JETem
  • Home
  • About
    • Aim and Scope
    • Our Team
    • Editorial Board
    • FAQ
  • Issues
    • Current Issue
    • Ahead of Print
    • Past Issues
  • Visual EM
    • Latest Visual EM
    • Search Visual EM
    • Thumbnail Library
  • For Authors
    • Instructions for Authors
    • Submit to JETem
    • Photo Consent
    • Policies
      • Peer Review Policy
      • Copyright Policy
      • Editorial Policy, Ethics and Responsibilities
      • Conflicts of Interest & Informed Consent
      • Open Access Policy
  • For Reviewers
    • Instructions for JETem Reviewers
    • Interested in Being a JETem Reviewer?
  • Topic
    • Abdominal/Gastroenterology
    • Administration
    • Board Review
    • Cardiology/Vascular
    • Certifying Exam Cases
      • Clinical Decision-Making
      • Prioritization
      • Communication
      • Procedure & Ultrasound
    • Clinical Informatics, Telehealth and Technology
    • Dermatology
    • EMS
    • Endocrine
    • ENT
    • Faculty Development
    • Genitourinary
    • Geriatrics
    • Hematology/Oncology
    • Infectious Disease
    • Miscellaneous (stats, etc)
    • Neurology
    • Ob/Gyn
    • Ophthalmology
    • Orthopedics
    • Pediatrics
    • Pharmacology
    • Procedures
    • Psychiatry
    • Renal/Electrolytes
    • Respiratory
    • Social Determinants of Health
    • Toxicology
    • Trauma
    • Ultrasound
    • Urology
    • Wellness
    • Wilderness
  • Modality
    • Certifying Exam Practice Cases
      • Clinical Care Cases
      • Communication & Procedural Cases
      • Old School Oral Board Cases
    • Curricula
    • Innovations
    • Lectures
    • Podcasts
    • Simulation
    • Small Group Learning
    • Team Based Learning (TBL)
    • Visual EM
  • Contact Us

Point-of-Care Ultrasound to Diagnose Molar Pregnancy: A Case Report

Katherine Wietecha, MD*, Caitlin A Williams, MS^ and Valori Slane, MD*

*Kendall Regional Medical Center, Department of Emergency Medicine, Miami, FL
^Nova Southeastern University, Dr. Kiran C Patel College of Allopathic Medicine, Fort Lauderdale, FL

Correspondence should be addressed to Katherine Wietecha, MD at kwietec1@gmail.com

DOI: https://doi.org/10.21980/J82W7T Issue 7:2
Ob/GynVisual EM
[mrp_rating_result]

Creative Commons images
Creative Commons images

ABSTRACT:

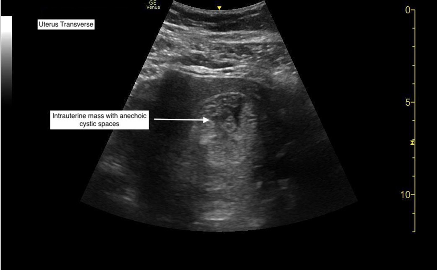
Molar pregnancies are rare complications that can have potentially devastating effects, including neoplastic disease. Given the potential for malignant conversion, proper diagnosis of molar pregnancy is crucial. This case demonstrates the utility of point-of-care ultrasound (POCUS) for molar pregnancy in the emergency department (ED). The patient was a 43-year-old G8P1, 8-week-pregnant female who presented to the emergency department for evaluation of abdominal pain. Her physical exam was notable for abdominal tenderness and a normal pelvic exam. Evaluation included basic labs with a quantitative serum beta human chorionic gonadotropin (βhCG), urinalysis, and vaginal wet mount. Her results were unremarkable with the exception of elevated βhCG to 83,000 mIU/mL. A transabdominal POCUS was performed which showed a heterogeneous mass with several anechoic areas, concerning for a molar pregnancy. Patient was seen by obstetrics and gynecology (OB-GYN) and a transvaginal ultrasound showed similar findings. Dilation and evacuation were performed approximately 5 hours after initial diagnosis on POCUS. Use of POCUS was crucial for expedient diagnosis and appropriate treatment in this patient, highlighting the utility of POCUS for pregnant patients in the ED.

Topics:

Molar pregnancy, gestational trophoblastic disease, hydatidiform mole, point of care ultrasound.

Icon

Molar Pregnancy - Manuscript

1 file(s) 999.99 KB
Download
Icon

Molar Pregnancy - Images

1 file(s) 5.68 KB
Download
Issue 7:2Ultrasound

Reviews:

[mrp_rating_entry_details_list layout="inline" show_rating_items="false"][mrp_rating_form]
Creative Commons images

A Case Report of Fournier’s Gangrene

04 Jan, 22
Creative Commons images

High-Pressure Injection Injury to the Hand...

04 Jan, 22

JETem is an online, open access, peer-reviewed, journal-repository for EM educators. We are PMC Indexed.

Most Viewed

  • Enhancing Emergency Medicine Resident Education: A Weekly Education Series to Augment Electrocardiogram Education
  • Development and Design of a Pediatric Case-Based Virtual Escape Room on Acute Iron Toxicity
  • Pre-Clinical Case Competition to Assess Confidence in Responding to Select Out-Of-Hospital Medical Emergencies
  • Pediatric Difficult Airway Simulation Day
  • Cards Against Pulmonology

Visit Our Collaborators

 

 

Creative Commons Licence
This work is licensed under a Creative Commons Attribution 4.0 International License.

About

Education

Learners should benefit from active learning. JETem accepts submissions of team-based learning, small group learning, simulation, podcasts, lectures, innovations, curricula, question sets, and visualEM.

Scholarship

We believe educators should advance through the scholarship of their educational work. JETem gives educators the opportunity to publish scholarly academic work so that it may be widely distributed, thereby increasing the significance of their results.

Links

  • Home
  • Aim and Scope
  • Current Issue
  • For Reviewers
  • Instructions for Authors
  • Contact Us

Newsletter

Sign up to receive updates from JETem regarding newly published issues and findings.

Copyright Creative Commons Attribution 4.0 International