JETem
  • Home
  • About
    • Aim and Scope
    • Our Team
    • Editorial Board
    • FAQ
  • Issues
    • Current Issue
    • Ahead of Print
    • Past Issues
  • Visual EM
    • Latest Visual EM
    • Search Visual EM
    • Thumbnail Library
  • For Authors
    • Instructions for Authors
    • Submit to JETem
    • Photo Consent
    • Policies
      • Peer Review Policy
      • Copyright Policy
      • Editorial Policy, Ethics and Responsibilities
      • Conflicts of Interest & Informed Consent
      • Open Access Policy
  • For Reviewers
    • Instructions for JETem Reviewers
    • Interested in Being a JETem Reviewer?
  • Topic
    • Abdominal/Gastroenterology
    • Administration
    • Board Review
    • Cardiology/Vascular
    • Certifying Exam Cases
      • Clinical Decision-Making
      • Prioritization
      • Communication
      • Procedure & Ultrasound
    • Clinical Informatics, Telehealth and Technology
    • Dermatology
    • EMS
    • Endocrine
    • ENT
    • Faculty Development
    • Genitourinary
    • Geriatrics
    • Hematology/Oncology
    • Infectious Disease
    • Miscellaneous (stats, etc)
    • Neurology
    • Ob/Gyn
    • Ophthalmology
    • Orthopedics
    • Pediatrics
    • Pharmacology
    • Procedures
    • Psychiatry
    • Renal/Electrolytes
    • Respiratory
    • Social Determinants of Health
    • Toxicology
    • Trauma
    • Ultrasound
    • Urology
    • Wellness
    • Wilderness
  • Modality
    • Certifying Exam Practice Cases
      • Clinical Care Cases
      • Communication & Procedural Cases
      • Old School Oral Board Cases
    • Curricula
    • Innovations
    • Lectures
    • Podcasts
    • Simulation
    • Small Group Learning
    • Team Based Learning (TBL)
    • Visual EM
  • Contact Us

Subcutaneous Emphysema After Chest Trauma

Ronald Goubert, BS* and Alisa Wray, MD, MAEd*

*University of California, Irvine, Department of Emergency Medicine, Orange, CA

Correspondence should be addressed to Alisa Wray, MD, MAEd at awray@uci.edu

DOI: https://doi.org/10.21980/J8864NIssue 3:4
TraumaRespiratoryVisual EM
[mrp_rating_result]
Creative Commons images
Creative Commons images
Creative Commons images
Creative Commons images
Creative Commons images
Creative Commons images
Creative Commons images
Creative Commons images
Creative Commons images
Creative Commons images
Creative Commons images
Creative Commons images

History of present illness:

A 52-year-old male presented to the emergency room with left chest wall pain and upper back pain after falling from an estimated height of 24 feet, landing on his back. On physical exam, the patient had crepitus to left chest wall and back and was persistently hypotensive in the trauma bay.

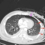
Significant findings:

