JETem
  • Home
  • About
    • Aim and Scope
    • Our Team
    • Editorial Board
    • FAQ
  • Issues
    • Current Issue
    • Ahead of Print
    • Past Issues
  • Visual EM
    • Latest Visual EM
    • Search Visual EM
    • Thumbnail Library
  • For Authors
    • Instructions for Authors
    • Submit to JETem
    • Photo Consent
    • Policies
      • Peer Review Policy
      • Copyright Policy
      • Editorial Policy, Ethics and Responsibilities
      • Conflicts of Interest & Informed Consent
      • Open Access Policy
  • For Reviewers
    • Instructions for JETem Reviewers
    • Interested in Being a JETem Reviewer?
  • Topic
    • Abdominal/Gastroenterology
    • Administration
    • Board Review
    • Cardiology/Vascular
    • Certifying Exam Cases
      • Clinical Decision-Making
      • Prioritization
      • Communication
      • Procedure & Ultrasound
    • Clinical Informatics, Telehealth and Technology
    • Dermatology
    • EMS
    • Endocrine
    • ENT
    • Faculty Development
    • Genitourinary
    • Geriatrics
    • Hematology/Oncology
    • Infectious Disease
    • Miscellaneous (stats, etc)
    • Neurology
    • Ob/Gyn
    • Ophthalmology
    • Orthopedics
    • Pediatrics
    • Pharmacology
    • Procedures
    • Psychiatry
    • Renal/Electrolytes
    • Respiratory
    • Social Determinants of Health
    • Toxicology
    • Trauma
    • Ultrasound
    • Urology
    • Wellness
    • Wilderness
  • Modality
    • Certifying Exam Practice Cases
      • Clinical Care Cases
      • Communication & Procedural Cases
      • Old School Oral Board Cases
    • Curricula
    • Innovations
    • Lectures
    • Podcasts
    • Simulation
    • Small Group Learning
    • Team Based Learning (TBL)
    • Visual EM
  • Contact Us

A Case Report of May-Thurner Syndrome Identified on Abdominal Ultrasound

Michelle Brown, DO*, Edmund Hsu, MD*, Christopher McCoy, MD* and Matthew Whited, MD*

*University of California, Irvine, Department of Emergency Medicine, Orange, CA

Correspondence should be addressed to Michelle Brown, DO at mdbrown1@hs.uci.edu

DOI: https://doi.org/10.21980/J8C64K Issue 7:3
Cardiology/VascularVisual EM
[mrp_rating_result]
Creative Commons images
Creative Commons images
Creative Commons images
Creative Commons images
Creative Commons images
Creative Commons images
Creative Commons images
Creative Commons images

ABSTRACT:

