Lateral Epicondyle Fracture
History of present illness:
A 26-year-old male presented to the emergency department by ambulance after a bicycle accident. The patient lost control of his bike, fell over the handle bars, and landed on outstretched arms. He felt immediate pain in both elbows, described as 10/10, non-radiating, “bone-breaking” pain. The patient denied head trauma, loss of consciousness, or other complaints.
Significant findings:
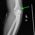
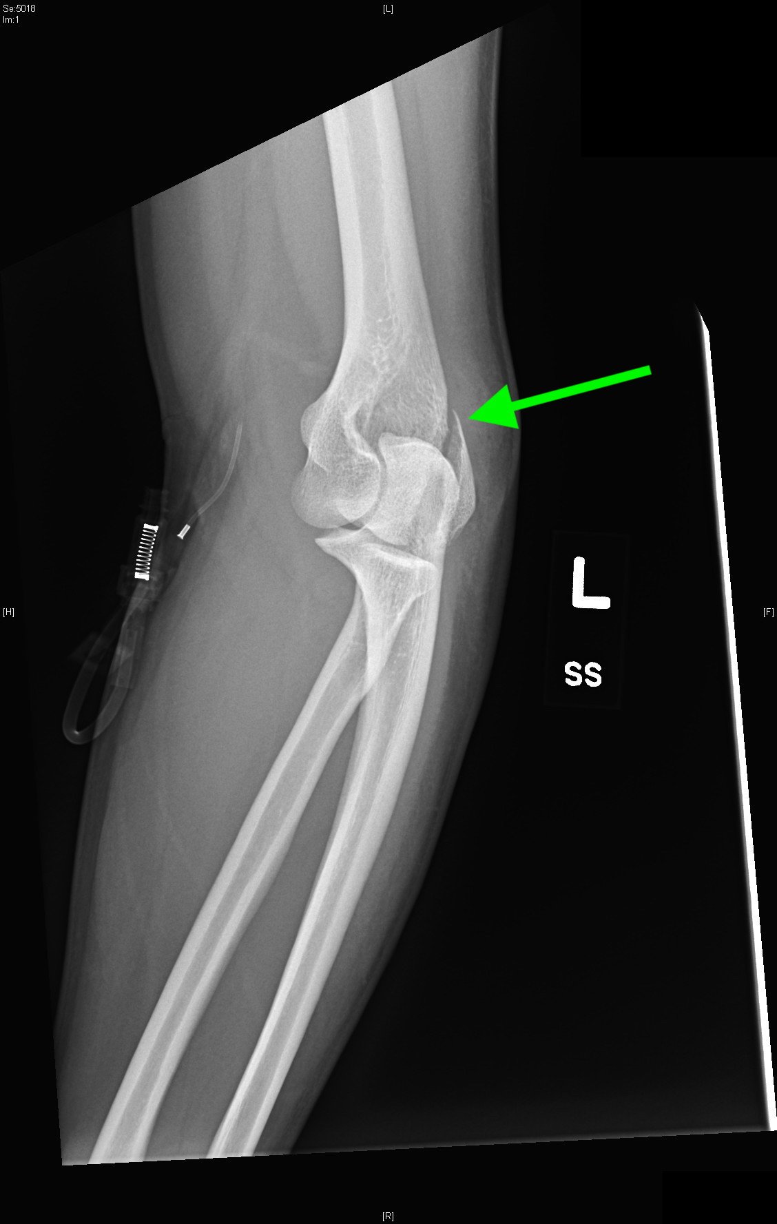
Radiographs of the right elbow revealed an acute fracture through the lateral epicondyle with dislocation of the radial head inferiorly. Radiographs of the left elbow revealed a slightly angulated fracture through the lateral epicondyle.
Discussion:
Lateral epicondyle fractures account for up to 15% of all elbow fractures in children. However, these are rare in adults, with an incidence of 5.7/100,000.1 These fractures can disrupt the articulation with the radial head, causing elbow instability.2 The mechanism is powerful varus force on an extended elbow, such as a fall on an outstretched arm.Lateral epicondyle fractures are considered Salter-Harris type IV fractures given their extension from the metaphysis through the physis into the epiphysis.2 Determining the fracture classification is important for management. Stage 1 fractures are <2mm displaced, stage 2 are 2-4mm displaced, and stage 3 are completely displaced and rotated.3 Stage 1 fractures are treated with cast immobilization for 3-4 weeks at 90-degree flexion with forearm pronated. Recommendations for close follow up are given because 15% of these fractures can displace over time.4 If a stage 2 fracture has questionable stability, closed reduction pinning is recommended. Stage 3 fractures require open reduction and internal fixation.5 Consulting orthopedic surgery is recommended if stage 2 or 3 fractures are present or if there is uncertainty about instability. Neurovascular impingement is generally not observed but ulnar nerve palsy may present years later if the initial fracture is not treated. The main complication of these fractures is nonunion, which may lead to a valgus deformity.5
Given the patient’s bilateral condylar fractures, orthopedics was consulted and recommended reduction of the dislocated right radial head with bilateral splinting. Post-reduction films revealed successful reduction and patient was neurovascularly intact before and after the procedure. The patient was discharged with instructions for short interval follow up in the orthopedics clinic to discuss the necessity for surgical management of the fractures.
Topics:
Lateral epicondyle, fracture, radiograph.
References:
- Amir S, Jannis S, Daniel R. Distal humerus fractures: a review of current therapy concepts. Curr Rev Musculoskelet Med. 2016;9(2):199-206. doi:10.1007/s12178-016-9341-z
- Beaty JH, Kasser JR. The elbow: Physeal fractures, apophyseal injuries of the distal humerus, avascular necrosis of the trochlea, and T-condylar fractures. In: Beaty JH, Kasser JR, eds. Rockwood and Wilkins’ Fractures in Children. 5th ed. Philadelphia, PA: Lippincott, Williams, & Wilkins; 2001:625.
- Jakob R, Fowles JV, Rang M, Kassab MT. Observations concerning fractures of the lateral humeral condyle in children. J Bone Joint Surg Br. 1975;57(4):430-436.
- Knapik DM, Gilmore A, Liu RW. Conservative Management of Minimally Displaced (</=2 mm) Fractures of the Lateral Humeral Condyle in Pediatric Patients: A Systematic Review. J Pediatr Orthop. 2017;37(2):e83-e87. doi:10.1097/BPO.0000000000000722
- Flynn JC. Nonunion of slightly displaced fractures of the lateral humeral condyle in children: an update. J Pediatr Orthop. 1989;9(6):691-696.






