An Elderly Female with Dyspnea and Abdominal Pain
History of Present Illness:
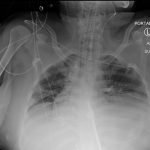
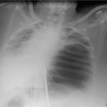
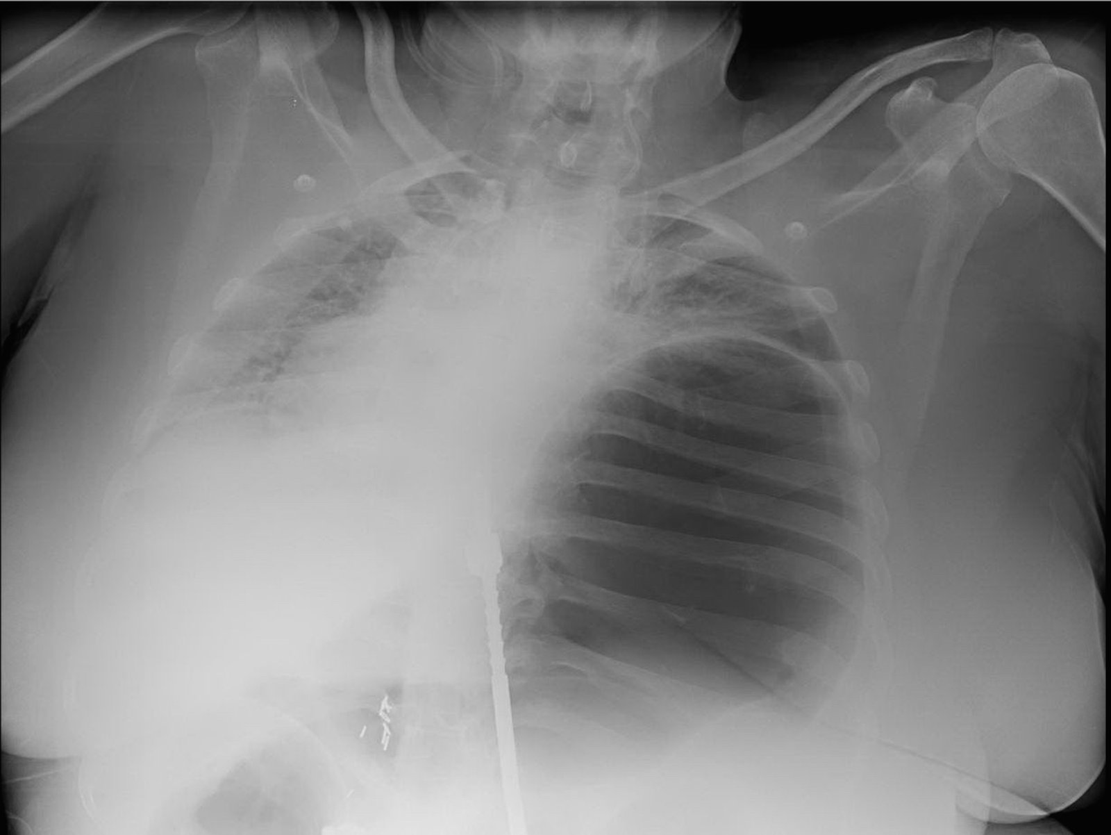
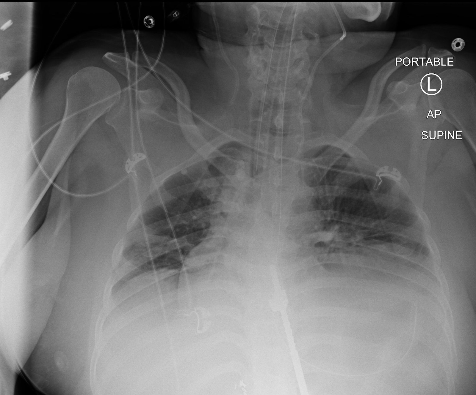
A 55-year-old female presented via transfer from a referring hospital with 48 hours of abdominal pain, vomiting and dyspnea. She was found to be in severe distress. Her temperature was 37.5°C, heart rate 130 beats per minute, respiratory rate 47 breaths per minute, blood pressure 80/48 mmHg, and oxygen saturation of 95% on a non-rebreather mask. She had distended neck veins, diminished breath sounds on the left hemi-thorax, and a distended abdomen. A chest x-ray that had been obtained at the referring hospital was immediately reviewed. The decision was made to intubate the patient. Following intubation, a nasogastric tube was placed with marked improvement in her hemodynamics. An abdomen-pelvis CT was obtained which showed a para-esophageal hernia with the majority of the stomach located in the left hemi-thorax and evidence of a bowel obstruction.
Significant findings:
Radiography shows a dilated, gas-filled structure that fills nearly the entire left hemi-thorax. Lung markings are visible in the uppermost portion of the left hemi-thorax. There is mediastinal shift to the right. In the visualized portion of the abdomen, dilated loops of bowel are also visualized. This constellation of findings is consistent with a tension gastrothorax.
Discussion:
Tension gastrothorax is a rare complication of blunt trauma, diaphragmatic hernias, and certain surgical procedures.1,2 Clinically, a tension gastrothorax may mimic that of a tension pneumothorax, making it difficult to diagnose.3,4 Stabilizing treatment includes decompressing the stomach by means of a nasogastric (NG) tube.2 Placement may be difficult due the intra-thoracic position of the stomach leading to kinking of the tube. The attempt to place an NG tube can lead to hyperventilation and air swallowing, which can aggravate gastric distention.4 Failure to decompress the stomach, however, may lead to patient decompensation and cardiac arrest.5 Definitive treatment is surgical repair.2
Topics:
Tension gastrothorax, GI, gastroenterology, cardiothoracic, radiograph, CXR, abdominal, dyspnea, shortness of breath.
References:
- Elangovan A, Chacko J, Gadiyaram S, Moorthy R, Ranjan P. Traumatic tension gastrothorax and pneumothorax. J Emerg Med. 2013;44(2):e279-80. doi: 10.1016/j.emermed.2012.07.043
- Koa Y, Lee WJ, Lin HJ. Tension gastrothorax: a life-threatening cause of acute abdominal pain. CMAJ. 2009;180(9):983. doi: 10.1503/cmaj.081094
- Lee WJ, Lee YS. Traumatic diaphragmatic rupture: a diagnostic challenge in the emergency department. Emerg Med J. 2007;24(8):601. doi: 10.1136/emj.2006.040451
- Nishijima D, Zehbtachi S, Austin RB. Acute posttraumatic tension gastrothorax mimicking acute tension pneumothorax. Am J Emerg Med. 2007;25(6):734:e5-6. doi: 10.1097/01.mej.0000103465.32882.a0
- Ahn S, Kim W, Sohn CH, et al. Tension viscerothorax after blunt abdominal trauma: a case report and review of the literature. J Emerg Med. 2012;43(6):e451-3.