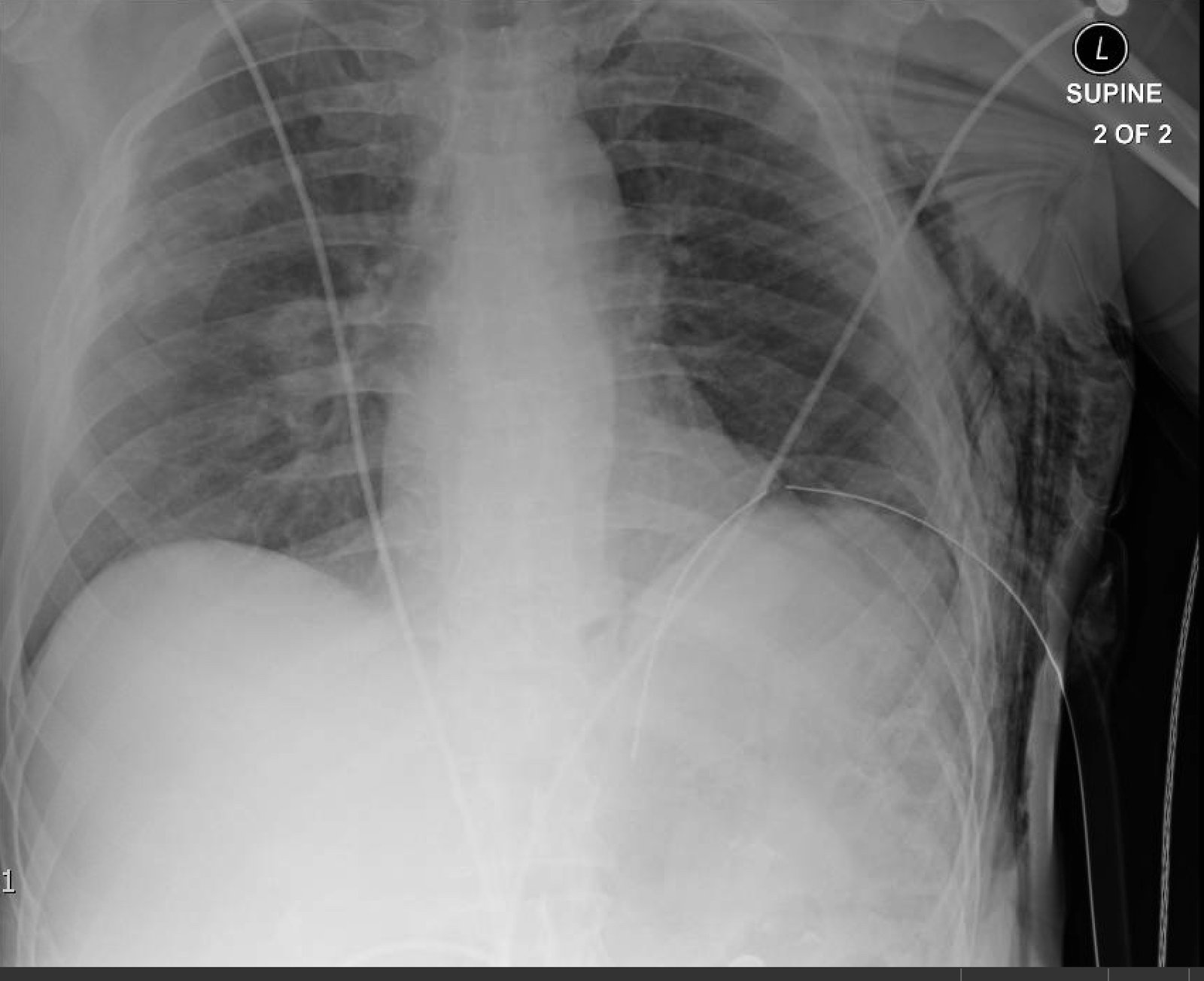
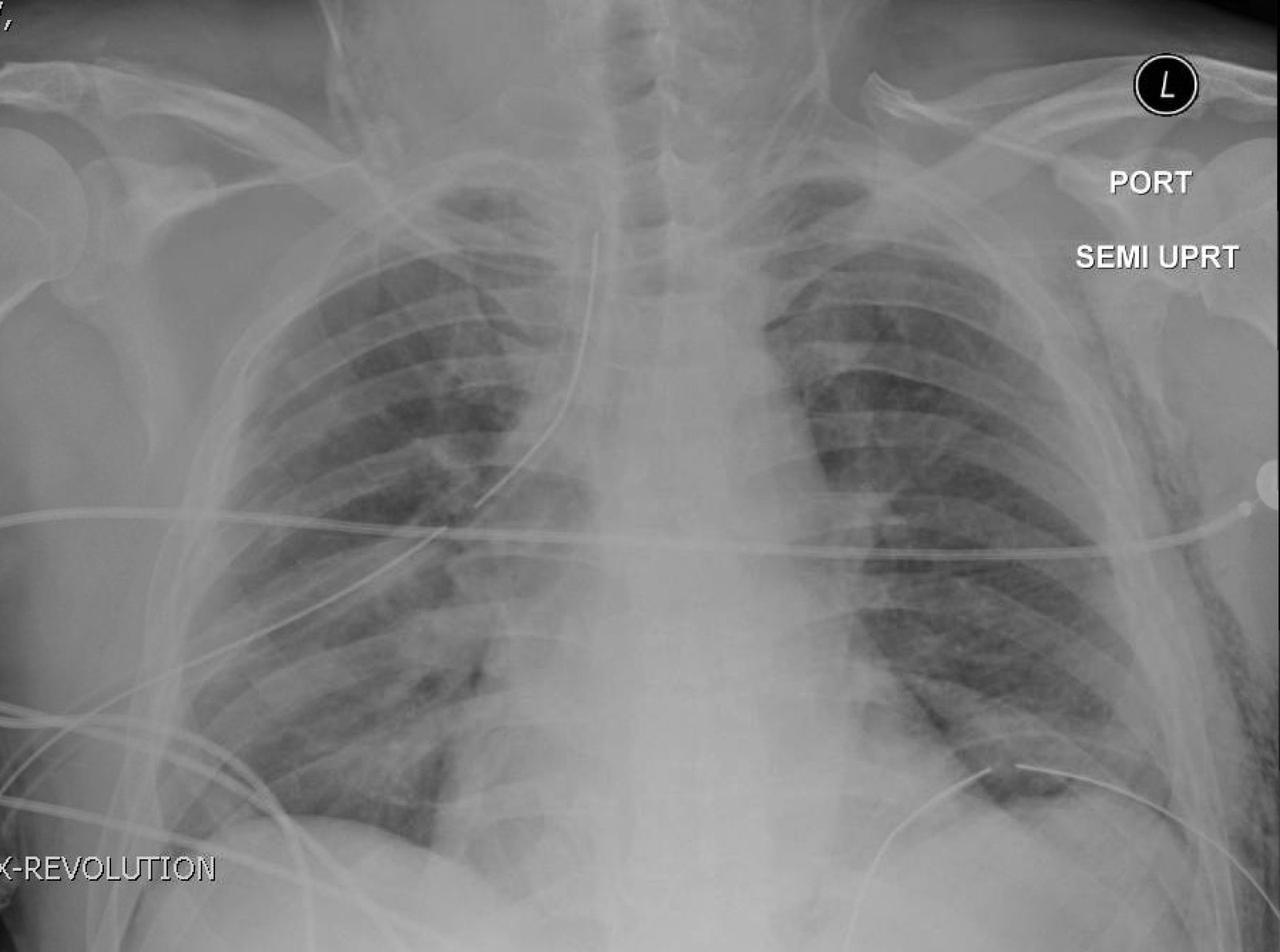
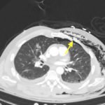
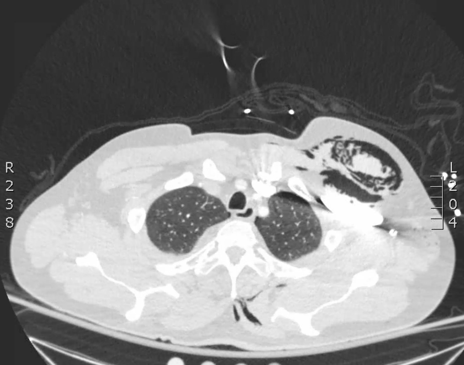
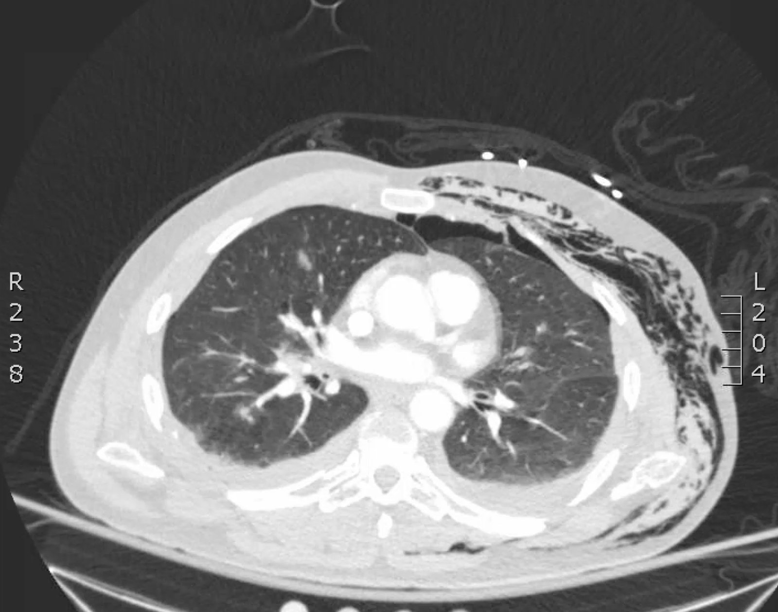
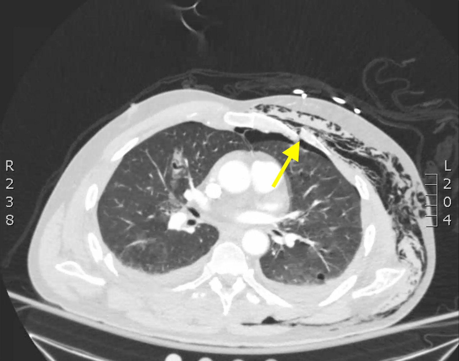
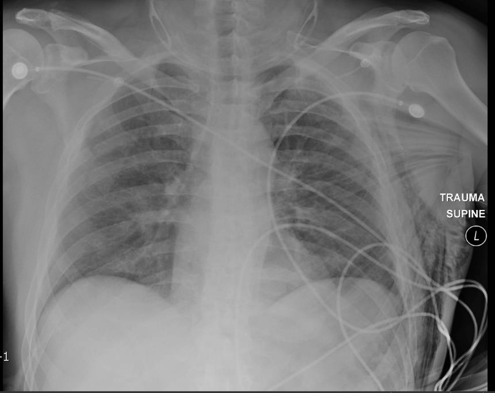
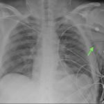
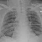
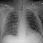
