JETem
  • Home
  • About
    • Aim and Scope
    • Our Team
    • Editorial Board
    • FAQ
  • Issues
    • Current Issue
    • Ahead of Print
    • Past Issues
  • Visual EM
    • Latest Visual EM
    • Search Visual EM
    • Thumbnail Library
  • For Authors
    • Instructions for Authors
    • Submit to JETem
    • Photo Consent
    • Policies
      • Peer Review Policy
      • Copyright Policy
      • Editorial Policy, Ethics and Responsibilities
      • Conflicts of Interest & Informed Consent
      • Open Access Policy
  • For Reviewers
    • Instructions for JETem Reviewers
    • Interested in Being a JETem Reviewer?
  • Topic
    • Abdominal/Gastroenterology
    • Administration
    • Board Review
    • Cardiology/Vascular
    • Certifying Exam Cases
      • Clinical Decision-Making
      • Prioritization
      • Communication
      • Procedure & Ultrasound
    • Clinical Informatics, Telehealth and Technology
    • Dermatology
    • EMS
    • Endocrine
    • ENT
    • Faculty Development
    • Genitourinary
    • Geriatrics
    • Hematology/Oncology
    • Infectious Disease
    • Miscellaneous (stats, etc)
    • Neurology
    • Ob/Gyn
    • Ophthalmology
    • Orthopedics
    • Pediatrics
    • Pharmacology
    • Procedures
    • Psychiatry
    • Renal/Electrolytes
    • Respiratory
    • Social Determinants of Health
    • Toxicology
    • Trauma
    • Ultrasound
    • Urology
    • Wellness
    • Wilderness
  • Modality
    • Certifying Exam Practice Cases
      • Clinical Care Cases
      • Communication & Procedural Cases
      • Old School Oral Board Cases
    • Curricula
    • Innovations
    • Lectures
    • Podcasts
    • Simulation
    • Small Group Learning
    • Team Based Learning (TBL)
    • Visual EM
  • Contact Us

A Toddler with Abdominal Pain and Emesis

Saema Said, BS* and Kevin Koenig, MD*

*University of California, Irvine, Department of Emergency Medicine, Orange, CA

Correspondence should be addressed to Kevin Koenig, MD at koenigk@uci.edu

DOI: https://doi.org/10.21980/J8XW2P Issue 2:2
Abdominal/GastroenterologyInfectious DiseasePediatricsUltrasoundVisual EM
[mrp_rating_result]
Creative Commons images
Creative Commons images
Creative Commons images
Creative Commons images
Creative Commons images
Creative Commons images

History of present illness:

A 3-year-old male presented to the emergency department (ED) with three days of progressively worsening diffuse abdominal pain. He also had associated nausea, vomiting, decreased oral intake, and subjective fevers. He was found to be in moderate distress with tachycardia, diffuse abdominal tenderness, guarding, and refusal to jump up and down. In the ED, he was afebrile and had no leukocytosis. Bedside ultrasound of the right lower quadrant of the abdomen showed findings consistent with acute appendicitis, which was confirmed with a formal ultrasound. The patient was given ceftriaxone and metronidazole, and transferred to a children’s hospital for appendectomy.

Significant findings:

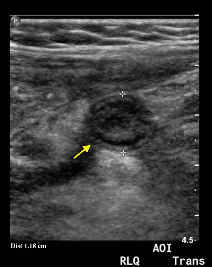
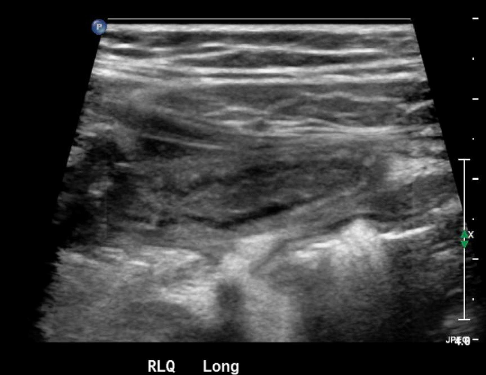
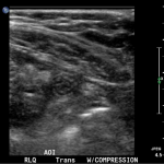
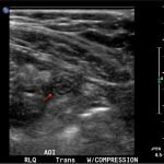
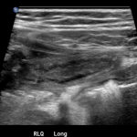
In the long axis video, the appendix appears as an enlarged, non-compressible, blind-ending tubular structure (white arrow) with distinct appendiceal wall layers and lack of peristalsis. In the short axis video, the appendix appears as a target sign (yellow arrow) between the abdominal and psoas muscles. The maximal outer diameter (MOD) measures 11.8mm and the appendix wall measures 0.17mm. There is trace adjacent free fluid and echogenic periappendiceal fat. Transverse axis video and image (red arrow) demonstrate that the appendix is not compressible. These findings are consistent with acute appendicitis.

