Acute Aortic Dissection Presenting Exclusively as Lower Extremity Paresthesias
History of Present Illness:
A 45-year-old male presented with left-lower extremity numbness for 3 hours. He denied chest pain, shortness of breath, back pain, or pain to his leg. On physical examination, he was noted to have a normal cardiac exam without murmurs and normal breath sounds, but had no palpable femoral or dorsalis pedis pulse on the left lower extremity. His extremity examination showed normal range of motion, full strength to both lower extremities, but subjective decreased sensation over the entire left lower extremity in all dermatomes.
Significant findings:
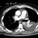
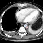
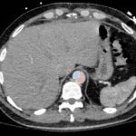
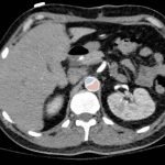
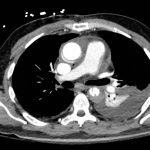
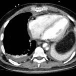
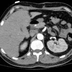
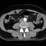
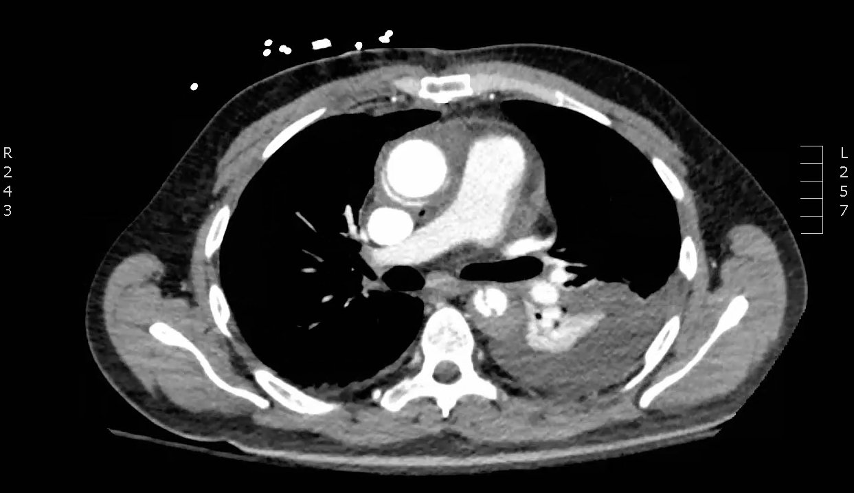
Chest x-ray and CT angiogram was performed to evaluate his thoracic and abdominal vasculature. Chest x-ray did not show any significant widening of the mediastinum. The CT angiogram demonstrated an intimal tear along the aortic arch separating a true and false aortic lumen, consistent with an acute aortic dissection. The true lumen (highlighted in blue in images 1-5) can be identified by continuity with an undissected part of the aorta1. While the false lumen (highlighted in red in images 1-5) can be identified by its crescent shape and larger cross-sectional area.1
Discussion:
The classic acute aortic dissection patient presents with sudden onset, tearing chest pain radiating to the back. Inconsistent blood pressure in the extremities is often found, along with diminished or absent peripheral pulses and widened mediastinum on chest x-ray. Painless dissection rarely occurs (6.4% of cases), and is more often found in older patients and is associated with higher mortality.2 Although rare, isolated lower limb findings such as ischemia or paresthesias are noted to occur in about 10% of cases.2 When aortic dissection presents solely with extremity complaints, the diagnosis is often missed.3 Computed tomography angiography is the ideal imaging modality to confirm the diagnosis and classification. Imaging can be obtained in stable patients in conjunction with emergent surgical consultation, pain control, and decreasing the heart rate and blood pressure. Esmolol is considered the first line agent for decreased both heart rate and blood pressure, simultaneously, to reduce the shear stress of the wall of the dissecting vasculature.4
Topics:
Acute aortic dissection, distal limb ischemia
References:
- Castañer E, Andreu M, Gallardo X, Mata JM, Cabezuelo MA, Pallardó Y. CT in nontraumatic acute thoracic aortic disease: typical and atypical features and complications.Radiographics. 2003; 23: S93-110. doi: 10.1148/rg.23si035507
- Park S, Hutchinson S, Mehta R, Isselbacher E, Cooper JV, Fang J, et. al. Association of painless acute aortic dissection with increased mortality. Mayo Clin Proc.2004; 79:125-1257. doi: 10.4065/79.10.1252
- Lee C, Chang C, Tsai Y, Wu C. Isolated lower limb ischemia as an unusual presenting symptom of aortic dissection. Cardovasc J Afr.2012;23:13-14.
- Hiratzka LF, Bakris GL, Beckman JA, et al. 2010 ACCF/AHA/AATS/ACR/ASA/SCA/SCAI/SIR/STS/SVM guidelines for the diagnosis and management of patients with thoracic aortic disease: a report of the American College of Cardiology Foundation/American Heart Association Task Force on Practice Guidelines, American Association for Thoracic Surgery, American College of Radiology, American Stroke Association, Society of Cardiovascular Anesthesiologists, Society for Cardiovascular Angiography and Interventions, Society of Interventional Radiology, Society of Thoracic Surgeons, and Society for Vascular Medicine. Circulation. 2010;121:e266. doi: 10.1161/CIR.0b013e3181d4739e













