JETem
  • Home
  • About
    • Aim and Scope
    • Our Team
    • Editorial Board
    • FAQ
  • Issues
    • Current Issue
    • Ahead of Print
    • Past Issues
  • Visual EM
    • Latest Visual EM
    • Search Visual EM
    • Thumbnail Library
  • For Authors
    • Instructions for Authors
    • Submit to JETem
    • Photo Consent
    • Policies
      • Peer Review Policy
      • Copyright Policy
      • Editorial Policy, Ethics and Responsibilities
      • Conflicts of Interest & Informed Consent
      • Open Access Policy
  • For Reviewers
    • Instructions for JETem Reviewers
    • Interested in Being a JETem Reviewer?
  • Topic
    • Abdominal/Gastroenterology
    • Administration
    • Board Review
    • Cardiology/Vascular
    • Certifying Exam Cases
      • Clinical Decision-Making
      • Prioritization
      • Communication
      • Procedure & Ultrasound
    • Clinical Informatics, Telehealth and Technology
    • Dermatology
    • EMS
    • Endocrine
    • ENT
    • Faculty Development
    • Genitourinary
    • Geriatrics
    • Hematology/Oncology
    • Infectious Disease
    • Miscellaneous (stats, etc)
    • Neurology
    • Ob/Gyn
    • Ophthalmology
    • Orthopedics
    • Pediatrics
    • Pharmacology
    • Procedures
    • Psychiatry
    • Renal/Electrolytes
    • Respiratory
    • Social Determinants of Health
    • Toxicology
    • Trauma
    • Ultrasound
    • Urology
    • Wellness
    • Wilderness
  • Modality
    • Certifying Exam Practice Cases
      • Clinical Care Cases
      • Communication & Procedural Cases
      • Old School Oral Board Cases
    • Curricula
    • Innovations
    • Lectures
    • Podcasts
    • Simulation
    • Small Group Learning
    • Team Based Learning (TBL)
    • Visual EM
  • Contact Us

Computed Tomography Diagnosis of Appendicitis

Christopher Libby, MPH* and Shannon Toohey, MD, MAEd^

*University of Massachusetts Medical School, Worcester, MA
^University of California, Irvine, Department of Emergency Medicine, Orange, CA

Correspondence should be addressed to Christopher Libby at christopher.libby@umassmed.edu

DOI: https://doi.org/10.21980/J8F30NIssue 2:1
Abdominal/GastroenterologyVisual EM
[mrp_rating_result]
Creative Commons images
Creative Commons images
Creative Commons images
Creative Commons images
Creative Commons images
Creative Commons images
Creative Commons images
Creative Commons images
Creative Commons images
Creative Commons images
Creative Commons images

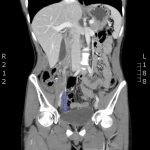
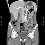
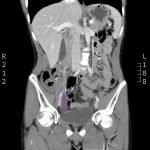
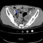
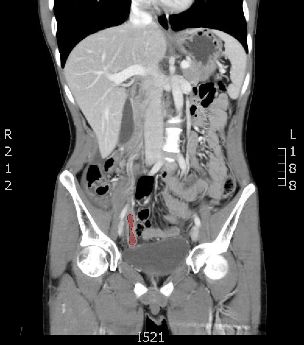
History of present illness:

A 19-year-old male with no previous medical history presented with 7/10 non-radiating, constant, sharp, periumbilical pain associated with nausea, and four episodes of vomiting. He was seen at urgent care where his labs showed a WBC of 16,000 x 103/mm3. He was subsequently sent to the emergency department (ED) for concern of appendicitis. Of note, his pain worsened with bumps during the drive to the ED.  After arriving to the ED the pain migrated to the right lower quadrant. Computed tomography (CT) revealed acute appendicitis and the patient was admitted to the surgery service and taken to the operating room for an appendectomy.

Significant findings:

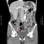
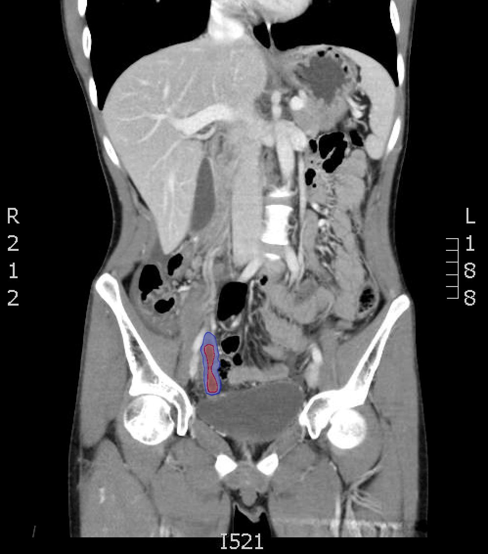
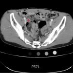
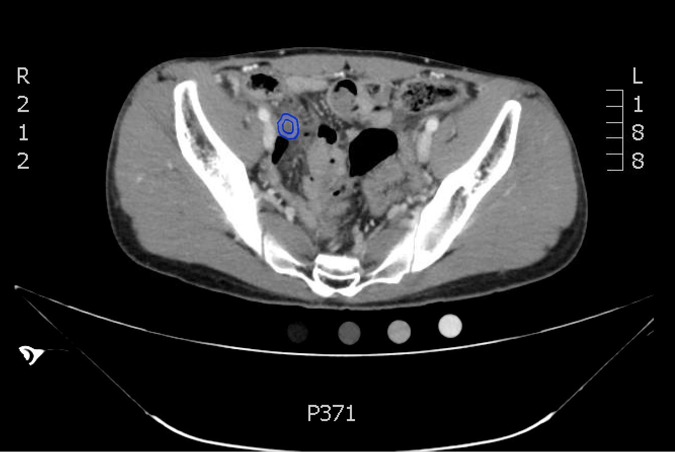
The CT abdomen/pelvis with intravenous contrast shows a dilated appendix (see red outline) with thickened, hyperenhancing wall (see blue outline) best visualized in the axial and coronal planes.

