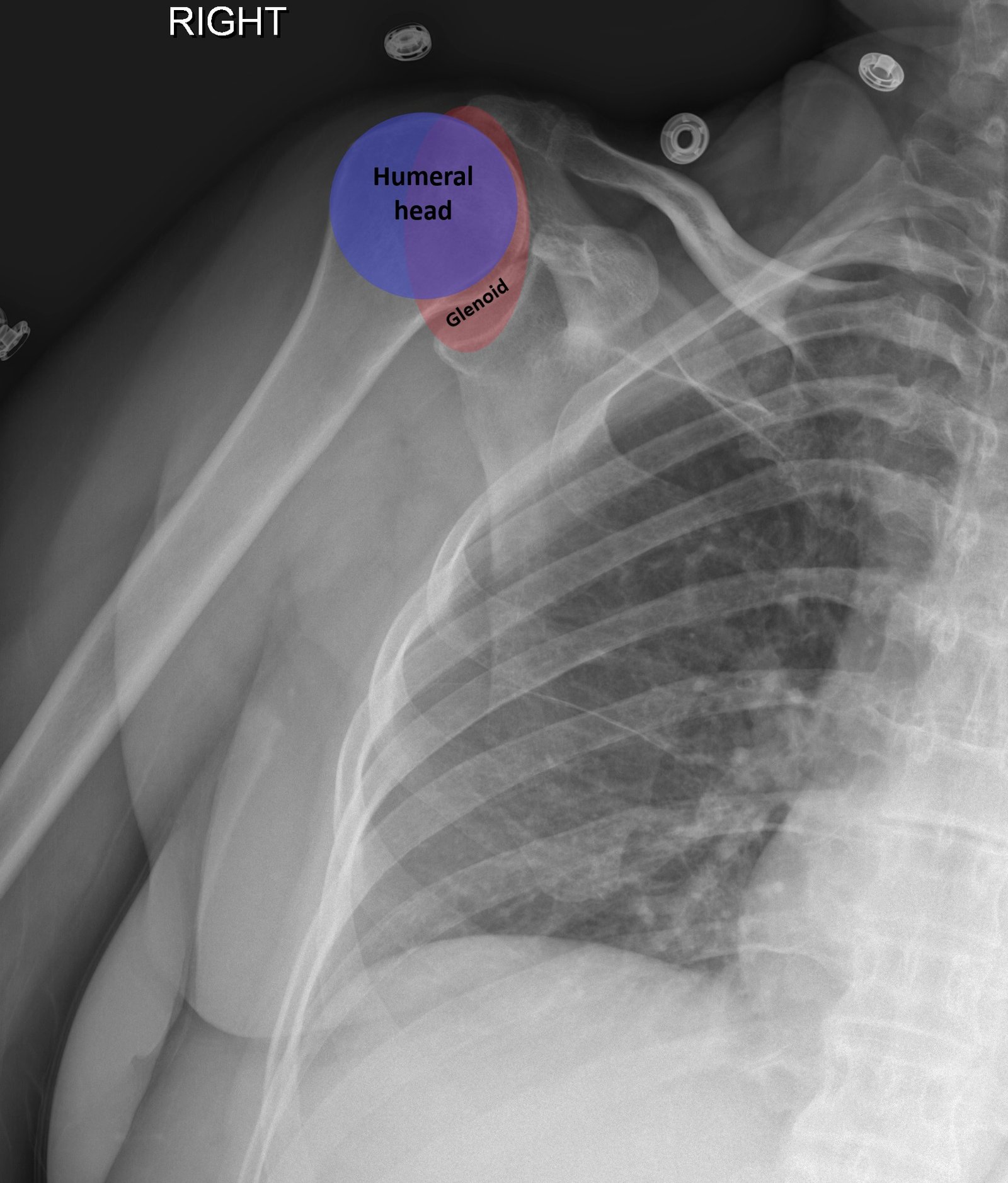
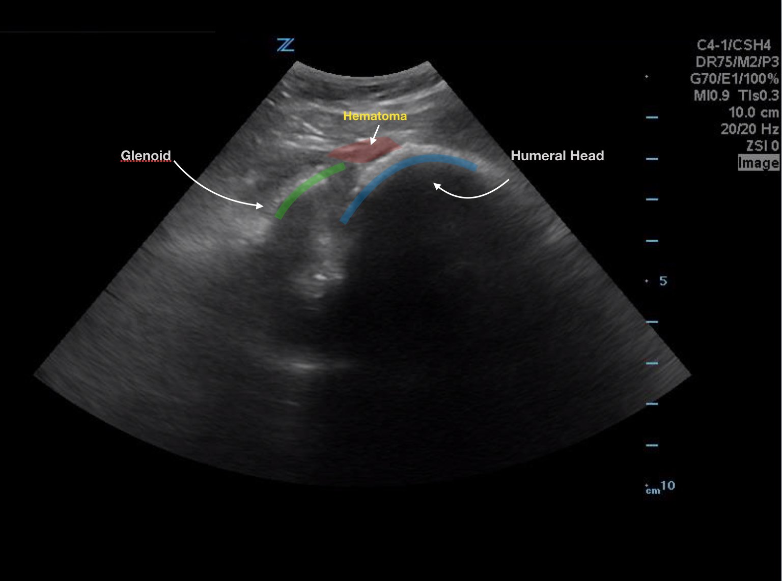
Bedside ultrasound with the transducer placed on the posterior right shoulder revealed an anterior dislocation of the right humerus. This is evident by displacement of the humeral head further away from the posteriorly placed ultrasound transducer, and appears deep to the glenoid cavity. In a posterior shoulder dislocation, the humeral head would appear closer to the transducer (and the near field of the ultrasound image) than the glenoid. Note that a hypoechoic, heterogeneous fluid collection is within the joint space, compatible with a hematoma. A right shoulder X-ray confirmed the anterior dislocation with no evidence of fracture. Under direct ultrasound guidance the glenohumeral joint space was injected with 10 mL of 2% lidocaine as an intraarticular anesthetic block. The right shoulder was reduced using continual traction. Post-reduction ultrasound demonstrated a successful shoulder reduction, depicted by the humeral head being relocated to its anatomical location, adjacent to the glenoid cavity, as noted on the ultrasound image. A hematoma remains present within the joint space. Successful shoulder reduction was further confirmed by X-ray. The patient’s arm was placed in a sling and she was discharged home with orthopedics follow-up.
Discussion:
Anterior shoulder dislocations are one of the most common type of joint dislocations that require reduction in the ED.1-3 Reducing a dislocated shoulder generally requires intravenous (IV) conscious sedation or an intra-articular anesthetic injection.4 Traditionally, IV conscious sedation has been the method of choice for shoulder reduction, but intra-articular joint injection is becoming more accepted as a viable alternative.1,3,5 A systematic review of randomized controlled trials (RCTs) discovered no significant statistical difference in successful anterior shoulder dislocation reduction between IV sedation and intra-articular injections. Furthermore, the study reported statistically higher complication rates and lengthier ED visits with IV sedation compared to intra-articular injections.5