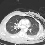
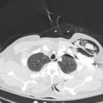
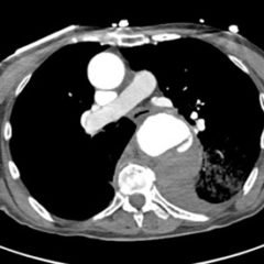
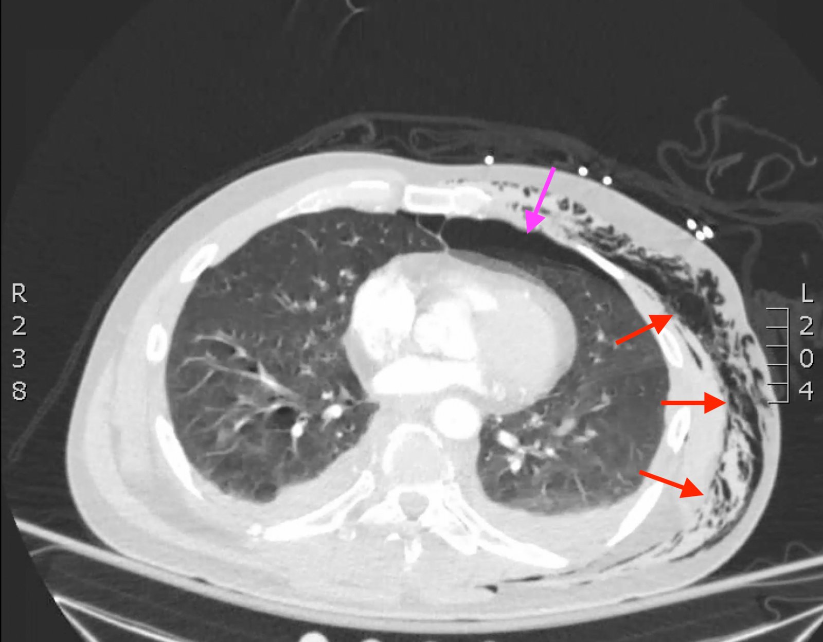
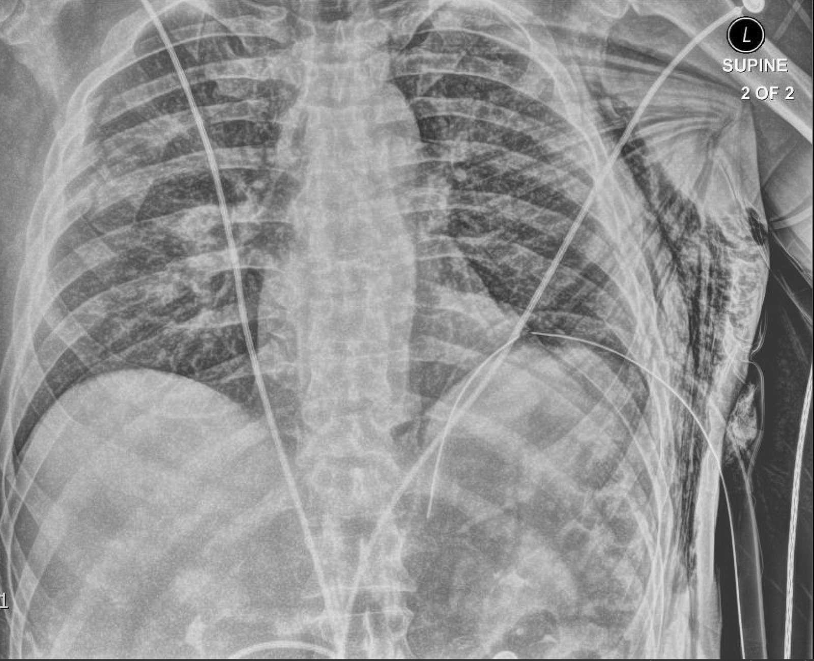
Plain film anteroposterior (AP) radiography of the chest shows left-sided subcutaneous emphysema (red arrow) with overlapping muscle striations of the pectoralis major (green arrow). After chest tube placement (blue arrow), AP chest radiography shows persistent left-sided subcutaneous emphysema (red arrow). CT of the chest shows pneumomediastinum (blue arrow), left apical pneumothorax (pink arrow), and subcutaneous emphysema (red arrow) at the level of T2. At the level of T6, rib fractures can be visualized on the CT (yellow arrow). At the level of T8, left sided pneumothorax is also seen (pink arrow) as the absence of lung tissue on CT.

