A Case Report of a Man with Burning Arm and Leg Weakness
ABSTRACT:
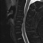
A 44-year-old male presented with sudden onset of severe left arm burning dysesthesia and bilateral leg numbness and weakness for several hours. He denied any recent illnesses or trauma and was previously healthy. His exam showed decreased strength to his left upper extremity, decreased light touch sensation to bilateral lower extremities, and urinary retention. Computed tomography (CT) and magnetic resonance imaging (MRI) of the cervical spine wereperformed, which demonstrated acute cervical myelopathy due to congenital cervical stenosis, a less common finding. Congenital cervical stenosis is the narrowing of the cervical spinal canal that is not due to structural, infectious,vascular, or malignant causes. This is an important diagnosis to consider in patients who present with neurologic symptoms without risk factors for common myelopathy causes (eg, degenerative changes). Early diagnosis and treatment are essential to prevent long term neurologic deficits.
Topics:
Neurosurgery, cervical myelopathy, acute neurologic deficits.






