Home
About
Aim and Scope
Our Team
Editorial Board
FAQ
Issues
Current Issue
Ahead of Print
Past Issues
Visual EM
Latest Visual EM
Search Visual EM
Thumbnail Library
For Authors
Instructions for Authors
Submit to JETem
Photo Consent
Policies
Peer Review Policy
Copyright Policy
Editorial Policy, Ethics and Responsibilities
Conflicts of Interest & Informed Consent
Open Access Policy
For Reviewers
Instructions for JETem Reviewers
Interested in Being a JETem Reviewer?
Topic
Abdominal/Gastroenterology
Administration
Board Review
Cardiology/Vascular
Certifying Exam Cases
Clinical Decision-Making
Prioritization
Communication
Procedure & Ultrasound
Clinical Informatics, Telehealth and Technology
Dermatology
EMS
Endocrine
ENT
Faculty Development
Genitourinary
Geriatrics
Hematology/Oncology
Infectious Disease
Miscellaneous (stats, etc)
Neurology
Ob/Gyn
Ophthalmology
Orthopedics
Pediatrics
Pharmacology
Procedures
Psychiatry
Renal/Electrolytes
Respiratory
Social Determinants of Health
Toxicology
Trauma
Ultrasound
Urology
Wellness
Wilderness
Modality
Certifying Exam Practice Cases
Clinical Care Cases
Communication & Procedural Cases
Old School Oral Board Cases
Curricula
Innovations
Lectures
Podcasts
Simulation
Small Group Learning
Team Based Learning (TBL)
Visual EM
Contact Us
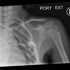
Infant Clavicle Fracture
Uncategorized
[mrp_rating_result]
Infant Clavicle Fracture - Image
1 file(s)
3.19 MB
Download
Keywords:
Infant clavicle fracture, trauma, MVC, motor vehicle collision
Photograph
Reviews:
[mrp_rating_entry_details_list layout="inline" show_rating_items="false"][mrp_rating_form]
Pediatric Clavicle Fracture
01 Sep, 19
10 Blade Scalpel
01 Sep, 19