Glass Foreign Body Hand Radiograph
History of present illness:
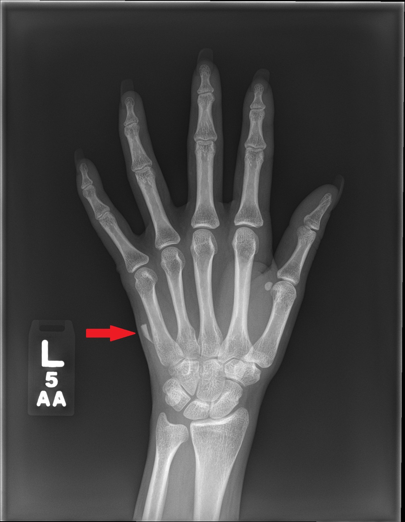
A 27-year-old female sustained an injury to her left hand after she tripped and fell on a vase. She presented to the emergency department (ED) complaining of pain over the laceration. Upon examination, patient presented with multiple small abrasions of the medial aspect of the left 5thdigit that are minimally tender. Additionally, she has one 0.5cm linear laceration of the medial aspect of the 5thmetacarpal with severe tenderness in the area and palpable underlying foreign body.
Significant findings:
Left hand plain radiography demonstrated a subcutaneous foreign body medial to the 5thmetacarpal that is radiopaque, trapezoidal in shape, and measures approximately 11mm x 3mm.
Discussion:
Laceration repairs are amongst the most common procedures in the emergency department; however, consideration for foreign body is often underdiagnosed. Imaging is performed in only about 11% of all traumatic wounds in the ED.1 Of those injuries relating to the hand that are subsequently imaged, about 15% are found to have a foreign body.2,3 Additionally, it is estimated that foreign bodies are present in 7% to 8.7% of all wounds caused by glass objects.4,5 Glass is among the most common foreign bodies in lacerations, and fortunately they are radiopaque and relatively well visualized radiographically. It has been demonstrated that 2mm glass foreign bodies have a 99% detection rate with radiography, and 1mm glass foreign bodies an 83% detection rate.6 Patient perception of foreign body has a positive predictive value of 31%, making it a poor source in influencing clinical decision-making to obtain wound radiographs.3 Clinicians should have a high suspicion for foreign body in lacerations, particularly those caused by glass, and utilize close physical examination and imaging for evaluation.
Topics:
Radiography, glass, foreign body, trauma.
References:
- Hollander JE, Singer AJ, Valentine S, Henry MC. Wound registry: development and validation. Ann Emerg Med. 1995;25(5):675-85. doi: 10.1016/S0196-0644(95)70183-4
- Potini VC, Francisco R, Shamian B, Tan V. Sequelae of foreign bodies in the wrist and hand. Hand (NY). 2013;8(1):77-81. doi: 10.1007/s11552-012-9481-6
- Steele MT, Tran LV, Watson WA, Muelleman RL. Retained glass foreign bodies in wounds: predictive value of wound characteristics, patient perception, and wound exploration. Am J Emerg Med. 1998;16(7):627-30. doi: 10.1016/S0735-6757(98)90161-9
- Karcz A, Korn R, Burke MC, et al. Malpractice claims against emergency physicians in Massachusetts: 1975-1993. Am J Emerg Med. 1996;14(4):341-5. doi: 10.1016/S0735-6757(96)90044-3
- Orlinsky M, Bright AA. The utility of routine x-rays in all glass-caused wounds. Am J Emerg Med. 2006;24(2):233-6. doi: 10.1016/j.ajem.2005.06.008
- Courter BJ. Radiographic screening for glass foreign bodies–what does a “negative” foreign body series really mean? Ann Emerg Med. 1990;19(9):997-1000. doi: 10.1016/S0196-0644(05)82562-4