Discussion:

Injuries of the thorax account for 25% of all mortality in trauma patients, of which many are preventable deaths by simple interventions.1,2 One sign commonly seen in patients with chest trauma is subcutaneous emphysema. The presence of this underlying emphysema has been suggested to be a sign of injury to the respiratory tract, making it clinically significant.3,4 Specifically, subcutaneous emphysema has been shown to be a clinical predictor of occult pneumothorax, with an odds ratio of 5.47.3 Furthermore, these injuries to the respiratory tract (pneumothorax /hemothorax, pneumomediastinum, etc.) can lead to hemodynamic instability and respiratory failure.4-6

Treatment of these injuries consist of different measures. Subcutaneous emphysema does not usually require treatment and will reabsorb spontaneously.7 Pneumothorax and hemothorax are both treated with chest tube placement. In a hemothorax, however, if the tube evacuates more than 1,500 mL of blood immediately or more than 200 mL/hour, the patient should be taken to the operating room for surgical exploration of the chest.8 Therefore, complete investigation into the underlying cause of subcutaneous emphysema is essential in managing patients with chest trauma.

In this patient, given the findings of multiple bilateral rib fractures, bilateral hemothorax/pneumothorax and multiple spine fractures, bilateral chest tubes were placed which had immediate output. The patient was admitted to surgical intensive care unit for chest tube management, pulmonary hygiene and further management of his other injuries.

