Point of Care Ultrasound Illustrating Small Bowel Obstruction
History of present illness:
A 38-year-old female presented to the emergency department (ED) with abdominal pain, vomiting and constipation for one day. She had a history of hysterectomy and oophorectomy secondary to severe endometriosis three years prior to her visit. She also reported a history of small bowel obstruction (SBO) which was managed conservatively. Her vitals were unremarkable except for mild tachycardia. Point of Care Ultrasound (POCUS) was performed which showed severely dilated loops of bowel with concern for SBO. A CT scan was performed to confirm the diagnosis and identify the cause and the level of the obstruction. The patient’s CT scan confirmed the SBO and found a transition point near the terminal ilium.
Significant findings:
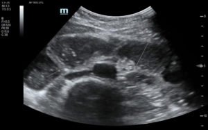
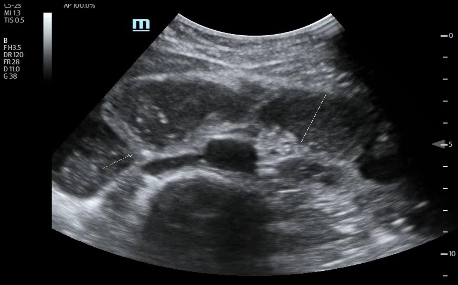
POCUS of the small bowel illustrated significantly dilated loops of bowel (white line), thickened bowel wall (white arrow) and to-and-fro peristalsis, consistent with small bowel obstruction.
Discussion:
Approximately two percent of patients who present to the ED with abdominal pain are diagnosed with SBO.1-2 POCUS has been shown to have a sensitivity of 92.4% and specificity of 96.6% for the diagnosis of SBO.3 The proper way to scan patients with suspected SBO is by using the curvilinear probe (3-5 MHz) across the entire abdomen. Pathologic findings include bowel dilatation (which can be measured from the inner wall to the inner wall of the small bowel) greater than 2.5cm. Other positive findings include to-and-fro peristalsis, mesenteric thickening and thickening of valvulae conniventes. Wall thickening greater than 3 mm and free fluid between bowel loops may suggest bowel ischemia.4 Despite the high diagnostic accuracy of the POCUS, it can be operator dependent and is limited by the ability to accurately identify a transition point. CT scan also has the advantage of determining the underlying cause and identifying the exact location of the obstruction.5
Given the findings and diagnosis, this patient was admitted to the surgical ward and managed conservatively. She improved the next day and diet was advanced. She was discharged home on hospital day 3 after resolution of her symptoms.
Topics:
Point of care ultrasound, small bowel obstruction.
References:
- Irvin TT. Abdominal pain: a surgical audit of 1190 emergency admissions. Br J Surg.1989;76(11):1121-25.
- Hastings RS, Powers RD. Abdominal pain in the ED: a 35-year retrospective. Am J Emerg Med. 2011;29(7):711-6. doi: 1016/j.ajem.2010.01.045.
- Gottlieb M, Peksa GD, Pandurangadu AV, et al. Utilization of ultrasound for the evaluation of small bowel obstruction: A systematic review and meta-analysis. Am J Emerg Med.2018:36(2):234-242. doi: 10.1016/j.ajem.2017.07.085
- Zenobii MF, Accogli E, Domanico A, et al. Update on ultrasound in bowel obstruction. Intern Emerg Med. 2016; 11:1015-7. doi: 10.1007/s11739-015-1342-1.
- Pourmand A, Dimbil U, Drake A, Shokoohi H. The accuracy of point of care ultrasound. Emerg Med Int.2018:3684081. doi: 10.1155/2018/3684081


