Acute comminuted intertrochanteric hip fracture
History of present illness:
A 69-year-old male presented to the emergency department (ED) with left hip pain after he was rear-ended on his bicycle by a vehicle traveling 10-15 miles per hour. He had normal vital signs. On exam, his left lower extremity was externally rotated and shortened with trochanteric point tenderness. His pelvis was stable. His lower extremity compartments were soft, and he had 2+ dorsalis pedis and posterior tibial pulses.
Significant findings:
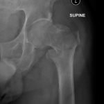
Plain film of the left hip showed acute comminuted displaced intertrochanteric fracture (red arrows) of left femur with varus angulation (green lines) and no dislocation. Greater (blue arrow) and lesser (yellow arrow) trochanters are annotated for reference.
Discussion:
Intertrochanteric (IT) femur fractures comprise around 50% of all diagnosed hip fractures and are considered extracapsular. They most often occur in elderly, female, or osteopenic patients as a result of low-energy trauma, and one-year mortality rates range between 15% and 30%.1,2,3 Patients classically present with external rotation and shortening, and fractures are generally classified as unstable when the posteromedial cortex is disrupted.4,5 Anteroposterior (AP) and lateral pelvis radiographs are first-line while computed tomography (CT), magnetic resonance imaging (MRI), and bone scans are more sensitive secondary modalities.6 Since IT fractures involve vascular cancellous bone, they may cause significant blood loss into the thigh, which may lead to compartment syndrome. Avascular necrosis and malunion have also been described as sequelae of this fracture pattern.7 A thorough integumentary and neurovascular exam is important for any ED provider. Early orthopedics consultation is important because reduction and fixation or arthroplasty are indicated in the majority of operative candidates.4
Topics:
Hip fracture, intertrochanteric, comminuted, orthopedics.
References:
- Kenzora JE, McCarthy RE, Lowell JD, Sledge CB. Hip fracture mortality. Relation to age, treatment, preoperative illness, time of surgery, and complications. Clin Orthop Relat Res. 1984;186:45-56.
- Grisso JA, Kelsey JL, Strom BL, Chiu GY, Maislin G, O’Brien LA, et al. Risk factors for falls as a cause of hip fracture in women. The Northeast Hip Fracture Study Group. N Engl J Med. 1991;324(19):1326–1331. doi: 10.1056/NEJM199105093241905
- Schnell S, Friedman SM, Mendelson DA, Bingham KW, Kates SL. The 1-year mortality of patients treated in a hip fracture program for elders. Geriatr Orthop Surg Rehabil. 2010;1(1):6-14. doi: 10.1177/2151458510378105
- Brunner LC, Eshilian-Oates L, Kuo TY. Hip fractures in adults. Am Fam Physician. 2003; 67(3):537-542.
- Knobe M, Gradl G, Ladenburger A, Tarkin IS, Pape HC. Unstable intertrochanteric femur fractures: is there a consensus on definition and treatment in Germany? Clin Orthop Relar Res. 2013;471(9):2831–2840. doi: 10.1007/s11999-013-2834-9
- Foster, KW. Hip fractures in adults. In: Downey BC, ed. UpToDate. Waltham, MA: 2017. www.uptodate.com. Updated April 20, 2017. Accessed April 5, 2018.
- Baumgaertner MR, Oetgen ME. Intertrochanteric hip fractures. In: Browner BD, Jupiter JB, Levine AM, Trafton PG, eds. Skeletal Trauma: Basic Science, Management, and Reconstruction. 3rd Philadelphia, PA: Elsevier; 2003.





