Case Report of a Child with Colocolic Intussusception with a Primary Lead Point
ABSTRACT:
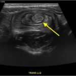
Intussusception is the telescoping of bowel into an adjacent segment of bowel and has an associated risk for bowel ischemia and perforation. The classic triad of abdominal pain, blood in stool, and an abdominal mass is present in less than 40% of pediatric cases and is less common in older children.1 Ultrasound has a high sensitivity and specificity for the diagnosis of intussusception, and once diagnosed, treatment modalities include reduction by either ultrasound or fluoroscopic guided air or hydrostatic enema. The risk of recurrence after successful reduction occurs in up to 12% of pediatric patients and occurs more frequently in older children and children with a pathologic lead point.2 We present a case of a 6-year-old child with colocolic intussusception that was successfully reduced and recurred within five days due to a large colonic polyp.
Topics:
Intussusception, lead point, pediatrics.







