JETem
  • Home
  • About
    • Aim and Scope
    • Our Team
    • Editorial Board
    • FAQ
  • Issues
    • Current Issue
    • Ahead of Print
    • Past Issues
  • Visual EM
    • Latest Visual EM
    • Search Visual EM
    • Thumbnail Library
  • For Authors
    • Instructions for Authors
    • Submit to JETem
    • Photo Consent
    • Policies
      • Peer Review Policy
      • Copyright Policy
      • Editorial Policy, Ethics and Responsibilities
      • Conflicts of Interest & Informed Consent
      • Open Access Policy
  • For Reviewers
    • Instructions for JETem Reviewers
    • Interested in Being a JETem Reviewer?
  • Topic
    • Abdominal/Gastroenterology
    • Administration
    • Board Review
    • Cardiology/Vascular
    • Certifying Exam Cases
      • Clinical Decision-Making
      • Prioritization
      • Communication
      • Procedure & Ultrasound
    • Clinical Informatics, Telehealth and Technology
    • Dermatology
    • EMS
    • Endocrine
    • ENT
    • Faculty Development
    • Genitourinary
    • Geriatrics
    • Hematology/Oncology
    • Infectious Disease
    • Miscellaneous (stats, etc)
    • Neurology
    • Ob/Gyn
    • Ophthalmology
    • Orthopedics
    • Pediatrics
    • Pharmacology
    • Procedures
    • Psychiatry
    • Renal/Electrolytes
    • Respiratory
    • Social Determinants of Health
    • Toxicology
    • Trauma
    • Ultrasound
    • Urology
    • Wellness
    • Wilderness
  • Modality
    • Certifying Exam Practice Cases
      • Clinical Care Cases
      • Communication & Procedural Cases
      • Old School Oral Board Cases
    • Curricula
    • Innovations
    • Lectures
    • Podcasts
    • Simulation
    • Small Group Learning
    • Team Based Learning (TBL)
    • Visual EM
  • Contact Us

Lunate Dislocation

Jonathan Peña, MD*

*University of California, Irvine, Department of Emergency Medicine, Orange, CA

Correspondence should be addressed to Jonathan Peña at jdpena@uci.edu

DOI: https://doi.org/10.21980/J86K56Issue 2:1
OrthopedicsTraumaVisual EM
[mrp_rating_result]
Creative Commons images
Creative Commons images

History of present illness:

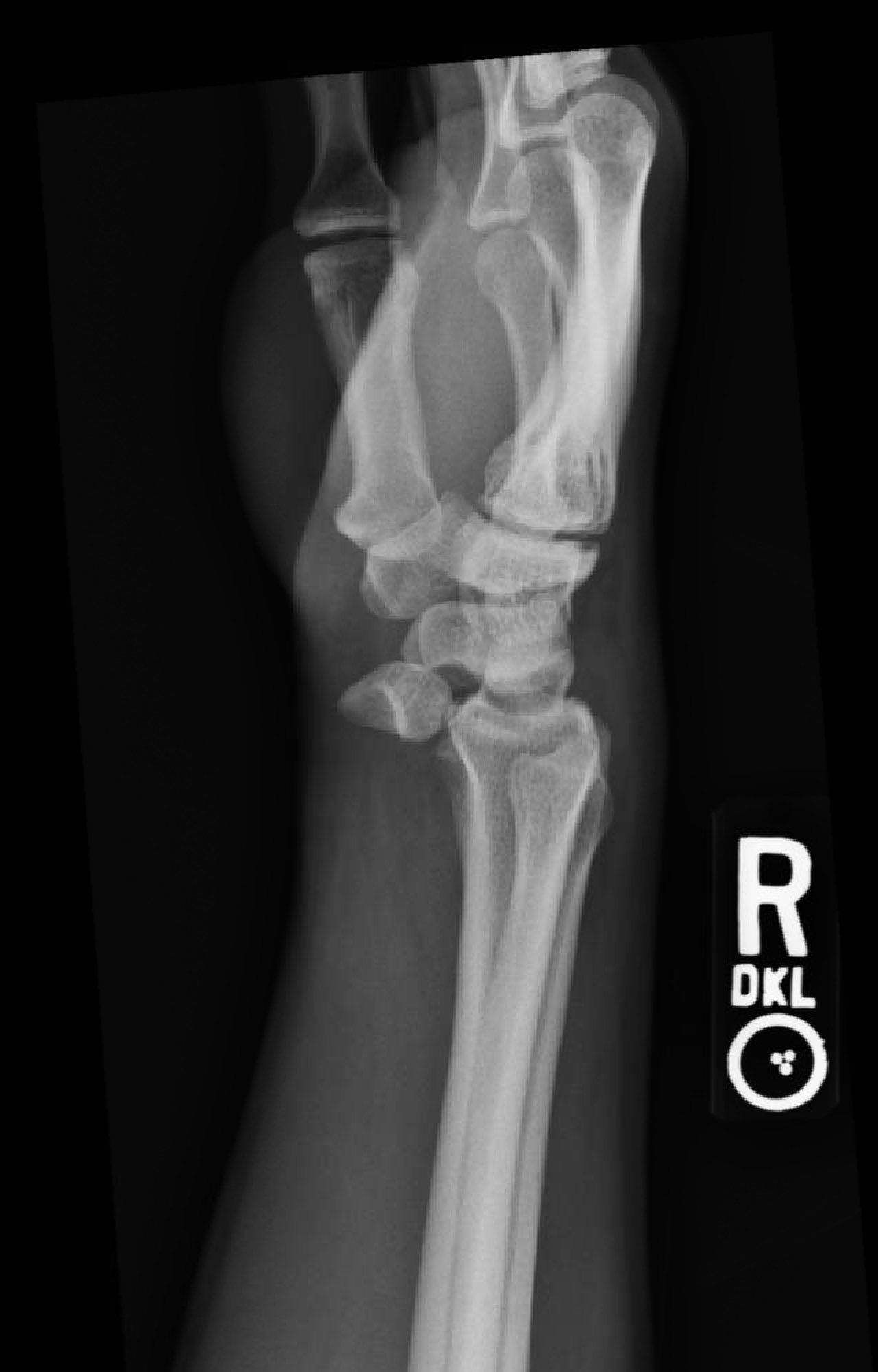
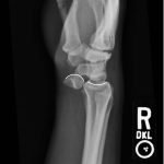
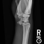
A 28-year-old right-handed male presented to the ED after he fell onto his outstretched right hand after being thrown from his motorcycle at highway speeds. He complained of right wrist pain. On exam, he had a visible deformity of his right wrist with diffuse tenderness to palpation over the wrist. Sensation was intact and he had 2+ radial and ulnar pulses.