Discussion:

Appendicitis is a common diagnosis in the emergency department in patients presenting with abdominal pain, occurring most frequently in young adults with a peak incidence in those aged 10-19.1 Failure to quickly diagnose acute appendicitis can result in perforation rates as high as 80 percent.2 While the diagnosis of appendicitis can be made clinically, CT is a non-invasive modality that improves the detection of appendicitis with sensitivities of 88–100%, specificities of 91–99%, positive predictive values of 92–98%, negative predictive values of 95–100%, and accuracies of 94–98%.3-8 The major advantage of CT over both clinical exam and ultrasound is the ability of the radiologist to exclude acute appendicitis if the appendix appears normal. However, CT carries the risks associated with ionizing radiation. While previously there was some debate on the best choice for type of CT scan and use of IV and oral contrast, recent studies have shown that CT abdomen/pelvis with IV contrast alone is sufficient for diagnosis of appendicitis.9, 10

Topics:

Appendicitis, appy, CT, right lower quadrant abdominal pain, abdominal pain.

References:

  1. Addiss DG, Shaffer N, Fowler BS, Tauxe RV. The epidemiology of appendicitis and appendectomy in the United States. Am J Epidemiol. 1990;132(5):910-925.
  2. Bickell NA, Aufses AH, Rojas M, Bodian C. How time affects the risk of rupture in appendicitis. J Am Coll Surg. 2016;202:401-406. doi: 10.1016/j.jamcollsurg.2005.11.016
  3. Lane MJ, Katz DS, Ross BA, Clautice-Engle TL, Mindelzun RE, Jeffrey RB Jr. Unenhanced helical CT for suspected acute appendicitis. AJR Am J Roentgenol. 1997;168(2):405-409. doi: 10.2214/ajr.168.2.9016216
  4. Rao PM, Rhea JT, Novelline RA. Helical CT combined with contrast material administered only through the colon for imaging of suspected appendicitis. AJR Am J Roentgenol. 1997;169(5):1275-1280.
  5. Rao PM, Rhea JT, Noveline RA, McCabe CJ, Lawrason JN, Berger DL, et al. Helical CT technique for the diagnosis of appendicitis: prospective evaluation of focused appendix technique. Radiology. 1997;202(1):139-144.
  6. Walker S, Haun W, Clark J, McMillin K, Zeren F, Gilliland T. The value of limited computed tomography with rectal contrast in the diagnosis of acute appendicitis. Am J Surg. 2000;180(6):450–454.
  7. Ujiki MB, Murayam KM, Cribbins AJ, Angelos P, Dawes L, Prystowsky JB, et al. CT scan in the management of acute appendicitis. J Surg Res. 2002;105(2):119-122.
  8. Willekens I, Peeters E, De Maeseneer MD, Mey J. The normal appendix on CT: Does size matter? PLoS One. 2014;9(5): e96476. doi: 10.1371/journal.pone.0096476
  9. Drake FT, Alfonso R, Bhargava P, Cuevas C, Dighe MK, Florence MG, et al. Enteral contrast in the computed tomography diagnosis of appendicitis. Comparative effectiveness in a prospective surgical cohort. Ann Surg. 2014;260(2):311-316. doi: 10.1097/SLA.0000000000000272
  10. Servaes S, Srinivasan A, Pena A, del Pozo G, Darge K. CT diagnosis of appendicitis in children: comparison of orthogonal planes and assessment of contrast opacification of the appendix. Pediatr Emerg Care. 2015;31(3):161-163. doi: 10.1097/PEC.0000000000374
Icon

CT Diagnosis of Appendicitis - Case Report

1 file(s) 391 KB
Download
Icon

CT Diagnosis of Appendicitis - Images

1 file(s) 59.5 MB
Download
CTIssue 2:1

Reviews:

[mrp_rating_entry_details_list layout="inline" show_rating_items="false"][mrp_rating_form]
Creative Commons images

Intracranial Hemorrhage Following a 3-week...

23 Jan, 17
Creative Commons images

Intraocular Foreign Body: Ultrasound and CT...

23 Jan, 17

JETem is an online, open access, peer-reviewed, journal-repository for EM educators. We are PMC Indexed.

Most Viewed

  • Enhancing Emergency Medicine Resident Education: A Weekly Education Series to Augment Electrocardiogram Education
  • Development and Design of a Pediatric Case-Based Virtual Escape Room on Acute Iron Toxicity
  • Pre-Clinical Case Competition to Assess Confidence in Responding to Select Out-Of-Hospital Medical Emergencies
  • Pediatric Difficult Airway Simulation Day
  • Cards Against Pulmonology

Visit Our Collaborators

 

 

Creative Commons Licence
This work is licensed under a Creative Commons Attribution 4.0 International License.

About

Education

Learners should benefit from active learning. JETem accepts submissions of team-based learning, small group learning, simulation, podcasts, lectures, innovations, curricula, question sets, and visualEM.

Scholarship

We believe educators should advance through the scholarship of their educational work. JETem gives educators the opportunity to publish scholarly academic work so that it may be widely distributed, thereby increasing the significance of their results.

Links

  • Home
  • Aim and Scope
  • Current Issue
  • For Reviewers
  • Instructions for Authors
  • Contact Us

Newsletter

Sign up to receive updates from JETem regarding newly published issues and findings.

Copyright Creative Commons Attribution 4.0 International