Discussion:

Acute appendicitis is the most common surgical emergency in the pediatric population, with an annual incidence of 119.7 cases/100,000 in children of age 0-19 years.1,2 Given children’s limited ability to communicate their symptoms and the radiation risks associated with computed tomography, ultrasound is a particularly valuable tool for diagnosing appendicitis in children. It has a sensitivity and specificity of 88% and 94%, respectively, compared to the 94% sensitivity and 95% specificity seen for CT studies.3,4 Frequent use of ultrasound and clear visualization of the appendix during exam improve sensitivity.2 Currently, the diagnostic criteria for appendicitis includes a MOD of compressed appendix >6mm (most specific sign) and an appendix wall thickness ≥3 mm.4,5 A retrospective review at one institution found that the highest sensitivity (98.7%) and specificity (95.4%) were achieved when MOD was ≥7 mm or wall thickness was >1.7 mm.5 Male gender, increased age, and body mass index percentiles ≥85 are associated with non-diagnostic ultrasound.6,7 Use of lower frequency curvilinear transducer for retrocecal appendices and obese children and techniques such as posterior manual compression, where the operator’s left hand provides anterior force to the patient’s right lower back above the ileum to reduce the distance to the transducer, may be helpful.4

Topics:

Acute appendicitis, ultrasound, abdominal pain, emesis.

References:

  1. Anderson JE, Bickler SW, Chang DC, Talamini MA. Examining a common disease with unknown etiology: trends in epidemiology and surgical management of appendicitis in California, 1995-2009. World J Surg. 2012;36(12):2787-94. doi: 10.1007/s00268-012-1749-z
  2. Mittal MK, Dayan PS, Macias CG, Bachur RG, Bennett J, Dudley NC, et al. Performance of ultrasound in the diagnosis of appendicitis in children in a multicenter cohort. Acad Emerg Med. 2013;20(7):697-702. doi: 10.1111/acem.12161
  3. Doria AS, Moineddin R, Kellenberger CJ, et al. US or CT for diagnosis of appendicitis in children and adults? A meta-analysis. Radiology. 2006;241(1):83-94. doi: 10.1148/radiol.2411050913
  4. Reddan T, Corness J, Mengersen K, Harden F. Ultrasound of paediatric appendicitis and its secondary sonographic signs: providing a more meaningful finding. J Med Radiat Sci. 2016;63(1):59-66. doi: 10.1002/jmrs.154
  5. Goldin AB, Khanna P, Thapa M, McBroom JA, Garrison MM, Parisi MT. Revised ultrasound criteria for appendicitis in children improve diagnostic accuracy. Pediatr Radiol. 2011;41(8):993-999. doi: 10.1007/s00247-011-2018-2
  6. Keller C, Wang NE, Imler DL, Vasanawala SS, Bruzoni M, Quinn JV. Predictors of nondiagnostic ultrasound for appendicitis. J Emerg Med. 2016;S0736-4679(16)30557-1. doi: 10.1016/j.jemermed.2016.07.101
  7. Schuh S, Man C, Cheng A, Murphy A, Mohanta A, Moineddin R, et al. Predictors of non-diagnostic ultrasound scanning in children with suspected appendicitis. J Pediatr. 2011;158(1):112-118. doi: 10.1016/j.jpeds.2010.07.035
Icon

Appendicitis US - Case Report

1 file(s) 623 KB
Download
Icon

Appendicitis US - Images

1 file(s) 32.84 MB
Download
Issue 2:2

Reviews:

[mrp_rating_entry_details_list layout="inline" show_rating_items="false"][mrp_rating_form]

Advanced Ultrasound Workshops for Emergency...

05 Apr, 17
Creative Commons images

The Lost Guidewire

05 Apr, 17

JETem is an online, open access, peer-reviewed, journal-repository for EM educators. We are PMC Indexed.

Most Viewed

  • Enhancing Emergency Medicine Resident Education: A Weekly Education Series to Augment Electrocardiogram Education
  • Development and Design of a Pediatric Case-Based Virtual Escape Room on Acute Iron Toxicity
  • Pre-Clinical Case Competition to Assess Confidence in Responding to Select Out-Of-Hospital Medical Emergencies
  • Pediatric Difficult Airway Simulation Day
  • Cards Against Pulmonology

Visit Our Collaborators

 

 

Creative Commons Licence
This work is licensed under a Creative Commons Attribution 4.0 International License.

About

Education

Learners should benefit from active learning. JETem accepts submissions of team-based learning, small group learning, simulation, podcasts, lectures, innovations, curricula, question sets, and visualEM.

Scholarship

We believe educators should advance through the scholarship of their educational work. JETem gives educators the opportunity to publish scholarly academic work so that it may be widely distributed, thereby increasing the significance of their results.

Links

  • Home
  • Aim and Scope
  • Current Issue
  • For Reviewers
  • Instructions for Authors
  • Contact Us

Newsletter

Sign up to receive updates from JETem regarding newly published issues and findings.

Copyright Creative Commons Attribution 4.0 International