Topics:

Subcutaneous emphysema, chest trauma, pneumothorax, pneumomediastinum.

References:

  1. Livingston DH, Hauser CJ. Trauma to the chest wall and lung. In: Moore EE, Feliciano DV, Mattox KL, eds. 5th ed. New York, NY: McGraw-Hill; 2003:507-537.
  2. Stocchetti N, Pagliarini G, Gennari M, et al. Trauma care in Italy: evidence of in-hospital preventable deaths. J Trauma.1994;36(3):401–405.
  3. Ball CG, Ranson K, Dente CJ, Feliciano DV, Laupland KB, Dyer D, et al. Clinical predictors of occult pneumothoraces in severely injured blunt polytrauma patients: a prospective observational study. I 2009;40(1):44-47. doi: 10.1016/j.injury.2008.07.015
  4. Liman ST, Kuzucu A, Tastepe AI, Ulasan GN, Topcu S. Chest injury due to blunt trauma. Eur J Cardiothorac Surg. 2003;23(3):374-378.doi: 10.1016/s1010-7940(02)00813-8
  5. Blaivas M, Lyon M, Duggal S. A prospective comparison of supine chest radiography and bedside ultrasound for the diagnosis of traumatic pneumothorax. Acad Emerg Med. 2005;12(9):844-849. doi: 10.1197/j.aem.2005.05.005
  6. Pitukweerakul S, Pilla S. Massive subcutaneous emphysema. J Gen Intern Med.2016;31(6):700-701. doi:  10.1007/s11606-015-3581-2
  7. Mattox K, Allen MK. Systematic approach to pneumothorax, hemothorax, pneumomediastinum and subcutaneous emphysema. Injury. 1986;17(5):309-312. doi: 10.1016/0020-1383(86)90152-X
  8. Mowery NT, Gunter OL, Collier BR, Diaz JJ Jr, Haut E, Hildreth A, et al. Practice management guidelines for management of hemothorax and occult pneumothorax. J Trauma.2011;70:(2)510-518. doi: 10.1097/TA.0b013e31820b5c31
Icon

Subcutaneous Emphysema - Case Report

1 file(s) 867 KB
Download
Icon

Subcutaneous Emphysema - Images

1 file(s) 31 MB
Download
CTIssue 3:4X-Ray

Reviews:

[mrp_rating_entry_details_list layout="inline" show_rating_items="false"][mrp_rating_form]
Creative Commons images

An Unusual Case of Hematemesis

28 Sep, 18
Creative Commons images

Point-of-care Ultrasound for the Diagnosis of...

28 Sep, 18

JETem is an online, open access, peer-reviewed, journal-repository for EM educators. We are PMC Indexed.

Most Viewed

  • Enhancing Emergency Medicine Resident Education: A Weekly Education Series to Augment Electrocardiogram Education
  • Development and Design of a Pediatric Case-Based Virtual Escape Room on Acute Iron Toxicity
  • Pre-Clinical Case Competition to Assess Confidence in Responding to Select Out-Of-Hospital Medical Emergencies
  • Pediatric Difficult Airway Simulation Day
  • Cards Against Pulmonology

Visit Our Collaborators

 

 

Creative Commons Licence
This work is licensed under a Creative Commons Attribution 4.0 International License.

About

Education

Learners should benefit from active learning. JETem accepts submissions of team-based learning, small group learning, simulation, podcasts, lectures, innovations, curricula, question sets, and visualEM.

Scholarship

We believe educators should advance through the scholarship of their educational work. JETem gives educators the opportunity to publish scholarly academic work so that it may be widely distributed, thereby increasing the significance of their results.

Links

  • Home
  • Aim and Scope
  • Current Issue
  • For Reviewers
  • Instructions for Authors
  • Contact Us

Newsletter

Sign up to receive updates from JETem regarding newly published issues and findings.

Copyright Creative Commons Attribution 4.0 International