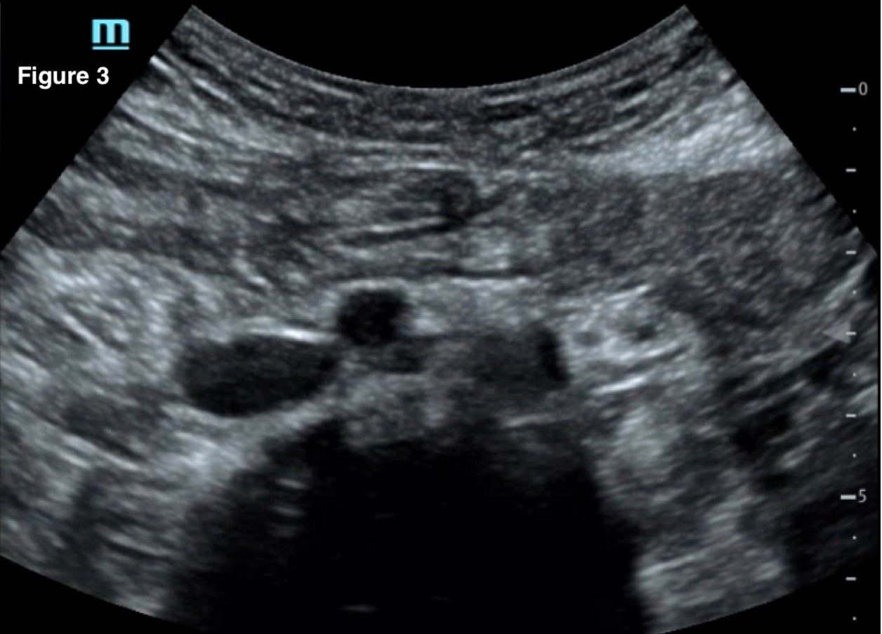
May-Thurner syndrome (MTS) is most commonly caused by the compression of the left iliac vein by the right iliac artery against the lumbar spine, which leads to the development of a partial or occlusive deep venous thrombosis (DVT).1 Diagnosis begins with a duplex ultrasound of the lower extremities to evaluate for a femoropopliteal thrombus, and in high-risk patients where a more proximal DVT is suspected and the DVT ultrasound is negative, a computed tomography venogram (CTV) or magnetic resonance venogram (MRV) is performed.1,3 In this case report, a patient presented to the emergency department (ED) with two days of left lower extremity pain and swelling. Initial lower extremity DVT ultrasound was negative, so a CTV was ordered and revealed a thrombus in the left common iliac vein with overlying compression by the right common iliac artery, suggesting the diagnosis of May-Thurner syndrome (Figure 1). Afterwards, a point-of-care ultrasound (POCUS) was performed at bedside to evaluate the caval and iliac arteries and the findings were consistent with the CTV (Figure 2, 3, 4). If the POCUS was performed prior to the CTV, the patient may have been spared the radiation exposure from CT, as well as the risks of intravenous (IV) contrast required for a venogram. Therefore, in high risk patients in whom a negative DVT ultrasound will prompt advanced imaging with CTV or MRV, I propose the addition of a lower abdominal ultrasound using a curvilinear probe to assess the caval and iliac arteries prior to obtaining a CTV or MRV.

Topics:

May-Thurner Syndrome, leg swelling, POCUS, ultrasound, deep venous thrombosis.

Icon

May-Thurner Syndrome - Manuscript

1 file(s) 3.96 MB
Download
Icon

May-Thurner Syndrome - Images

1 file(s) 2.17 MB
Download
CTIssue 7:3Ultrasound

Reviews:

[mrp_rating_entry_details_list layout="inline" show_rating_items="false"][mrp_rating_form]
Creative Commons images

Vitreous Hemorrhage Case Report

30 Jun, 22
Creative Commons images

Evaluation of ACE-inhibitor Induced Laryngeal...

30 Jun, 22

JETem is an online, open access, peer-reviewed, journal-repository for EM educators. We are PMC Indexed.

Most Viewed

  • Enhancing Emergency Medicine Resident Education: A Weekly Education Series to Augment Electrocardiogram Education
  • Development and Design of a Pediatric Case-Based Virtual Escape Room on Acute Iron Toxicity
  • Pre-Clinical Case Competition to Assess Confidence in Responding to Select Out-Of-Hospital Medical Emergencies
  • Pediatric Difficult Airway Simulation Day
  • Cards Against Pulmonology

Visit Our Collaborators

 

 

Creative Commons Licence
This work is licensed under a Creative Commons Attribution 4.0 International License.

About

Education

Learners should benefit from active learning. JETem accepts submissions of team-based learning, small group learning, simulation, podcasts, lectures, innovations, curricula, question sets, and visualEM.

Scholarship

We believe educators should advance through the scholarship of their educational work. JETem gives educators the opportunity to publish scholarly academic work so that it may be widely distributed, thereby increasing the significance of their results.

Links

  • Home
  • Aim and Scope
  • Current Issue
  • For Reviewers
  • Instructions for Authors
  • Contact Us

Newsletter

Sign up to receive updates from JETem regarding newly published issues and findings.

Copyright Creative Commons Attribution 4.0 International