JETem
  • Home
  • About
    • Aim and Scope
    • Our Team
    • Editorial Board
    • FAQ
  • Issues
    • Current Issue
    • Ahead of Print
    • Past Issues
  • Visual EM
    • Latest Visual EM
    • Search Visual EM
    • Thumbnail Library
  • For Authors
    • Instructions for Authors
    • Submit to JETem
    • Photo Consent
    • Policies
      • Peer Review Policy
      • Copyright Policy
      • Editorial Policy, Ethics and Responsibilities
      • Conflicts of Interest & Informed Consent
      • Open Access Policy
  • For Reviewers
    • Instructions for JETem Reviewers
    • Interested in Being a JETem Reviewer?
  • Topic
    • Abdominal/Gastroenterology
    • Administration
    • Board Review
    • Cardiology/Vascular
    • Certifying Exam Cases
      • Clinical Decision-Making
      • Prioritization
      • Communication
      • Procedure & Ultrasound
    • Clinical Informatics, Telehealth and Technology
    • Dermatology
    • EMS
    • Endocrine
    • ENT
    • Faculty Development
    • Genitourinary
    • Geriatrics
    • Hematology/Oncology
    • Infectious Disease
    • Miscellaneous (stats, etc)
    • Neurology
    • Ob/Gyn
    • Ophthalmology
    • Orthopedics
    • Pediatrics
    • Pharmacology
    • Procedures
    • Psychiatry
    • Renal/Electrolytes
    • Respiratory
    • Social Determinants of Health
    • Toxicology
    • Trauma
    • Ultrasound
    • Urology
    • Wellness
    • Wilderness
  • Modality
    • Certifying Exam Practice Cases
      • Clinical Care Cases
      • Communication & Procedural Cases
      • Old School Oral Board Cases
    • Curricula
    • Innovations
    • Lectures
    • Podcasts
    • Simulation
    • Small Group Learning
    • Team Based Learning (TBL)
    • Visual EM
  • Contact Us

A Case Report of Ogilvie’s Syndrome in a 58-year-old Quadriplegic

Rosie Kumar, BS*, Brett Cowan, MD*, Daniel Quesada, MD* and Sage Wexner, MD*

*Kern Medical Center, Department of Emergency Medicine, Bakersfield, CA

Correspondence should be addressed to Sage Wenxer, MD at sage.wexner@kernmedical.com

DOI: https://doi.org/10.21980/J82922 Issue 5:4
Abdominal/GastroenterologyVisual EM
[mrp_rating_result]
Creative Commons images
Creative Commons images
Creative Commons images
Creative Commons images

ABSTRACT:

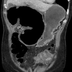
Ogilvie’s syndrome (acute colonic pseudo-obstruction) is a rare disorder characterized by an acute dilation of the colon measuring greater than 10 centimeters. Common symptoms associated with Ogilvie’s include abdominal distension, abdominal pain, nausea, vomiting, constipation, and diarrhea. This report presents an uncommon case of a quadriplegic presenting to the emergency department with complaints of abdominal distention. Computed tomography and radiographic imaging studies were consistent with Ogilvie’s syndrome. The patient was admitted to the hospital and started on stool softeners and bowel rest with resolution of symptoms.

Topics:

Ogilvie’s syndrome, quadriplegic, abdominal distension, colonic pseudo-obstruction.

Icon

Ogilvie's Syndrome - Manuscript

1 file(s) 2.36 MB
Download
Icon

Ogilvie's Syndrome - Images

1 file(s) 7.3 MB
Download
CTIssue 5:4X-Ray

Reviews:

[mrp_rating_entry_details_list layout="inline" show_rating_items="false"][mrp_rating_form]
Subtalar Dislocation Jetem

Cecal Volvulus Diagnosed with a Whirl Sign: A...

18 Oct, 20
Creative Commons images

Bladder Diverticulum – A Case Report

18 Oct, 20

JETem is an online, open access, peer-reviewed, journal-repository for EM educators. We are PMC Indexed.

Most Viewed

  • Enhancing Emergency Medicine Resident Education: A Weekly Education Series to Augment Electrocardiogram Education
  • Development and Design of a Pediatric Case-Based Virtual Escape Room on Acute Iron Toxicity
  • Pre-Clinical Case Competition to Assess Confidence in Responding to Select Out-Of-Hospital Medical Emergencies
  • Pediatric Difficult Airway Simulation Day
  • Cards Against Pulmonology

Visit Our Collaborators

 

 

Creative Commons Licence
This work is licensed under a Creative Commons Attribution 4.0 International License.

About

Education

Learners should benefit from active learning. JETem accepts submissions of team-based learning, small group learning, simulation, podcasts, lectures, innovations, curricula, question sets, and visualEM.

Scholarship

We believe educators should advance through the scholarship of their educational work. JETem gives educators the opportunity to publish scholarly academic work so that it may be widely distributed, thereby increasing the significance of their results.

Links

  • Home
  • Aim and Scope
  • Current Issue
  • For Reviewers
  • Instructions for Authors
  • Contact Us

Newsletter

Sign up to receive updates from JETem regarding newly published issues and findings.

Copyright Creative Commons Attribution 4.0 International