Significant findings:

Plain film of the right wrist showed the classic “spilled teacup” consistent with a lunate dislocation. There is a loss of the normal articulation between the distal radius and lunate (white curved highlights represent expected points of articulation).

Discussion:

The most common mechanism leading to a dislocation of lunate is a fall onto an outstretched hand with the wrist in extension. Damage to the ligamentous infrastructure (commonly the dorsal radiolunate ligament) causes destabilization.1 Lunate dislocations are distinguished from perilunate dislocations by assessing for the preservation of the articulation between the lunate and distal radius. In lunate dislocations, this articulation is disrupted leading to the classic “spilled teacup” appearance as seen above. However, if the articulation between the distal radius and lunate is preserved, but there is displacement of the carpal bones (eg, scaphoid, triquetrum, etc), then the dislocation is referred to as a perilunate dislocation.

Plain film radiography oriented in the lateral view is typically the first-line modality for diagnosis. However, advanced imaging such as computed tomography or magnetic resonance imaging may be required to rule out fracture.

It is important to keep in mind that the lunate receives its blood supply distally from the anterior interosseous artery; therefore, any injury (eg, fracture) that disrupts perfusion places the patient at risk for avascular necrosis.2 As with all orthopedic upper extremity injuries, a thorough neurologic exam should be performed assessing for injury to the median, radial, and ulnar nerves. After diagnosis, an emergent consult to a hand specialist should be obtained because surgery is required for all forms of lunate dislocations. Prior to surgery, one may be placed in a posterior long arm splint. 3

Topics:

Lunate dislocation, orthopedics, ortho, hand.

References:

  1. Garcia-Elias M. Carpal instability. In: Wolfe SW, Hotchkiss RN, Pederson WC, Kozin SH, eds. Green’s Operative Hand Surgery. 6th Philadelphia, PA: Elsevier; 2011:483.
  2. WilkeB, Kakar S. Delayed avascular necrosis and fragmentation of the lunate following perilunate dislocation. Orthopedics. 2015;38(6):e539-542. doi: 10.3928/01477447-20150603-92
  3. Budoff JE. Treatment of acute lunate and perilunate dislocations. J Hand Surg Am. 2008;33(8):1424. doi: 10.1016/j.jhsa.2008.07.016
Icon

Lunate Dislocation - Case Report

1 file(s) 295 KB
Download
Icon

Lunate Dislocation - Images

1 file(s) 865 KB
Download
Issue 2:1X-Ray

Reviews:

[mrp_rating_entry_details_list layout="inline" show_rating_items="false"][mrp_rating_form]
Creative Commons images

Bedside Echocardiography for Rapid Diagnosis of...

23 Jan, 17
Creative Commons images

K-9 Police Dog Bite

23 Jan, 17

JETem is an online, open access, peer-reviewed, journal-repository for EM educators. We are PMC Indexed.

Most Viewed

  • Enhancing Emergency Medicine Resident Education: A Weekly Education Series to Augment Electrocardiogram Education
  • Development and Design of a Pediatric Case-Based Virtual Escape Room on Acute Iron Toxicity
  • Pre-Clinical Case Competition to Assess Confidence in Responding to Select Out-Of-Hospital Medical Emergencies
  • Pediatric Difficult Airway Simulation Day
  • Cards Against Pulmonology

Visit Our Collaborators

 

 

Creative Commons Licence
This work is licensed under a Creative Commons Attribution 4.0 International License.

About

Education

Learners should benefit from active learning. JETem accepts submissions of team-based learning, small group learning, simulation, podcasts, lectures, innovations, curricula, question sets, and visualEM.

Scholarship

We believe educators should advance through the scholarship of their educational work. JETem gives educators the opportunity to publish scholarly academic work so that it may be widely distributed, thereby increasing the significance of their results.

Links

  • Home
  • Aim and Scope
  • Current Issue
  • For Reviewers
  • Instructions for Authors
  • Contact Us

Newsletter

Sign up to receive updates from JETem regarding newly published issues and findings.

Copyright Creative Commons Attribution 4.0 International