Potential complications of conscious sedation include respiratory depression, hypoxia, apnea, nausea, aspiration, hypotension, and increased sedation recovery time.4-7 Moreover, conscious sedation typically requires the availability and presence of a nurse to assist, further increasing the patient’s ED length of stay. In comparison, intra-articular injections can be done quickly at the bedside and require less recovery time while still providing adequate analgesia.2,4,6 Possible complications of intra-articular injections include septic joint, bleeding, or arrhythmias if a local anesthetic is injected intravascularly.6 Direct ultrasound guidance allows for improved success rate of pain control,8,9 confirmation of needle placement, and decreases the risk of an intravascular injection.10 Intra-articular injections have also been shown to result in decreased personnel staffing time, quicker discharges, and decreased cost.2,6 Also intra-articular injections may be a more viable option in prehospital, rural, or wilderness medicine settings.11
Ultrasound guided intra-articular joint injections are best performed with the linear or curvilinear probe. With the probe on the patient’s lateral or posterior shoulder, locate the humeral head and the glenoid cavity. Determine the depth of the space and select a needle long enough to reach the cavity. Utilizing sterile technique, first place superficial local anesthetic. Then, advance the needle into the glenohumeral joint space and inject 10 to 20 mL of a local anesthetic, typically 1 or 2% plain lidocaine. An increase in anechoic space may be visible as the anesthetic is injected. The effect of the anesthetic should be active in about ten minutes.2,12
Topics:
Anterior shoulder dislocation, intra-articular joint injection, bedside ultrasound, point-of-care ultrasound, POCUS, ultrasound procedural guidance, musculoskeletal ultrasound.
