JETem
  • Home
  • About
    • Aim and Scope
    • Our Team
    • Editorial Board
    • FAQ
  • Issues
    • Current Issue
    • Ahead of Print
    • Past Issues
  • Visual EM
    • Latest Visual EM
    • Search Visual EM
    • Thumbnail Library
  • For Authors
    • Instructions for Authors
    • Submit to JETem
    • Photo Consent
    • Policies
      • Peer Review Policy
      • Copyright Policy
      • Editorial Policy, Ethics and Responsibilities
      • Conflicts of Interest & Informed Consent
      • Open Access Policy
  • For Reviewers
    • Instructions for JETem Reviewers
    • Interested in Being a JETem Reviewer?
  • Topic
    • Abdominal/Gastroenterology
    • Administration
    • Board Review
    • Cardiology/Vascular
    • Certifying Exam Cases
      • Clinical Decision-Making
      • Prioritization
      • Communication
      • Procedure & Ultrasound
    • Clinical Informatics, Telehealth and Technology
    • Dermatology
    • EMS
    • Endocrine
    • ENT
    • Faculty Development
    • Genitourinary
    • Geriatrics
    • Hematology/Oncology
    • Infectious Disease
    • Miscellaneous (stats, etc)
    • Neurology
    • Ob/Gyn
    • Ophthalmology
    • Orthopedics
    • Pediatrics
    • Pharmacology
    • Procedures
    • Psychiatry
    • Renal/Electrolytes
    • Respiratory
    • Social Determinants of Health
    • Toxicology
    • Trauma
    • Ultrasound
    • Urology
    • Wellness
    • Wilderness
  • Modality
    • Certifying Exam Practice Cases
      • Clinical Care Cases
      • Communication & Procedural Cases
      • Old School Oral Board Cases
    • Curricula
    • Innovations
    • Lectures
    • Podcasts
    • Simulation
    • Small Group Learning
    • Team Based Learning (TBL)
    • Visual EM
  • Contact Us

Presentation of Significant Subarachnoid Hemorrhage without Loss of Consciousness

Nicholas Taylor, BA* and Shannon Toohey, MD, MAEd*

*University of California, Irvine, Department of Emergency Medicine, Orange, CA

Correspondence should be addressed to Nicholas Taylor, BA at taylorna@uci.edu

DOI: https://doi.org/10.21980/J80W29 Issue 2:2
NeurologyVisual EM
[mrp_rating_result]
Creative Commons images
Creative Commons images
Creative Commons images

History of present illness:

A 68-year-old female with history of hypertension presented to the emergency department one hour after the sudden onset of 10/10 headache. The patient had a history of headaches, but described this episode as the “worst of her life” with associated vomiting, mild neck pain with movement, increased light sensitivity, and generalized weakness. The patient denied focal weakness or changes in vision. On exam, the patient was awake and alert with no slurred speech. Gait was intact and strength was 5/5 bilaterally in the upper and lower extremities. She had no facial asymmetry.

Significant findings:

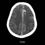
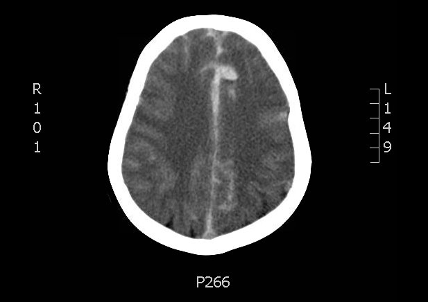
A non-contrast head CT demonstrated extensive subarachnoid hemorrhage occupying both cerebral convexities, the anterior interhemispheric fissure, the sylvian fissures, and the basal cisterns. Later CTA would show an 8 mm by 7 mm by 8mm MCA aneurysm near the M1/M2 junction and two pericallosal artery aneurysms, 7 by 6 mm and 8 by 5 mm respectively.

The patient underwent external ventricular drain (EVD) placement by neurosurgery, followed by coiling of the three aneurysms by interventional radiology.

