Button Battery in Esophagus
History of present illness:
A 2-year-old male was brought to the emergency department by his parents after a brief choking episode at home and the inability to tolerate oral liquids afterwards. The patient’s mother noticed she was missing a button battery on the counter and suspected her child had swallowed it. On exam, patient had no active drooling or vomiting. His airway was patent with no respiratory distress or stridor. No foreign body was visualized in the oropharynx. Abdominal exam was unremarkable.
Significant findings:
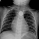
Chest radiograph showed the presence of a round radiopaque foreign body in the mid-chest. It was suspected to be in the esophagus rather than in the trachea due to the en-face positioning of the foreign body. The foreign body demonstrated two concentric ring circles concerning for a “double ring” or “halo” sign, which was suggestive of the presence of a button battery rather than a coin.
Discussion:
Button battery (BB) ingestion is a potentially very dangerous condition. Over 3,300 exposures are reported annually to the American Poison Control Centers.1 Once a foreign body is ingested, it risks lodging at three anatomically narrow areas of the esophagus: the upper esophageal sphincter or the thoracic inlet (70% of foreign bodies), the aortic notch (20%), and the lower esophageal sphincter (10%).2 If a foreign body becomes lodged in the esophagus, it can cause obstructive-like symptoms such as dysphagia, aspiration, and there is risk of perforation through the esophageal wall.
Esophageal foreign bodies can cause dysphagia, aspiration, and perforation; however, BB ingestion causes additional risks of caustic necrosis from the isothermal hydrolysis reaction of the battery against the esophagus lining. Significant caustic burns can occur in as little as two hours after ingestion.1,3 This tissue injury can lead to the development of devastating conditions such as tracheoesophageal fistula, aortoenteric fistula, vocal cord paralysis, and mediastinitis, all of which can be fatal.2 As a result, patients with esophageal BB must undergo emergent direct laryngoscopy and esophagoscopy for removal under direct visualization as soon as possible.1
This patient underwent esophagoscopy with subsequent removal of a 2 centimeter lithium button battery; direct visualization showed some edema around the mucosa but no signs of stricture or perforation. The patient subsequently tolerated food and was discharged home the next day.
Topics:
Button battery, esophageal foreign body ingestion.
References:
- Eliason MJ, Ricca RL, Gallagher TQ. Button battery ingestion in children. Curr Opin Otolaryngol Head Neck Surg.2017;25(6):520-526. doi: 10.1097/MOO.0000000000000410
- Kurowski JA, Kay M. Caustic ingestions and foreign bodies ingestions in pediatric patients. Pediatr Clin North Am. 2017;64(3):507-524. doi: 10.1016/j.pcl.2017.01.004
- Jatana KR, Rhoades K, Milkovich S, Jacobs IN. Basic mechanism of button battery ingestion injuries and novel mitigation strategies after diagnosis and removal. Laryngoscope. 2017;127(6):1276-1282. doi: 10.1002/lary.26362