References:
- Risler Z, Magee M, Mazza J, et al. A three-dimensional printed low-cost anterior shoulder dislocation model for ultrasound-guided injection training. Cureus. 2018;10(11): e3536. doi: 10.7759/cureus.3536.
- Hendey GW. Managing anterior shoulder dislocation. Ann Emerg Med. 2016;67(1):76-80. doi: 10.1016/j.annemergmed.2015.07.496.
- Cheok CY, Mohamad JA, Ahmad TS. Pain relief for reduction of acute anterior shoulder dislocations: a prospective randomized study comparing intravenous sedation with intra-articular lidocaine. J Orthop Trauma. 2011;25(1):5-10. doi: 10.1097/BOT.0b013e3181d3d338.
- Kashani P, Asayesh F, Hatamabadi HR, Afshar A, Amiri A. Intra-articular lidocaine versus intravenous sedative and analgesic for reduction of anterior shoulder dislocation. Turk J Emerg Med. 2016;16(2):60-64. doi: 10.1016/j.tjem.2016.04.001.
- Fitch RW, Kuhn JE. Intraarticular lidocaine versus intravenous procedural sedation with narcotics and benzodiazepines for reduction of the dislocated shoulder: a systematic review. Acad Emerg Med. 2008;15(8):703-708. doi: 10.1111/j.1553-2712.2008.00164.x.
- Ng VK, Hames H, Millard WM. Use of intra-articular lidocaine as analgesia in anterior shoulder dislocation: a review and meta-analysis of the literature. Can J Rural Med. 2009;14(4):145-149.
- Jiang N, Hu YJ, Zhang KR, Zhang S, Bin Y. Intra-articular lidocaine versus intravenous analgesia and sedation for manual closed reduction of acute anterior shoulder dislocation: an updated meta-analysis. J Clin Anesth. 2014;26(5):350-359. doi: 10.1016/j.jclinane.2013.12.013.
- Messina C, Banfi G, Orlandi D, et al. Ultrasound-guided interventional procedures around the shoulder. Br J Radiol. 2016; 89:20150372. doi: 10.1259/bjr.20150372.
- McFarland E, Bernard J, Dein E, Johnson A. Diagnostic injections about the shoulder. J Am Acad Orthop Surg. 2017; 25(12):799-807. doi: 10.5435/JAAOS-D-16-00076.
- De Buck F, Devroe S, Missant C, Van de Velde M. Regional anesthesia outside the operating room: indications and techniques. Curr Opin Anaesthesiol. 2012; 25(4):501-507. doi: 10.1097/ACO.0b013e3283556f58.
- Gould FJ. An effective treatment in the austere environment? A critical appraisal into the use of intra-articular local anesthetic to facilitate reduction in acute shoulder dislocation. Wilderness Environ Med. 2018;29(1):102-110. doi: 10.1016/j.wem.2017.09.013.
- Dschaak T. Shoulder ultrasound: intra-articular injection and reduction. http://www.emdocs.net/shoulder-ultrasound-reduction-intra-articular-injection/. Published June 5, 2014. Accessed June 10, 2019.











