JETem
  • Home
  • About
    • Aim and Scope
    • Our Team
    • Editorial Board
    • FAQ
  • Issues
    • Current Issue
    • Ahead of Print
    • Past Issues
  • Visual EM
    • Latest Visual EM
    • Search Visual EM
    • Thumbnail Library
  • For Authors
    • Instructions for Authors
    • Submit to JETem
    • Photo Consent
    • Policies
      • Peer Review Policy
      • Copyright Policy
      • Editorial Policy, Ethics and Responsibilities
      • Conflicts of Interest & Informed Consent
      • Open Access Policy
  • For Reviewers
    • Instructions for JETem Reviewers
    • Interested in Being a JETem Reviewer?
  • Topic
    • Abdominal/Gastroenterology
    • Administration
    • Board Review
    • Cardiology/Vascular
    • Certifying Exam Cases
      • Clinical Decision-Making
      • Prioritization
      • Communication
      • Procedure & Ultrasound
    • Clinical Informatics, Telehealth and Technology
    • Dermatology
    • EMS
    • Endocrine
    • ENT
    • Faculty Development
    • Genitourinary
    • Geriatrics
    • Hematology/Oncology
    • Infectious Disease
    • Miscellaneous (stats, etc)
    • Neurology
    • Ob/Gyn
    • Ophthalmology
    • Orthopedics
    • Pediatrics
    • Pharmacology
    • Procedures
    • Psychiatry
    • Renal/Electrolytes
    • Respiratory
    • Social Determinants of Health
    • Toxicology
    • Trauma
    • Ultrasound
    • Urology
    • Wellness
    • Wilderness
  • Modality
    • Certifying Exam Practice Cases
      • Clinical Care Cases
      • Communication & Procedural Cases
      • Old School Oral Board Cases
    • Curricula
    • Innovations
    • Lectures
    • Podcasts
    • Simulation
    • Small Group Learning
    • Team Based Learning (TBL)
    • Visual EM
  • Contact Us

A Case Report on Detecting Porcelain Gallbladder form Wall-Echo-Shadow Sign on Point-of-Care Ultrasound

Fares Al-Khouja, MS*, Proma Mazumder^, John Moeller, MD† and Shadi Lahham, MD, MS†

*University of California, Irvine, School of Medicine, Irvine, CA
^Touro University Nevada, College of Osteopathic Medicine, Henderson, NV
†University of California, Irvine, Department of Emergency Medicine, Orange, CA

Correspondence should be addressed to Shadi Lahham, MD, MS at slahham@hs.uci.edu

DOI: https://doi.org/10.21980/J8164G Issue 6:2
Abdominal/GastroenterologyUltrasoundVisual EM
[mrp_rating_result]
Creative Commons images
Creative Commons images
Creative Commons images

ABSTRACT:

Point-of-Care Ultrasound (POCUS) is a rapidly growing means of accelerated diagnosis for various conditions. This case report demonstrates POCUS use to differentiate porcelain gallbladder (PGB) from wall-echo-shadow (WES) sign.

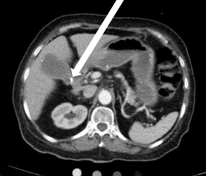
A 75-year-old female presented for evaluation of elevated liver function tests (LFTs). Upon arrival, she had no acute complaints with unremarkable vital signs, aside from elevated blood pressure of 155/79 mmHg. Review of LFTs demonstrated elevation of total bilirubin, aspartate aminotransferase (AST), alanine aminotransferase (ALT), and alkaline phosphatase (ALP). Physical examination and review of systems were unremarkable. POCUS revealed common bile duct dilatation with cholelithiasis and sludge. While these findings may be confused with a WES sign, POCUS also revealed a hyperechoic gallbladder wall (GBW) with shadowing and irregular clumps of echo. The hyperechoic GBW with irregular shadowing heightened the suspicion for PGB. Computed tomography scan confirmed the presence of PGB. The patient had a stent placed near the common hepatic duct stricture and was advised to return for cholecystectomy. She was readmitted three months later due to bacteremia, likely caused by gallbladder obstruction in the setting of gallbladder cancer.

Point of care ultrasound can be used to identify PGB. Because PGB has been associated with gallbladder carcinoma, prompt diagnosis is vital in early and aggressive treatment. In this case report, we demonstrate a reliable method in properly diagnosing PGB through POCUS.

Topics:

Point-of-care ultrasound, ultrasound, porcelain gallbladder, WES sign, wall-echo-shadow sign.

Icon

POCUS Porcelain Gallbladder - Manuscript

1 file(s) 1.68 MB
Download
Icon

POCUS Porcelain Gallbladder - Images

1 file(s) 444.41 KB
Download
CTIssue 6:2Ultrasound

Reviews:

[mrp_rating_entry_details_list layout="inline" show_rating_items="false"][mrp_rating_form]
Creative Commons images

Auricular Perichondritis after a “High Ear...

05 Apr, 21
Creative Commons images

Using Point-of-Care Ultrasound to Expedite...

05 Apr, 21

JETem is an online, open access, peer-reviewed, journal-repository for EM educators. We are PMC Indexed.

Most Viewed

  • Enhancing Emergency Medicine Resident Education: A Weekly Education Series to Augment Electrocardiogram Education
  • Development and Design of a Pediatric Case-Based Virtual Escape Room on Acute Iron Toxicity
  • Pre-Clinical Case Competition to Assess Confidence in Responding to Select Out-Of-Hospital Medical Emergencies
  • Pediatric Difficult Airway Simulation Day
  • Cards Against Pulmonology

Visit Our Collaborators

 

 

Creative Commons Licence
This work is licensed under a Creative Commons Attribution 4.0 International License.

About

Education

Learners should benefit from active learning. JETem accepts submissions of team-based learning, small group learning, simulation, podcasts, lectures, innovations, curricula, question sets, and visualEM.

Scholarship

We believe educators should advance through the scholarship of their educational work. JETem gives educators the opportunity to publish scholarly academic work so that it may be widely distributed, thereby increasing the significance of their results.

Links

  • Home
  • Aim and Scope
  • Current Issue
  • For Reviewers
  • Instructions for Authors
  • Contact Us

Newsletter

Sign up to receive updates from JETem regarding newly published issues and findings.

Copyright Creative Commons Attribution 4.0 International