Discussion:

Subarachnoid hemorrhages account for 10 percent of cerebrovascular accidents, with mortality rates approaching 50 percent. Most subarachnoid hemorrhages are due to ruptured saccular aneurysms located at bifurcations of arteries within the circle of Willis. Other causes include trauma or AV malformations. Common complications of SAH include vasospasms, cerebral tissue infarction, seizure, and cardiac complications.1

In addition to the sudden severe headache seen in 97 percent of cases, 50 percent of patients experience transient loss of consciousness, and many experience vomiting, meningeal irritation, nuchal rigidity, and photosensitivity.2 One retrospective series evaluating proven non-traumatic, spontaneous subarachnoid hemorrhages found nausea or vomiting in 77 percent of patients, loss of consciousness in 53 percent, and meningismus in 35 percent.3  Non-contrast head CT performed within six hours of headache onset has a sensitivity and specificity approaching 100 percent.4  After six hours, patients should also be evaluated with lumbar puncture and/or CT or magnetic resonance (MR) angiography.4

Topics:

SAH, subarachnoid hemorrhage, headache, aneurysm, non-contrast head CT.

References:

  1. Van der Bilt IA, Hasan D, Vandertop WP, Wilde AA, Algra A, Visser FC, et al. Impact of cardiac complications on outcome after aneurysmal subarachnoid hemorrhage: a meta-analysis. Neurology. 2009;72(7):635-642. doi: 10.1212/01.wnl.0000342471.07290.07
  2. Gorelick PB, Hier DB, Caplan LR, Langenberg P. Headache in acute cerebrovascular disease. Neurology. 1986;36(11):1445-1450.
  3. Fontanarosa PB. Recognition of subarachnoid hemorrhage. Ann Emerg Med. 1989;18(11):1199-1205.
  4. Perry JJ, Stiell IG, Sivilotti ML, et al. Sensitivity of computed tomography performed within six hours of onset of headache for diagnosis of subarachnoid haemorrhage: prospective cohort study. BMJ. 2011;343:d4277. doi: 10.1136/bmj.d4277
Icon

SAH without Loss of Consciousness - Case Report

1 file(s) 513 KB
Download
Icon

SAH without Loss of Consciousness - Images

1 file(s) 5.75 MB
Download
Issue 2:2

Reviews:

[mrp_rating_entry_details_list layout="inline" show_rating_items="false"][mrp_rating_form]
Creative Commons images

Acute Subdural Hematoma

05 Apr, 17
Creative Commons images

Acute, massive pulmonary embolism with right...

05 Apr, 17

JETem is an online, open access, peer-reviewed, journal-repository for EM educators. We are PMC Indexed.

Most Viewed

  • Enhancing Emergency Medicine Resident Education: A Weekly Education Series to Augment Electrocardiogram Education
  • Development and Design of a Pediatric Case-Based Virtual Escape Room on Acute Iron Toxicity
  • Pre-Clinical Case Competition to Assess Confidence in Responding to Select Out-Of-Hospital Medical Emergencies
  • Pediatric Difficult Airway Simulation Day
  • Cards Against Pulmonology

Visit Our Collaborators

 

 

Creative Commons Licence
This work is licensed under a Creative Commons Attribution 4.0 International License.

About

Education

Learners should benefit from active learning. JETem accepts submissions of team-based learning, small group learning, simulation, podcasts, lectures, innovations, curricula, question sets, and visualEM.

Scholarship

We believe educators should advance through the scholarship of their educational work. JETem gives educators the opportunity to publish scholarly academic work so that it may be widely distributed, thereby increasing the significance of their results.

Links

  • Home
  • Aim and Scope
  • Current Issue
  • For Reviewers
  • Instructions for Authors
  • Contact Us

Newsletter

Sign up to receive updates from JETem regarding newly published issues and findings.

Copyright Creative Commons Attribution 4.0 International