Perilunate Dislocation
History of present illness:
A 25-year-old female presented to the emergency department with left wrist pain following a fall off a skateboard. The patient fell on her outstretched left wrist with the wrist dorsiflexed and reported immediate sharp pain to her left wrist that was worse with movement. She denied other trauma.
Significant findings:
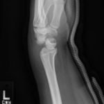
In the left lateral wrist x-ray, the lunate (outlined in blue) is dislocated from the rest of the wrist bones (yellow line) but still articulates with the radius (red line). The capitate (yellow line) does not sit within the distal articulation of the lunate and is displaced dorsally. Additionally, a line drawn through the radius and lunate (green line) fails to intersect with the capitate. This is consistent with a perilunate dislocation. This is compared to a lunate dislocation, where the lunate itself is displaced and turned ventrally (spilled teacup) and the proximal aspect does not articulate with the radius.
Discussion:
A perilunate dislocation is a significant closed wrist injury that is easily missed on standard anterior-posterior imaging. These dislocations are relatively rare, involving only 7% of all carpal injuries and are associated with high-energy trauma onto a hyperextended wrist, such as falls from a height, motor vehicle accidents, and sports injuries.1 An untreated perilunate dislocation is associated with high risk of chronic carpal instability and post-traumatic arthritis. If the mechanism of injury is sufficient to suspect perilunate dislocation, multiple radiographic views of the wrist should be ordered. Patients should receive prompt orthopedic consultation for open reduction and ligamentous repair. Even after successful identification and subsequent surgical repair, median nerve neuropathy and post-traumatic arthritis are frequent.2-3
Topics:
Perilunate dislocation, wrist injury, trauma, emergency medicine, orthopedics, neuropathy, arthritis.
References:
- Najarian R, Nourbakhsh A, Capo J, Tan V. Perilunate injuries. Hand. 2011;6(1):1-7. doi: 10.1007/s11552-010-9293-5
- Muhldorfer-Fodor M, Hohendorff B, Saalabian AA, Hahne M, van Schoonhoven J, Prommersberger KJ. Median nerve neuropathy after perilunate dislocation injuries. Handchir Mikrochir Plast Chir. 2014;46(3):163-168. doi: 10.1055/s-0034-1370959
- Grover I. Perilunate dislocation. In: Schaider J, Barkin A, Barkin R, Shayne P, Wolfe R, Hayden S, Rosen P, eds. Rosen & Barkin’s 5-Minute Emergency Medicine Consult. 5th ed. Philadelphia, PA: Lippincott Williams & Wilkins; 2014:832-833.




